Балантидий это простейший паразит человека и некоторых животных, который вызывает заболевание балантидиаз с язвенным поражением слизистой толстого кишечника и ее функциональными нарушениями.
Структура балантидий
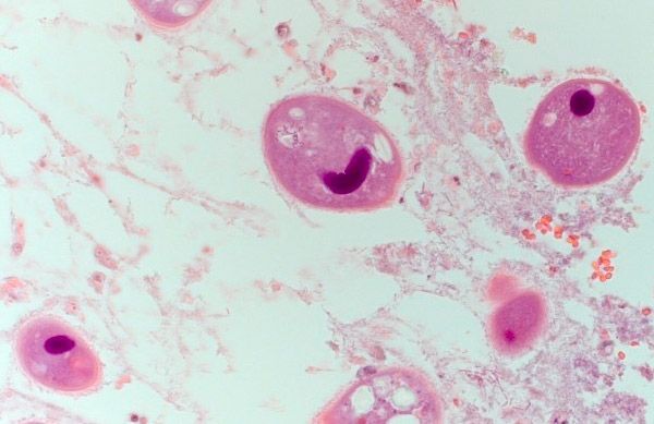
Балантидии относятся к типу простейших и классу ресничных из-за ресничек, которые покрывают всё тело инфузории. Кроме того, данный вид инфузорий считается самым крупным видом простейших из тех, что обитают в толстом кишечнике человека.
Структура балантидий такова: вегетативная форма клетки отличается размерами от пятидесяти до восьмидесяти мкм на тридцать пять шестьдесят мкм. При этом тело инфузории вытянуто, чаще всего похоже на яйцо. В длину балантидий достигает от тридцати до ста пятидесяти мкм, а в ширину от двадцати до ста десяти мкм.
Форма данного вида инфузорий яйцевидная, а поверхность простейших покрывается пелликулой. На пелликуле имеется множество ресничек короткой длины, которые располагаются продольно в большом количестве рядов. Эти реснички относятся к органоидам движения, помогающим инфузории перемещаться. При этом инфузория может не только активно двигаться, но и при этом описывать вращения вокруг своей оси.
Пелликула балантидия является эластичной, особенно при её движении, поэтому симметрия тела инфузории при передвижениях может быть нарушена. Под пелликулой тонким слоем размещается прозрачная альвеолярная эктоплазма.
На переднем конце инфузории можно обнаружить щелевидное углубление, которое названо перистом. На дне углубления имеется ротовое отверстие, названное циостом. Строение ядерного аппарата балантидий ничем не отличается от иных инфузорий и представлен макроядром и микроядром. Ядро так называемый макронуклеус — у некоторых живых особей можно заметить сквозь оболочки тела. Оно напоминает светлый пузырёк, который имеет бобовидную форму.
В цитоплазме простейшего находятся пищеварительные и пульсирующие вакуоли в количестве двух штук. Пульсирующие вакуоли являются выделительными и через них наружу извлекаются продукты жизнедеятельности инфузории.
Питание паразита осуществляется за счёт поглощения пищевых частиц, например, крахмальных зёрен. Также подходят и форменные элементы крови — эритроциты и так далее. Кроме того пищей балантидий являются различные бактерии и грибы. Усвоение питательных веществ осуществляется в сократительных (пульсирующих) и пищеварительных вакуолях, куда попадают все подходящие для этой цели элементы.
Циста имеет округлую форму, а в диаметре — от пятидесяти до семидесяти мкм. При этом она покрыта толстой оболочкой. Цитоплазма внутри цисты является однородной.
Врачи отмечают, что балантидиоз, вызванный паразитом Balantidium coli, представляет собой серьезную проблему, особенно в регионах с низким уровнем санитарии. Инфицирование человека происходит через загрязненную воду или пищу, что делает профилактику особенно важной. Специалисты подчеркивают необходимость соблюдения гигиенических норм, таких как мытье рук и использование чистой воды. Лечение балантидиоза обычно включает применение антибиотиков, таких как тетрациклин или метронидазол, однако важно помнить, что самолечение может привести к осложнениям. Врачи рекомендуют обращаться за медицинской помощью при первых симптомах, таких как диарея или боли в животе, чтобы избежать серьезных последствий для здоровья. Профилактика и ранняя диагностика остаются ключевыми факторами в борьбе с этим паразитом.
https://youtube.com/watch?v=BkoXdO5nckQ
Инфузория балантидий
Среди паразитических простейших, обитающих в человеке, инфузория балантидий считается самым крупным видом. Чаще всего этот вид инфузорий поражает лиц, проживающих в южных районах земного шара и особенно там, где распространено свиноводство. Хотя, известно, что в спорадических формах эти простейшие выявлены везде, где имеет место разведение свиней.
Очень важно соблюдать меры профилактики, чтобы не заразиться балантидиазом, вызываемом балантидиями. Правила личной гигиены должны быть актуальны, особенно, при работе, связанной со свиноводством. При этом не менее актуально использование для питья, приготовления пищи и мытья посуды именно чистой воды, которая была очищена с помощью современных методов. Также важно использовать в качестве еды только чистые и хорошо промытые продукты питания, овощи и фрукты, хранившиеся с соблюдением всех санитарных условий.
Балантидий кишечный
Этот вид простейших обитает исключительно в человеческом кишечнике. Там же он и вызывает различные поражения слизистой оболочек толстой кишки. Поэтому, в некоторых случаях данный вид инфузорий называют балантидий кишченый. Такое название является простонародным и встречается в обиходе людей, не имеющих отношения к медицине.
Балантидий кишечный это всё те же инфузории, которые были описаны ранее, только названные по-другому. Поэтому, чтобы подробнее ознакомиться со структурой простейшего, а также особенностями его жизнедеятельности, рекомендуем обратиться к предыдущим разделам статьи.
Балантидий — это протозойный паразит, который вызывает балантидиаз, заболевание, встречающееся преимущественно в тропических и субтропических регионах. Люди, сталкивающиеся с этой инфекцией, часто отмечают симптомы, такие как диарея, боли в животе и общая слабость. Инфекция может быть особенно опасной для людей с ослабленным иммунитетом. Лечение обычно включает применение антибиотиков, таких как тетрациклин или метронидазол, что позволяет эффективно справиться с заболеванием. Профилактика заключается в соблюдении правил личной гигиены, тщательной обработке пищи и воды, а также избегании контакта с потенциально зараженными источниками. Важно помнить, что ранняя диагностика и лечение значительно повышают шансы на полное выздоровление.
https://youtube.com/watch?v=ABMR8-824TM
Описание паразита
Балантидия, как паразита, который способен поражать организм человека, выявили относительно недавно. Еще в конце 19 века двум ученым, Кассагранди и Барнагалло, удалось обнаружить балантидий, но они не смогли доказать причастность этого паразита к развитию заболевания у человека. Более подробно изучить и описать паразита смог шведский ученый Мальмстен. В начале 20 века ученый Н. Соловьев доказал патогенное влияние балантидия на организм человека.
Балантидий широко распространен по всему миру, однако, заражены им около 1 % людей. Хоть риск заражения балантидиазом и высокий, но заболевание никогда не принимает форму эпидемии, и ограничивается только отдельными спорадическими случаями. Основным резервуаром паразита являются свиньи, с которыми человек находится в длительном или тесном контакте. Поэтому, чаще заражаются лица, проживающие в сельской местности.
Первый случай балантидиаза у человека был зарегистрирован на Филиппинах в 1904 году. Часто встречается это заболевание и на территории Боливии и Папуа Новой Гвинеи. Но свиньи не единственный источник балантидий. В Японии ученые исследовали фекалии 56 видов млекопитающих, и выяснили, что инфузория также была обнаружена у некоторых видов шимпанзе, макак, гиббонов. Редко балантидий обнаруживается у собак или крыс.
По своей биологической классификации балантидий относится к типу Простейшие, классу Ресничные (Инфузории). Данный паразит признан самым крупным среди других кишечных простейших. Он может находиться в двух формах: вегетативной и цистной. Размеры вегетативной формы находятся в пределах до 80 мкм в длину и до 60 мкм в ширину.
Тело инфузории яйцевидной формы. Сверху оно покрыто плотным слоем цитоплазмы (пелликулой), на которой находится огромное количество небольших ресничек, обеспечивающих балантидию активное передвижение. Сама по себе пелликула эластичная, что позволяет паразиту менять свою форму. Ядра балантидия представлены макронуклеусом и микронуклеусом.
Циста, в отличие от взрослой особи, меньшего диаметра (до 40-50 мкм) и имеет сферическую форму. Она не имеет ресничек, поэтому, неподвижна. Зато, она может длительно сохраняться в неблагоприятных условиях благодаря двухслойной стенке. Циста может сохранять жизнеспособность до 30 часов в испражнениях, до 7 дней в водных источниках (водоемы, сточная вода). На различных предметах окружающей среды может проживать около двух месяцев, в сухих местах, лишенных солнечного света, примерно 2 недели. Цистная форма довольно устойчива ко многим дезинфицирующим веществам. Например, 5% раствор карболовой кислоты уничтожает цисту только через 3 часа, а 10% раствор формалина через 4 часа.
Жизненный цикл
Жизненный цикл балантидия представляет собой чередование половой и бесполой стадий. Вегетативная форма размножается путем конъюгации, т. е., между двумя взрослыми особями происходит обмен ядрами. Возможно размножение и поперечным делением. Половозрелая форма обитает в толстом кишечнике человека. После размножения часть форм превращается в цисту, которая выходит из организма во внешнюю среду вместе с экскрементами.
Практически во всем мире основной источник заражения балантидием свиньи, которые являются природным резервуаром данного паразита. Для свиней они безвредны, а для человека патогенны. Механизм передачи фекально-оральный. Главные пути передачи это проглатывание цист балантидия при употреблении зараженной некипяченой воды, при разделывании свиного мяса, при постоянном контакте с животными во время ухода за ними. Редки случаи, когда больной балантидиазом человек становится источником инвазии для других людей. Это связано с тем, что вегетативные формы не заразны, а цисты довольно быстро выводятся из организма с фекалиями.
После проглатывания человеком цисты, она, проходя через желудок и тонкий кишечник, оседает в толстой кишке. Под действием различных ферментов из цисты выходит вегетативная форма, которая начинает интенсивно размножаться. Находясь в просвете кишечника, паразиты вырабатывают фермент гиалуронидазу, которая повреждает не только слизистый, но и подслизистый слой кишки с образованием эрозий и язв. Все этого необходимо балантидию для того, чтобы питаться не только содержимым кишечника человека, но и его клетками крови эритроцитами и тромбоцитами. Чаще всего повреждаются слепая и восходящая ободочная кишки.
https://youtube.com/watch?v=4VJtBn-IF74
Активность инфузорий
Для того чтобы предпринимать какие-либо меры по избавлению от особого вида инфузории, необходимо разобраться, каким образом функционируют коли. Простейшая балантидия имеет строение, которое позволяет находиться вне тела хозяина длительное время. После того, как одна клетка инфузории попадает в другую, балантидий выводится из организма носителя вместе с фекальными массами. На этом этапе развития никаких специальных присосок не появляется. Главная задача цисты выдержать неблагоприятные условия окружающей среды. По этой причине поверхность балантидий утолщается до двух прочных оболочек.
Симптомы заражения
Длительность инкубационного периода составляет до 10-15 дней. Между проникновением цисты и появлением первых клинических симптомов проходит неопределенное количество времени, которое характеризуется бессимптомным течением.
Клинически балантидиаз имеет 3 формы:
- субклиническую;
- острую;
- хроническую.
Субклиническая форма
Протекает без какой-либо симптоматики, однако, при случайном исследовании или проведении плановой колоноскопии на слизистой толстого кишечника можно обнаружить участки гиперемии, эрозии или язвы.
Острый балантидиаз
Проявляется в виде геморрагического энтероколита или колита. У больного в начале заболевания развивается интоксикационной синдром: повышается температура тела до субфебрильных цифр, отмечается общая слабость, головная боль, потеря аппетита, может беспокоить тошнота, рвота. Параллельно появляются клинические признаки поражения толстого кишечника. Прежде всего отмечается разлитая постоянная боль в животе, которая сопровождается появлением диареи. Стул жидкой консистенции, частый (до 15-20 раз в день), с неприятным гнилостным запахом, с примесями крови, слизи и гноя. При вовлечении в процесс сигмовидной или прямой кишки могут беспокоить тенезмы.
При общем осмотре отмечается сухой обложенный язык, вздутый и болезненный живот. Также незначительно увеличивается печень, ее нижний край болезненный. При массивной инвазии балантидии могут перфорировать слизистую кишечника с развитием клиники острого живота. Особенно все эти симптомы четко выражены при тяжелом течении балантидиаза.
Хроническая форма
Встречается на практике наиболее часто. Она развивается при незначительной инвазии человека, при достаточном иммунном ответе его организма на внедрение паразита. К переходу в хроническую форму может привести неправильное лечение острого балантидиаза или носительства, или когда лечение отсутствует вовсе на протяжении двух и более месяцев болезни. Хроническая форма имеет фазы обострения и ремиссии. В момент обострений у человека незначительно повышается температура тела, возникает диарея с жидкими испражнениями до 2-3 раз в сутки. Иногда в таких выделениях могут быть слизь и кровь, но в малых количествах. Период ремиссии обычно длится от трех месяцев до полугода, никак себя не проявляя.
Заражение
Чаще всего происходит заражение через употребление в пищу инфицированной воды или плодов растений, на которые попал свиной навоз. Циста паразита, попавшего во внешнюю среду, остаётся жизнеспособной 21-30 дней. Также, промежуточным звеном в заражении могут выступать собаки, кусачие мухи и другой человек.
При размножении выделяется специальный фермент, который разрушает слизистую оболочку кишечника, для облегчения попадания в комфортное место обитания. При внедрении в подслизистый слой, иммунная система начинает вырабатывать в ответ лимфоциты, макрофаги, нейтрофилы. Специальные клетки, вступающие в борьбу с инвазивными бактериями, обуславливают отёк и покраснение заражённых тканей.
При увеличении колонии balantidium coli, в месте заражения сначала образуется гнойный нарыв, ведь при возникновении новых особей количество разрушительного фермента возрастает, как и иммунный ответ. После прохождения этой стадии возникают язвенные пятна. Чаще всего протозои выбирают места изгиба ЖКТ, особенно часто встречаются в переходах ободочных кишок друг в друга, в сигматической части, и иногда в прямой кишке.
При запущенной стадии заболевания, когда язвенные новообразования достигают размера в 1-2 см, и имеют неровную структуру краёв, балантидии могут попадать в кровоток, инфицируя ткани других органов человека. В первую очередь страдает печень, которая отфильтровывает кровь, от цист или вегетативных форм, считая их токсинами. После этого цисты могут распространиться в почки и сердечную мышцу. Также возможно инфицирование тканей аппендикса, если у человека замедленное прохождение пищи по ЖКТ, и простейшие успевают изменить оболочку.
Пути заражения инфузорией
Циста балантидия во внешней среде чаще всего обитает в местах, где присутствуют человеческие, свиные или собачьи экскременты. Основной способ заражения паразитом фекально-оральный, то есть через немытые овощи, фрукты, ягоды. Высок риск развития инфекционной болезни у человека, работающего на ферме, скотобойне, в мясоперерабатывающем цеху.
Использование сырой воды из непроверенных источников, игнорирование гигиенических правил также повышает риск инфекционной болезни.
Как паразит проникает в организм человека
Основным путем попадания балантидии во внутренние органы и системы носителя, в организм это орально-фекальный, обусловленный несоблюдением, пренебрежением правилами личной гигиены. По этой же самой причине возможно и повторное заражение организма, когда после еды немытых продуктов, посещения туалета пациент не моет руки, идет повторное инфицирование.
Так инфицирование происходит с зараженной водой и продуктами, не прошедшими достаточную термическую обработку, плохо вымыто, через грязные руки и несоблюдение правил личной гигиены.
Чем опасно заболевание
Инфузория балантидий вызывает глубокое повреждение стенок кишечника. Без своевременного лечения зараженному человеку грозят серьезные осложнения, среди которых:
- кровотечение;
- параректальное нагноение;
- прободение кишечника;
- перитонит.
Часто на фоне балантидиаза возникает воспаление слепой кишки (аппендицит). Обезвоживание грозит всем больным, но особенно опасно для детей.
Диагностика
Лабораторные показатели при балантидиазе неспецифичны. При остром и тяжелом течении в крови отмечается нейтрофильный лейкоцитоз, ускорение СОЭ, увеличение количества эозинофилов, снижение уровня общего белка, преимущественно за счет снижения альбуминов. При хроническом течении преобладает анемия различной степени выраженности.
Относительно недорогой и простой метод распознавания балантидиаза микроскопическое исследование кала на наличие данного паразита в нативных мазках, окрашенных раствором Люголя. Т. к. сами инфузории крупные, то их довольно легко увидеть в микроскопе, даже на малом увеличении. Для обнаружения и вегетативных, и цистных форм балантидия можно окрашивать препараты по Гейденгайну. В некоторых случаях необходимо получить культуру балантидия, выращенного на питательной среде. Чаще всего применяют среду Райса (изотонический раствор и мясопептонный бульон с добавлением бычей или лошадиной сыворотки в соотношении 1:10).
Из инструментальных методов исследования применяется колоноскопия или ректороманоскопия. При этом, визуализируется слизистая того или иного отдела толстого кишечника, определяется наличие язв, есть возможность взять кусочек ткани на гистологическое исследование.
К информативному методу относится ПЦР, которая позволяет выявить ДНК балантидия в материалах.
Лечение
Лечение балантидиаза заключается в устранении симптомов и предотвращении развития осложнений. В основном применяется медикаментозное лечение. Основой консервативной терапии являются антибиотики и антипаразитарные препараты:
➡ Мономицин антибиотик из группы аминогликозидов. Уничтожает многих бактерий и простейших путем нарушения синтеза белка. Взрослые принимают по 0,25 г 4-6 раз вдень в течение 5 дней. Для закрепления эффекта через неделю нужно снова пройти курс терапии в 5 дней. С данным антибиотиком необходимо быть осторожным, т. к. он оказывает токсическое действие на почки и слуховой аппарат.
➡ Окситетрациклин препарат тетрациклинового ряда. Антибиотик подавляет размножение бактерий и простейших. Назначают по 1 таблетке (0,5 г) 4 раза в день на протяжении 5-7 суток.
➡ Метронидазол, или трихопол противопаразитарный препарат, который угнетает синтез ДНК паразита и приводит к его гибели. Назначается по 1 таблетке (500 мг) дважды в день на протяжении 5-7 дней.
➡ Хиниофон антипротозойный препарат, который подавляет жизнедеятельность простейших за счет блокирования ферментов. Эффективен против вегетативных и цистных форм. Принимается по 2 таблетки (0,25 г) 3 раза в сутки продолжительностью 7-10 дней.
В комплексное лечение балантидиаза входит назначение иммуномодуляторов (тималин, Т-активин), витаминов группы В, пребиотиков и пробиотиков. В связи с повреждением слизистой кишечника необходимо перейти на щадящую диету (принимать жидкую и полужидкую пищу, негорячую или комнатной температуры, употреблять достаточное количество жидкости, получать еду, богатую белками и витаминами). Хирургическое лечение показано только при развитии таких осложнений, как перфорация кишечника с развитием перитонита или кишечное кровотечение.
Народные средства
При легком течении заболевания и минимальной инвазии можно пролечиться народными методами. Против простейших эффективны:
Настойка из чеснока
Берут несколько головок свежего чеснока и заливают водкой в объеме 100 мл. Дают настояться примерно 1 день. Затем, необходимо принимать по 10-15 капель трижды в день до приема еды. Курс терапии составляет 5 дней.
Отвар из боярышника и облепихи
Полезен тем, что эти ингредиенты содержат в себе огромное количество витаминов (в том числе, и витамин С) и микроэлементов. Берут свежие или сушенные плоды около 100 г и заливают двумя стаканами горячей кипяченой воды. Дают настояться в течение 30 минут. Выпивать небольшими глотками натощак на протяжении 4-5 дней.
Тмин
Для настойки необходимо взять 20 г плодов тмина и залить их 200 мл горячей воды. Далее, все это необходимо нагревать около 15 минут на водяной бане. Затем, настойке дают остыть. После процеживают и принимают по половине стакана 3 раза в сутки после приема пищи. Настойку рекомендуется хранить в прохладном месте.
Настойка из черемухи
В 10 г плодов черемухи добавляют 200 мл горячей кипяченой воды. После настаивания принимают половину стакана 1 раз вдень за почаса до приема еды.
Настой из конского щавля
5 г сухих листьев конского щавля заливают стаканом кипяченой горячей воды. На небольшом огне настой варится в течение 30 минут. Затем, ему дают остыть при комнатной температуре и процеживают. Принимать по 1/3 стакана 2 раза в день натощак.
Листья эвкалипта
5% спиртовый раствор листьев эвкалипта добавляют в стакан воды комнатной температуры. Выпивать по 1 столовой ложке за полчаса до еды 3 раза в сутки.
Профилактика
Профилактика балантидиаза представляет собой соблюдение правил личной гигиены и санитарных норм, а также, выявление больных и носителей. Правила личной гигиены предполагают мытье рук после транспорта, улицы, работы или контакте с животными, особенно, со свиньями. Сюда же относится и употребление кипяченой воды, мытье фруктов и овощей чистой водой. При купании в закрытых водоемах не рекомендуется нырять или заглатывать воду, которая может быть заражена цистами балантидия.
К санитарным нормам относится соблюдение правил работы на животноводческих фермах. Необходим тщательный уход за свиньями, своевременная уборка экскрементов и их утилизация путем компостирования. Лицам, которые контактируют с мясом свиней, желательно работать в перчатках.
Также немаловажно вовремя находить носителей и лиц, которые контактировали с больным балантидиазом или его носителем. Для выявления таких людей всегда проводится микроскопическое исследование кала на цисты. В качестве профилактики назначается антибактериальная и антипротозойная терапия в минимальных дозах на недлительный срок. Но основное это недопустить переход острого состояния в носительство балантидий. Чтобы это предотвратить, нужно с самого начала назначать правильную терапию в адекватных дозах для полного уничтожения простейшего.
Вопрос-ответ
Где паразитирует балантидий?
Балантидии обычно паразитируют только в толстой кишке. Однако иногда они могут распространяться в червеобразный отросток, что сопровождается картиной острого аппендицита.
Чем лечат балантидиаз?
Для уничтожения балантидий применяются антибиотики и другие противомикробные препараты, вид и дозировку которых врач подбирает в индивидуальном порядке. Для восстановления нормального водно-электролитного баланса используются растворы для оральной регидратации и внутривенные инфузионные составы.
Какой основной способ заражения человека балантидиями?
Balantidiasis) — протозойная инфекция, при которой происходит заражение человека инфузориями Balantidium coli, попадающих в организм больного от зараженных свиней. Механизм заражения фекально-оральный. Основные пути передачи: контактный, алиментарный, водный.
Можно ли заразиться балантидиазом от человека?
Исключается возможность заражения от больных балантидиазом людей и носителей балантидий, поскольку в организме человека цисты образуются редко и в незначительных количествах.
Советы
СОВЕТ №1
Регулярно мойте руки с мылом, особенно после посещения туалета и перед едой. Это поможет предотвратить заражение балантидием, который может передаваться через загрязненные руки и продукты питания.
СОВЕТ №2
Избегайте употребления сырой или недостаточно термически обработанной пищи, особенно свинины, так как балантидий может находиться в мясе зараженных животных. Убедитесь, что все продукты хорошо приготовлены.
СОВЕТ №3
Пейте только очищенную или кипяченую воду, особенно в регионах с низкими санитарными условиями. Это снизит риск заражения через воду, которая может содержать цисты паразита.
СОВЕТ №4
Если вы подозреваете, что могли заразиться балантидием, немедленно обратитесь к врачу для диагностики и назначения лечения. Раннее вмешательство может предотвратить серьезные осложнения.









