Тошнота – один из самых неприятных симптомов. Однократное ее появление, скорее всего, не будет свидетельствовать о серьезных патологиях. Но если тошнота появляется регулярно, нужно прислушаться к этому сигналу своего организма и пройти полное обследование. Отчего ухудшается самочувствие и что делать, когда тошнит, мы поговорим об этом дальше.
Причины тошноты
Постоянные приступы тошноты и рвоты изматывают организм и ухудшают качество жизни. Но главная опасность этого неприятного состояния – возможные риски и последствия, связанные с утратой полезных веществ или, что еще хуже, возможным разрывом слизистой из-за постоянно создаваемого давления. Так что крайне важно своевременно установить причины тошноты.
Основные причины тошноты:
- Гастрит или язва. При этих заболеваниях чувство тошноты усиливается после каждого приема пищи, сопровождается изжогой, чувством тяжести в животе.
- Патологии желчного пузыря. Чаще всего общая клиническая картина представлена тошной во время еды, метеоризмом, болью справа и неприятным привкусом металла во рту.
- Панкреатит. Вышеперечисленные симптомы в сочетании с кишечным расстройством могут свидетельствовать и о воспалении поджелудочной железы. Единственное отличие – желание вырвать появляется уже после того, как пища попадает в желудок, но количества ферментов недостаточно для ее переваривания.
- Аппендицит. В таких случаях появление тошноты и рвоты не зависит от еды. Яркий признак – боль блуждающего характера с постепенной локализацией с правой стороны, преимущественно в нижней части живота. Возможно повышение температуры.
- Отравление, кишечные инфекции. Тошнота и боли в желудке появляются спустя некоторое время после еды, дальше нарастают до появления первого эпизода рвоты. Поле этого состояние больного немного улучшается, но эффект облегчения кратковременный. Помимо общих признаков интоксикации (слабость в теле, повышение температуры, головокружение), отмечается диарея.
- Нарушение работы вестибулярного аппарата. Приступы тошноты и головокружения носят внезапный характер при резкой смене положения тела, наклоне головы. В качестве сопутствующих симптомов может беспокоить шум в ушах и головные боли.
- Гипертония (повышенное давление). При хронически повышенном давлении появление тошноты и головокружения не взаимосвязано с приемом пищи. Особенно сильно симптом беспокоит в утреннее время суток, но отдельные приступы могут наблюдаться в течение всего дня.
- Травмы и опухоли головного мозга.
- Расстройства психического характера.
- Токсикоз у беременных. Утренняя тошнота и рвота – один из первых признаков наступившей беременности.
Как видите, причин постоянной тошноты может быть много. И только квалифицированный специалист на основании проведенной диагностики может помочь определить происхождение этого синдрома. Поэтому, когда тебя тошнит часто, настоятельно не рекомендуется заниматься самолечением. В противном случае заболевание может перейти в хроническую форму, которая тяжело поддается лечению. А если речь идет о заболеваниях головного мозга, то даже малейшее промедление может стоить жизни.
Врачи рекомендуют при тошноте обратить внимание на несколько простых, но эффективных методов, которые могут помочь улучшить самочувствие. Прежде всего, важно обеспечить свежий воздух: открытое окно или прогулка на улице могут значительно снизить дискомфорт. Также специалисты советуют пить небольшими глотками воду или травяные чаи, такие как мятный или имбирный, которые известны своими успокаивающими свойствами.
Легкие закуски, например, крекеры или бананы, могут помочь стабилизировать желудок. Врачи подчеркивают важность избегания тяжелой и жирной пищи, которая может усугубить симптомы. Расслабляющие техники, такие как глубокое дыхание или медитация, также могут быть полезны. Если тошнота сохраняется или сопровождается другими симптомами, необходимо обратиться к врачу для дальнейшего обследования.
https://youtube.com/watch?v=cyiFmmlPh8k
Что делать, если вы почувствовали тошноту
При постоянных приступах тошноты, обследование необходимо начинать с визита к терапевту. После первичного осмотра
будут назначены общие анализы, которые помогут прояснить картину заболевания
. Когда все результаты будут готовы, выписывается направление на дополнительные консультации узких специалистов.
Если нет возможности обратиться к врачу, действовать придется самостоятельно. Первая помощь, если человека тошнит, должна быть направлена на устранение не только симптома, но и причины. Поэтому обращать внимание нужно на все изменения в состоянии здоровья пациента.
Тошнит после жирной еды
Если сильно тошнит и рвет после жирного ужина, болит под ребром справа, а в рвотных массах присутствуют следы желчи, вероятнее всего, вас беспокоит приступ желчной колики. До обращения к врачу исключите из рациона все жирные блюда, сладости и острые приправы. Ешьте небольшими порциями до 6 раз в день. И обязательно пейте воду!
Первая помощь при желчной колике – спазмолитические препараты (спазмалгон, но-шпа), домперидон (мотилиум, домрид) и пантопразол (рабепразол). Через полчаса после приема таблеток обязательно необходимо поесть, даже если тошнота еще не прошла.
Если боль усиливается, повышается температура и наблюдается потемнение мочи, срочно звоните в скорую помощь!
Когда человек испытывает тошноту, важно знать несколько простых рекомендаций, которые могут помочь улучшить самочувствие. Многие советуют начать с глубокого дыхания: медленные вдохи и выдохи могут успокоить нервную систему и снизить дискомфорт. Также полезно выпить стакан воды или травяного чая, например, имбирного, который известен своими противорвотными свойствами. Легкие закуски, такие как крекеры или сухари, могут помочь стабилизировать желудок. Некоторые люди находят облегчение в свежем воздухе, поэтому стоит выйти на улицу или открыть окно. Если тошнота не проходит, рекомендуется обратиться к врачу, чтобы исключить серьезные причины. Важно помнить, что каждый организм индивидуален, и то, что помогает одному, может не подойти другому.
https://youtube.com/watch?v=t68FiJ2eeCc
Тошнит после острой пищи и спиртных напитков
Тошнота и несильная боль под ребром слева может свидетельствовать о нарушении работы поджелудочной железы. Разрешенные препараты: но-шпа, панкринорм, церукал. При появлении рвоты и диареи необходима госпитализация.
Регулярное появление симптомов воспаления поджелудочной железы может сильно осложнить жизнь. Со временем боли в животе станут беспокоить все чаще, после каждого приема пищи. А без оказания экстренной помощи пациенту с острым панкреатитом возможен летальный исход.
Тошнота при пищевом отравлении
Основное отличие симптомов пищевого отравления от панкреатита – отсутствие болей в животе. Помимо тошноты, больного беспокоит периодическая рвота и жидкий стул с примесью слизи. Высокая температура в сочетании с этими симптомами указывает на попадание в организм кишечной инфекции. В данной ситуации самолечение без диагностики возбудителя заболевания будет малоэффективно и даже опасно.
Для лечения тошноты при обычном пищевом отравлении применяются сорбенты (энтеросгель, активированный уголь, смекта). При подозрении на инфекции принимается стопдиар или энтерофурил. Также пациенту показано обильное питье для предупреждения обезвоживания вследствие диареи.
При пищевом отравлении запрещено принимать имодиум или лоперамид. Действующие вещества препаратов блокируют естественное выведение токсинов из организма, по причине чего тошнота и другие симптомы интоксикации могут лишь усилиться.
https://youtube.com/watch?v=tnT6piQxw0E
Тошнота и боли в области поясницы
Сильная тошнота, рвота и боль в области поясницы, отдающая в бедро, может служить признаком почечной колики. Ее причины могут быть разными — начиная от воспаления мочеточника и заканчивая образованием опухоли. Поэтому при частых приступах необходимо пройти диагностику, чтобы исключить возможные риски развития нефросклероза.
Единственное, что может помочь в данной ситуации, это спазмолитические препараты в сочетании с анальгетиками. Приступ тошноты они, разумеется, не устранят, но избавят от болезненных ощущений. Если через полчаса после приема препаратов не наблюдается улучшений, а тошнота и рвота только усиливаются, звоните в скорую.
Тошнота и головокружение
Симптомы, сопутствующие тошноте, могут многое сказать об истинных причинах такого состояния. Если тошнит, но не рвет, а при этом ощущается сильная слабость в теле и кружится голова, возможно, речь идет о таких состояниях:
- Снижение уровня гемоглобина в крови. Лечение подразумевает железосодержащую диету и прием феррум-препаратов.
- Гипогликемия (снижение уровня глюкозы). Чтобы избавиться от тошноты, необходимо съесть что-либо сладкое или выпить чая с сахаром.
- Низкое артериальное давление. При гипотензии с приступами тошноты и головокружения помогает справиться чашка крепкого заварного кофе или чая.
- Истощение организма, вызванное нехваткой полезных веществ и витаминов. Сбалансированное питание, прием поливитаминных комплексов и соблюдение режима труда и отдыха позволит избавиться от частых приступов тошноты.
Если беспокоит тошнота и головная боль, нельзя исключать такие заболевания:
- Мигрень. При мигрени боль обычно сконцентрирована с одной стороны головы. Тошнота есть, но рвота отсутствует. Все остальные показатели (температура, дыхание, речь, двигательная активность) остаются в норме. Избавиться от тошноты и головной боли помогут препараты на основе эрготамина.
- Повышенное давление. Тошнота, черные точки перед глазами и боли в области затылка – симптомы скачка артериального давления. Первая помощь – препараты группы каптоприла.
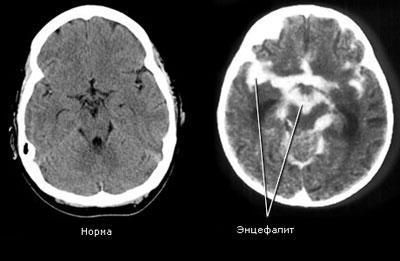
- Энцефалит и менингит. Оба заболевания имеют инфекционную этиологию и имеют ярко выраженные симптомы интоксикации. В обоих случаях показано стационарное лечение.
Инсульт! Если помимо тошноты отмечается нарушение речи и двигательной активности, больной жалуется на онемение рук или ног, теряет сознание, не тратьте времени на самолечение. Только в стационаре могут оказать квалифицированную помощь. И чем раньше это будет сделано, тем больше шансов минимизировать последствия.
Что делать, когда тошнит в транспорте
Жалобы на укачивание в транспорте – очень распространенное явление. Если каждая поездка в автомобиле неизменно сопровождается тошнотой, необходимо проконсультироваться с неврологом. Врач поможет подобрать гимнастические упражнения для тренировки вестибулярного аппарата и препараты, облегчающие ваше состояние во время путешествия.
Нельзя самостоятельно покупать общие таблетки «от укачивания в транспорте». У этих препаратов слишком большой перечень побочных эффектов и противопоказаний, чтобы бездумно принимать их каждый раз, когда вам предстоит куда-нибудь ехать.
Общие рекомендации, как избавиться от тошноты в транспорте:
- не ездите на голодный желудок или сразу после приема пищи;
- не садитесь на последние сиденья, выбирайте места как можно ближе к водителю;
- располагайтесь таким образом, чтобы ехать лицом вперед;
- не читайте книги и не сидите в телефоне/планшете во время движения;
- если есть возможность, держите окна открытыми, чтобы был доступ свежего воздуха;
- берите с собой в дорогу кислые или мятные конфеты.
Если вас все-таки неумолимо тошнит, необходимо выйти из автомобиля и вдохнуть свежего воздуха. При отсутствии противопоказаний можно принять таблетку от тошноты (драмина и другие) еще за полчаса до предполагаемой поездки. Но это должно быть единоразово и в самых крайних случаях.
Не нужно бороться с организмом, заглушая тошноту всевозможными таблетками. Внимательно прислушайтесь к этому сигналу, начинайте предпринимать меры по выявлению причины этих приступов. Чем раньше будет обнаружено заболевание, тем легче оно поддается лечению.
Вопрос-ответ
Что очень хорошо помогает от тошноты?
Панкреатин таб. П/о плен. Раствор. /кишечн. 25ЕД. №60. Церукал таб. 10мг №50. Аминалон таб. П/о 250мг №100. Органика Пассажикс таб. Жев. 10мг №30. Метоклопрамид таб. 10мг №56. Ондансетрон-Тева таб. П/о 8мг №10. Teva Pharmaceutical. Эменд набор капс. 125/80мг №3. Латран таб. П/о 4мг №10. Фармзащита НПЦ ГП
Как облегчить состояние тошноты?
Не ложитесь Когда вы лежите, желудочный сок может подняться по пищеводу, усиливая ощущение тошноты и дискомфорта. Откройте окно или сядьте перед вентилятором Сделайте холодный компресс Глубоко дышите Отвлекитесь Пейте больше жидкости Выпейте ромашковый чай Понюхайте лимон
Какой напиток убирает тошноту?
Избавиться от чувства тошноты поможет теплый чай из ромашки, мяты, мелиссы. В него можно добавить лимон или немного имбиря. Из аптечных средств убрать тошноту помогут мятные таблетки для рассасывания.
Что нужно съесть, чтобы перестало тошнить?
Есть больше богатых углеводами продуктов – пасты, риса, картофеля, ржаного хлеба и сепика. Свежий воздух поможет умерить тошноту. Надо чаще проветривать помещения, ходить на прогулки и стараться избегать запахов готовящейся еды. В периоды тошноты рекомендуется есть прохладную и не слишком сильно пахнущую пищу.
Советы
СОВЕТ №1
Попробуйте выпить стакан воды с лимоном или имбирем. Эти натуральные ингредиенты могут помочь успокоить желудок и уменьшить тошноту.
СОВЕТ №2
Избегайте тяжелой и жирной пищи. Вместо этого выбирайте легкие закуски, такие как крекеры или тосты, которые могут помочь стабилизировать желудок.
СОВЕТ №3
Постарайтесь находиться на свежем воздухе или в хорошо проветриваемом помещении. Чистый воздух может помочь облегчить симптомы тошноты и улучшить общее самочувствие.
СОВЕТ №4
Если тошнота не проходит, попробуйте легкие физические упражнения, такие как прогулка. Это может помочь улучшить кровообращение и снять напряжение в организме.








