Глисты паразиты, которые могут обитать не только в кишечнике. В некоторых случаях они могут оказаться в других органах, например, в легких. Легочные паразиты встречаются редко, однако в этом случае они оказываются гораздо опаснее.
Без должного лечения паразитарные инвазии органов дыхания вызывают множество неприятных, болезненных симптомов, в итоге могут привести к полной потере трудоспособности, инвалидности, а в запущенных случаях к летальному исходу. Такое заболевание встречается у взрослых и детей.
Важно знать о симптомах глистов в легких, чтобы вовремя выявить болезнь на ранней стадии и начать подходящее лечение. В таком случае вероятность возникновения серьезных осложнений крайне мала.
Как происходит заражение паразитами и развитие легочных гельминтов
Заражение легочными глистами у среднестатистического человека может происходить 4 различными способами:
- контактно-бытовым, то есть после тесного контактирования с больными людьми, домашними животным, после прикосновения к зараженным яйцами глистов предметам домашнего быта;
- алиментарным, то есть после употребления немытых овощей, фруктов, зелени, грязной воды, плохо проваренных или прожаренных рыбы и мяса, а также через грязные руки при несоблюдении личной гигиены;
- трансмиссивным, когда источником заражения становятся кровососущие насекомые;
- активным, когда личинки глистов внедряются в организм через слизистые или кожу во время контакта с зараженными песком или почвой или купания в речках и случайного заглатывания грязной воды.
Получается, что больше шансов заразиться у тех людей, которые живут в сельской местности, заняты обработкой посевов или работой на животноводческих фермах. Кроме того, заразиться паразитами можно, путешествуя в дальние экзотические страны, где существуют характерные для этих местностей формы паразитов.
Развитие глистной инвазии проходит по следующей схеме. Сначала яйца глистов попадают в кишечник, где из них выходят личинки. После этого они сквозь стенку толстой кишки проникают в сосуды и с током крови или лимфы достигают лёгочных альвеол, а еще спустя некоторое время поднимаются выше в бронхиолы и бронхи. Мигрируют личинки в легкие для того, чтобы получить кислород, который необходим им для развития. В тех участках органа, где находятся скопления глистов, формируются кисты, рубцы и спайки, происходит изменение тканей, вплоть до некроза. С течением времени повреждения легочных тканей усиливается, происходит патологическое изменение структуры и формы органа. Обитать в легких могут и взрослые глисты.
Массовое размножение глистов в легких может активизировать появление легочных болезней различной тяжести: от бронхита, пневмонии и плеврита до фиброза и эмфиземы легких, пневмосклероза, пневмоторакса, легочного кровотечения и даже опухоли в легких, что может стоить человеку жизни.
Врачи отмечают, что глисты в легких могут вызывать разнообразные симптомы, включая кашель, одышку и боли в груди. Эти проявления часто путают с другими заболеваниями дыхательной системы, что затрудняет диагностику. Важно помнить, что заражение может происходить через контакт с зараженной почвой или при употреблении недостаточно обработанных продуктов. Для диагностики врачи рекомендуют проводить рентгенографию и анализы на наличие паразитов. Лечение обычно включает антигельминтные препараты, которые помогают устранить инфекцию. Специалисты подчеркивают важность профилактики, включая соблюдение гигиенических норм и регулярные медицинские осмотры, чтобы избежать серьезных осложнений.
Какие паразиты живут в легких
В легких могут обосноваться многие паразиты. Все они вызывают примерно одинаковые симптомы. Их вид точно определяется, как правило, во время диагностики это важно для подбора нужного лекарства. Обычно в легких встречаются следующие паразиты:
- токсоплазма;
- аскариды;
- личинки свиного цепня (цистицеркоз);
- цестоды ленточного червя (эхинококкоз).
Некоторые из этих паразитов сначала поражают желудочно-кишечный тракт, а затем их личинки оказываются в легких.
Виды глистов в легких
Легочные глисты могут быть нескольких видов. Чаще встречаются аскариды, вызывающие аскаридоз, свиной цепень, вызывающий цистицеркоз и 2 вида ленточных червей-циклофиллид, вызывающих эхинококкоз. Реже могут паразитировать в лёгких несколько видов легочных сосальщиков, попадающих в организм с не прошедшим достаточную термическую обработку мясом раков и крабов. Они вызывают парагонимоз (заболевание, характерное в основном для Дальнего Востока, стран Азии, Центральной, Южной Америки и Африки). Также затрагивать лёгкие могут круглые гельминты трихинеллы, вызывая в них геморрагии и в некоторых случаях пневмонию.
Повреждение легких при перечисленных инвазиях протекает следующим образом:
- При аскаридозе личинки аскарид в месте своего внедрения вызывают сенсибилизацию, которая в дальнейшем вызывает отечность интерстициальной ткани органа и инфильтрацию паренхимы.
- При цистицеркозе личинка-цистицерк свиного цепня фиксируется в легочной интерстициальной ткани, и усиленно там размножается. Около нее создается фиброзная капсула, охваченная лимфоцитарной инфильтрацией, и образуются многочисленные круглые или овальные, диаметром 1 или 2 см, отдельные пузырьки. Вначале заболевания в прилегающей к очагам легочной паренхиме изменений не наблюдается, но затем развивается деформация структуры легочной ткани. Если пузырьки образуются под плеврой, то происходит очаговое уплотнение реберной и междолевой плевры. Когда же произойдет гибель цепня (через 2-3 года) очаги кальцифицируются.
- При эхинококкозе живущие в легких ленточные глисты образуют кисты, которые растут и сдавливают близлежащие легочные ткани. Если они достигают больших размеров, может даже деформироваться грудная клетка из-за выпячивания межреберных промежутков. Кисты циклофиллид могут вызывать перифокальное воспаление легочных тканей, плеврит сухой или экссудативный плеврит. Также, вполне возможно нагноение кист и следующий за этим прорыв гнойного содержимого в плевральную область или в бронхи. При этом попадание гноя в бронхи сопровождается такими симптомами, как мокрый приступообразный кашель с примесью крови, удушье и цианоз. Если же гной изливается в плевральную область, то больного мучает острая боль в груди, его знобит, у него поднимается температура. Иногда прорыв кисты провоцирует развитие анафилактического шока.
- При парагонимозе взрослые гельминты и их яйца находятся главным образом в мелких бронхах, в которых сначала провоцируют острую воспалительную реакцию, а потом образуют фиброзные капсулы в легочной паренхиме. Те, что расположены в легочной паренхиме, в дальнейшем прорываются в бронхиолы. Из них выливается смесь из крови, воспалительного экссудата и яиц гельминтов. С течением времени в воспалительных очагах происходит затихание воспалительных процессов и усиление склеротических. Самое тяжелое осложнение парагонимоза это занос с кровотоком яиц сосальщиков в головной мозг и развитие энцефалита либо церебрального парагонимоза.
Паразитами, которые также могут находиться в легочной ткани, являются простейшие. Это дизентерийные амебы, которые вызывают в органе болезнь инфильтративно-деструктивного характера одну из форм вне кишечного амебиаза. Амебы, находясь в теле человека, могут локализоваться в различных органах, в том числе в легких и формировать в них очаги некроза. Также легочный амебиаз может быть результатом прорыва в плевральную область абсцесса печени, вызванного этими простейшими.
Токсоплазмы еще один вид простейших, проживающих в легких у человека. Они вызывают воспаление легочной ткани с последующим образованием гранулем (узелков, состоящих из некротизированных клеток, окруженных лимфоцитами и плазмоцитами) и кист.
Глисты в легких — это редкое, но серьезное заболевание, которое вызывает множество симптомов. Люди часто отмечают кашель, одышку и боли в груди. Некоторые пациенты жалуются на повышенную утомляемость и ночные поты. Важно понимать, что эти симптомы могут быть схожи с другими заболеваниями дыхательной системы, поэтому диагностика требует внимательности.
Лечение глистов в легких обычно включает применение антигельминтных препаратов, которые помогают уничтожить паразитов. В некоторых случаях может потребоваться дополнительная терапия для восстановления легочной функции. Профилактика заключается в соблюдении правил личной гигиены и осторожности при контакте с животными. Обращение к врачу при первых симптомах поможет избежать серьезных осложнений и обеспечить своевременное лечение.
Аскариды
Круглые черви. Иногда они достигают несколько метров в длину. Проникают в кишечник через рот, а после с кровью мигрируют в легкие и паразитируют там в течение долгого времени, постепенно их разрушая. Аскаридоз опасен отечностью тканей, образованием очагов инфильтрации.
https://youtube.com/watch?v=5MAiAOjD8qo
Эхинококки
Ленточные глисты, которые вызывают эхинококкоз легких у человека. Их яйца попадают туда с током крови, приводят к образованию кист разного размера. Из-за отсутствия лечения кисты с гельминтами медленно разрастаются, постепенно заполняя весь объем легких. Если происходит прорыв, гнойные накопления проникают в бронхи, плевральную полость. Развивается пневмония, гипервентиляция легких и прочие осложнения.
https://youtube.com/watch?v=LG8FhD7-eck%3Ffeature%3Doembed
Свиной цепень
Личинки ленточного червя приводят к цистицеркозу легких. Паразиты проникают туда через кровь. В органе образуются пузыри разного размера с глистами внутри. Эти пузыри могут лопаться, заполняя инфицированной жидкостью всю полость легких человека. Цистицеркоз на начальной стадии лечится посредством лекарств. Если болезнь запустить только хирургическим путем.
https://youtube.com/watch?v=JIh_XV06f7k%3Ffeature%3Doembed
Альвеококки
Это ленточные глисты, которые могут паразитировать в легких и печени человека. Чаще всего заражаются люди, занимающиеся охотой. Альвеококк попадает в организм фекально-оральным способом через плотоядных животных (лис, кошек, собак). Также можно заразиться посредством употребления ягод, грибов, дикорастущих растений, некипяченой воды из природных источников. Нередко приводит к летальному исходу.
Легочные сосальщики
Опасные глисты, возбудители парагонимоза у человека. Плоские черви проникают в организм через сырых или плохо проваренных крабов, раков, рыбу, при попадании загрязненной воды в рот. В легких формируют кисты, в которых глисты развиваются и размножаются. Когда кисты заполняются яйцами, они лопаются, а яйца выходят наружу вместе с мокротой.
https://youtube.com/watch?v=UeX5JMtGuwM%3Ffeature%3Doembed
Очень редко встречаются в легких нитевидные нематоды Thominx aerophilus, вызывающие томинксоз, или эуколеоз. Заражение глистами происходит через немытые руки, когда был контакт с дождевыми червями. Жить в легких и других органах человека червь может около года.
Пути заражения
Носителями этих паразитов чаще всего являются собаки и любые грызуны, а иногда и кошки. С фекалиями животных личинки попадают в окружающую среду. Когда человек регулярно нарушает правила гигиены, паразиты могут легко попасть внутрь, тем самым вызывая поражение организма.
В чем опасность гельминтоза?
Гельминты в легких часто становятся причиной разных заболеваний, которые оказывают негативное воздействие не только на функционирование органов дыхания, но и на другие внутренние системы человека.
В процессе распространения в бронхи или легкие глисты могут механически повреждать ткани. Размножаясь, они накапливаются в просвете трахеи и бронхов, что приводит к нарушениям дыхательной функции вплоть до удушья.
Вследствие выделения токсических отходов глисты в процессе своей жизнедеятельности провоцируют бронхиальную астму, проблемы с ЦНС, токсическую и аллергическую реакцию. Аллергия протекает в виде крапивницы. Есть риск асфиксии (удушья). Также наличие глистов в легких это идеальная база для абсцесса, пневмонии, медиастинита.
Опасность гельминтов
При разнообразии современных препаратов, лечение глистов в легких дает положительные результаты. Однако важно избавиться не только от самих червей, но также от продуктов их жизнедеятельности.
Самое главное точно определить наличие паразитов, потому, что симптомы схожи с другими недугами, которые возникают в органах дыхания. Таким образом, могут назначать лечение с помощью антибиотиков, что не принесет пользы, а заболевание перейдет в хроническую форму. Если на начальном этапе болезни можно обойтись противопаразитарными препаратами, то при запущенных стадиях необходима химиотерапия.
Симптомы
Глисты могут долгое время никак не проявлять себя. Зачастую их присутствие в организме человека обнаруживается только на поздних стадиях иногда проходит несколько лет с момента заражения.
Легочные паразиты часто активизируются после максимального снижения иммунитета. Иногда их активности способствуют частые стрессы, наличие вредных привычек и другие факторы, снижающие сопротивляемость организма.
Большинство симптомов появления глистов в легких наступают вследствие повреждения их тканей из-за жизнедеятельности паразитов. На местах повреждений появляются всевозможные рубцы и спайки именно это ведет к развитию симптомов многих других легочных заболеваний и осложнений.
Основные симптомы глистов в легких напоминают признаки бронхита или пневмонии, обычно они такие:
- Общее недомогание, упадок сил. Человека постоянно преследует усталость, слабость, напоминающая состояние при простуде.
- Возможны резкие повышения температуры особенно часто наблюдаются у детей.
- Приступы удушья, тяжелой одышки. Возможные затруднения дыхания, особенно в ночное время.
- Приступы сильного кашля по утрам. Кашель сухой, в некоторых случаях появляется мокрота.
- Боль, неприятные ощущения в области грудины.
- Сильные головные боли, приступы головокружения. Часто сопровождаются тошнотой, нарушениями зрения. Больной может начать плохо воспринимать контуры предметов, падает острота зрения.
- Снижение аппетита, больной может начать терять вес.
- Аллергические реакции, высыпания.
При некоторых видах паразитов могут образовываться кисты в легких. Это происходит, например, при эхинококкозе. Опасность этого состояния в возможном нагноении кисты, которое может привести к асфиксии и анафилактическому шоку из-за отравления токсическими веществами новообразования.
Важно! При появлении таких симптомов следует обратиться к врачу.
Данная симптоматика может говорить о других заболеваниях, поэтому точный диагноз можно будет поставить только после полной диагностики. До этого момента заниматься самолечением не рекомендуется можно только навредить.
Симптомы легочных глистных инвазий
Обычно гельминты в легких дают о себе знать не сразу после своего поселения в организме, а гораздо позже, когда размножатся в достаточном количестве и начнут сильно отравлять организм продуктами своей жизнедеятельности. Иногда для этого может понадобиться несколько лет, особенно если человек здоров во всех других отношениях, но в ослабленном стрессами, различными заболеваниями или воздействием вредных факторов организме размножение глистов проходит быстрее.
Симптомы при наличии паразитов в легких у человека будут немного отличаться в зависимости от их вида, путей проникновения, общего количества и способов развития в организме. Но, в общем, признаки дислокации гельминтов в легких напоминают клиническую картину бронхита или пневмонии. Поэтому ключевые симптомы глистов в легких будут следующими:
- общая слабость, вплоть до совершенного упадка сил;
- периодически резко повышающаяся температура (особенно у детей);
- сильный кашель, с присутствием мокроты, который усиливается по утрам и стихает к вечеру;
- болезненные ощущения и покалывание в груди;
- хрипы, тяжелая одышка, появляющаяся даже после несущественной физической нагрузки;
- приступы удушья;
- сильная головная боль;
- понижение аппетита;
- аллергическая реакция в виде крапивницы;
- токсикоз.
Помимо этого, паразиты в легких человека способны ухудшать остроту зрения и цветовое восприятие, а также вызывать кровохарканье. Не исключено, что наличие подобных симптомов может говорить не только о глистной инвазии, но и о серьезном респираторном заболевании, поэтому для постановки верного диагноза потребуется пройти процедуру диагностики.
Какие симптомы указывают на глистов в легких
Заражение глистами не часто можно заметить на самых ранних стадиях. Ведь в основном их присутствие проявляется при значительном увеличении их количества. Широко известно, что паразиты могут жить в организме человека достаточно долго, никак не влияя на жизнедеятельность в целом.
Часто период между заражением и проявлением достигает около года. И время их активной атаки начинается именно тогда, когда организм человека испытывает слабость и иммунная система не в состоянии справиться с несколькими болезнями одновременно. Причиной этому могут быть как простудные заболевания, так и психологические расстройства, депрессия, стресс.
Наличие глистов в легких обнаружить не легко, ведь их симптомы можно ошибочно принять за другие болезни. Поэтому здесь мы более подробней рассмотрим то, какое поведение им присуще именно в легких.
Виды симптомов при наличии глистов в легких человека:
- внезапное беспричинное повышение температуры;
- головная боль, мигрень;
- головокружения, упадок сил, общая слабость организма;
- потеря аппетита
- рвота, тошнота
- нарушение дыхания, появление одышки, удушья;
- острая боль в груди или сердце
Не забывайте, что эти симптомы так же проявляются и при иных заболеваниях. Следует срочно обратиться к врачу для более квалифицированного исследования и постановки диагноза. Запрещено заниматься самолечением, ведь так можно только усугубить проблему.
Диагностика
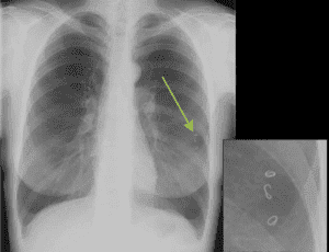
Самый простой и достаточно надежный метод определения наличия паразитов в легких рентген. Рентгенографическое исследование позволяет обнаружить следы жизнедеятельности глистов, самих гельминтов, кисты, образующиеся при эхинококкозе.
Если существует вероятность спутать паразитарное заболевание с пневмонией или туберкулезом, проводят дополнительные исследования:
- реакция непрямой гемагглютинации;
- иммуноферментный анализ.
Анализ на иммуноферменты является наиболее точным. Он показывает, есть ли в организме больного паразиты, в какой стадии развития они находятся и каков их вид. Единственный минус этого метода высокая цена. Однако при любых сомнениях он помогает установить правду.
После диагностики следует как можно быстрее начать лечение.
Диагностика глистных инвазий
Глисты в легких у человека диагностируют с помощью нескольких методов:
- макроскопического, то есть анализа кала на предмет нахождения в нем целых гельминтов или их остатков;
- микроскопического, который позволяет выявить яйца гельминтов и личинки в биоматериале: мокроте, кале, соскобе из перианальных складок;
- анализа крови, который дает возможность выявить уровень лимфоцитов и эозинофилов;
- исследования иммунологического статуса, с помощью которого устанавливают наличие антител к антигенам гельминтов;
- УЗИ легких, которое позволяет обнаружить и рассмотреть кисты глистов;
- КТ легких;
- изучения мышечной ткани, для чего проводят биопсию;
- лапароскопии.
По данным проведенных тестов устанавливают, какие паразиты живут в легких человека и назначают соответствующее лечение.
Как вывести глисты
Основное лечение глистных заболеваний легких медикаментозное. Сочетают препараты, уничтожающие паразитов, средства против аллергии, в некоторых случаях нужна химиотерапия.
Все препараты может назначать только врач, поскольку они довольно токсичны и имеют множество побочных эффектов. Принимать их наугад, без назначения специалиста, может быть опасно для здоровья.
Важно! Бесполезно принимать при глистных заболеваниях легких антибиотики это может только ухудшить состояние.
Поскольку глистные инвазии снижают иммунитет и сильно изматывают организм, после основного лечения требуется прием витаминных комплексов, довольно строгая диета. В некоторых случаях нужно препараты, восстанавливающие пищеварение. Также с последствиями паразитарных заболеваний хорошо справляется фитотерапия.
При лечении от глистов используют следующие противопаразитарные препараты:
- Альбендазол;
- Эсказол;
- Зентел;
- Празиквантел;
- Мебендазол и другие.
Подходящий препарат назначается врачом, а при возникновении сильных побочных эффектов лекарство следует сменить. Если поражение глистами было довольно обширно, при приеме этих медикаментов нужно следить за функцией печени.
Обычно курс приема лекарств длится три недели, затем оценивают результат. Если медикаменты не помогают, используют хирургические методы резекцию легкого. Таким образом удаляют кисты при эхинококкозе, если химиотерапия не принесла результата.
Противопаразитарная терапия
Чтобы изгнать паразитов из легких, больному человеку назначают комплексную терапию, включающую прием противогельминтных и противоаллергических медпрепаратов, сорбентов и витаминных комплексов, специфическую химиотерапию и фитотерапию. Но основную роль в борьбе с гельминтозами легких играют все же препараты с антигельминтным действием. К самым результативным лекарственным средствам относят:
- Зентель;
- Левамизол;
- Празиквантел;
- Вормил;
- Эсказол;
- Мебендазол;
- Пиперазин;
- Альбендазол;
- Мебекс;
- Термокс.
Принимают их строго по назначению врача, ведь у них имеются и побочные действия, которые при массовой инвазии только усиливаются. После того как глисты ликвидированы, больному назначают средства, восстанавливающие функции ЖКТ, печени и легких, укрепляющие иммунитет и нормализующие процессы метаболизма. Если антипаразитарная терапия не принесла успеха, возможно проведение операции, в том числе резекции легкого.
Народные средства
Консервативное лечение можно сочетать с народными и домашними средствами от глистов они менее токсичны и вызывают меньше побочных эффектов. Также лекарственные растения тонизируют организм и способствуют укреплению иммунитета, что важно при паразитарных заболеваниях.
Важно! Не стоит применять народные средства, если присутствует аллергия.
Стоит отметить, что проводить чистку организма при легочных паразитах бесполезно. Поэтому основная цель приема фитотерапевтических средств тонизировать организм и помочь ему справиться с глистной инвазией.
Лечение полынью
Полынь или чернобыльник растение с пряным ароматом, обладающее тонизирующим и антисептическим действием. Его применяют при лечении многих заболеваний, эффективно оно и для восстановления организма после глистных инвазий.
При глистах в легких чернобыльник будет эффективен в качестве приправы. Также на его основе можно делать ингаляции, уничтожающие паразиты в легких. Ингаляция делается над кашицей из свежей травы полыни.
Для избавления от головных болей и подавленного состояния при глистном поражении применяют свежий сок растения. Его смешивают с медом в пропорции 3 к 1, принимают по чайной ложке перед едой и перед сном.
Имбирь
Корень имбиря полезная приправа. Она укрепляет иммунитет, помогает бороться с симптомами легочных заболеваний, обладает сильным антисептическим действием. Поэтому при глистах в легких данное средство может поспособствовать скорейшему выздоровлению.
Корень имбиря можно добавлять в супы и салаты в качестве приправы. При длительном употреблении стоит делать небольшие перерывы, так как может возникнуть аллергия.
Также при паразитах хорошо помогает сухой порошок из корня имбиря. Чайную ложку тщательно размешивают в стакане молока и принимают смесь внутрь. Такое лекарство не следует принимать дольше недели.
Кориандр
Кориандр или кинза известная пряность, листья которой часто применяют при изготовлении различных блюд. При лечении от глистов нужны семена этого растения.
Их слегка просушивают на разогретой сковороде, затем тщательно перетирают до состояния порошка. Принимают по одному грамму после приема пищи. Вместо кориандра можно использовать гвоздику по такой же схеме.
Таким образом, зная об основных симптомах глистов в легких, можно выявить заболевание на ранних стадиях и своевременно начать подходящее лечение.
https://youtube.com/watch?v=j5TlvXftnIU
Профилактика
Гельминтозу подвержены все люди. В легких человека глисты живут достаточно долго, не вызывая никаких симптомов. Чтобы избежать появления червей в организме, необходимо придерживаться определенных правил:
- Всегда мыть руки после соприкосновения с почвой, уличными и домашними животными, после улицы и посещения людных мест.
- Обдавать кипятком все покупные продукты и даже те, которые растут в собственном огороде.
- Запрещается пить воду из природных источников (колодцев, рек, озер, родников).
- Не купаться в водоемах с загрязненной водой, стараться не глотать воду, исключить ее попадание в нос, глаза.
- Хорошо обрабатывать и готовить мясо и рыбу. Все должно быть тщательно прожарено или проварено.
- Если в доме есть животные, необходимо регулярно проводить их дегельминтизацию.
- Раз в год делать флюорографию, чтобы вовремя можно было диагностировать глистов в легких.
- Если появляются любые симптомы заболевания, сразу обращаться к доктору.
https://youtube.com/watch?v=ZTxOXBjnLKc
В целях профилактики не нужно принимать противопаразитарные средства, поскольку они очень токсичны. Предотвратить возможное заражение помогут лекарственные отвары. Их можно пить раз в полгода всем членам семьи.
Профилактика легочных гельминтозов
Чтобы не допустить появления и размножения любых гельминтов в легких, каждому человеку нужно выполнять несложные гигиенические требования. Для этого следует просто:
- Содержать тело в чистоте, принимать ванну каждый день.
- Мыть руки перед каждым принятием пищи, после похода в туалет и после общения с котами, собаками.
- Обрабатывать свежие продукты горячей водой.
- Хорошо прожаривать, проваривать рыбу и мясо.
- При купании в речках следить, чтобы вода не попала в рот.
- Один раз в год обязательно сдавать профилактические анализы на глисты.
При обнаружении гельминтов у 1 из членов семейства, провести дегельминтизацию всех остальных. Если придерживаться этих рекомендаций, удастся снизить вероятность заражения легочными глистами до минимума.
Вопрос-ответ
Как понять, что в легких глисты?
Когда черви попадают в легкие, у человека могут появиться симптомы в виде хронического кашля с кровянистой мокротой, боли в груди с затрудненным дыханием и лихорадкой, возможными осложнениями являются плевральный выпот и пневмоторакс.
Как узнать, есть ли у вас паразиты в легких?
Представление. Большинство инфекций возникают у детей и большинство из них протекают бессимптомно. У пациентов могут быть иммунологически обусловленные симптомы, включая кашель, одышку и хрипы, которые могут проявляться как астма или бронхит . Признаки могут включать гепатомегалию, спленомегалию и поражения глаз.
Какой кашель при глистах?
Например, сухой кашель — одно из проявлений поражения человеческого организма глистной инвазией. В легких могут размножаться разные виды паразитов.
Какой паразит поражает легкие?
Паразитарные кисты легких являются следствием попадания в организм человека личинок ленточного глиста эхинококка. Существуют две формы этого паразита — ленточная и личиночная. Окончательными хозяевами половозрелой формы эхинококка являются животные, относящиеся к отрядам кошачьих и псовых.
Советы
СОВЕТ №1
Регулярно проходите медицинские обследования, особенно если вы находитесь в группе риска. Это поможет выявить наличие глистов на ранних стадиях и начать лечение как можно скорее.
СОВЕТ №2
Обратите внимание на симптомы, такие как кашель, одышка, боли в груди и необъяснимая потеря веса. Если вы заметили эти признаки, немедленно обратитесь к врачу для диагностики.
СОВЕТ №3
Следите за гигиеной: мойте руки перед едой и после контакта с животными. Это поможет снизить риск заражения глистами, которые могут попасть в легкие.
СОВЕТ №4
Если у вас уже диагностированы глисты, строго следуйте предписаниям врача и завершите курс лечения. Не прерывайте терапию преждевременно, даже если симптомы исчезли.

















