Неспособность оценить собственную деградацию и избавиться от вредной привычки объясняется не только слабой волей алкоголиков, но и нарушением их мозговой деятельности. Длительное регулярное употребление этилового спирта приводит к разрушению клеток, замещению освободившегося пространства биологической жидкостью. Отравление головного мозга алкоголем снижает способность к умственному восприятию, обработке информации, объективной оценки реальности. Через несколько месяцев хронической интоксикации у человека диагностируется необратимое повреждение нейронов.
Токсичное действие спиртосодержащих напитков
Этиловый спирт с легкостью проникает через все биологические барьеры, в том числе сквозь гематоэнцефалический
. Этот защитный механизм препятствует отравлению мозга токсичными соединениями, поступающими из внешней среды или образующимися непосредственно в организме. Алкоголь распределяется внутри тела человека следующим образом:
- средняя концентрация – в печеночных клетках и спинномозговой жидкости;
- высокая концентрация – в головном мозге.
В незначительном количестве этанол накапливается во всех внутренних органах, постепенно разрушая их, снижая функциональную активность. Продолжительный регулярный прием алкоголя способствует образованию значительного запаса этанола в клетках головного мозга. Именно по этой причине хроническому алкоголику достаточно выпить кружку пива, чтобы ощутить привычную эйфорию. Спирт поступает в кровяное русло, всасывается в клетки мозга и высвобождает отложенные запасы.
Злоупотребление алкогольными напитками снижает критичность, работоспособность, ослабляет или полностью устраняет моральные и этические критерии. У человека исчезают понятия о приличиях, скромности, нормах поведения в обществе. Объяснять или доказать алкоголику что-то бессмысленно, так как у него отсутствует логическое для окружающих его людей мышление.
Даже незначительная концентрация этилового спирта нарушает нормальное функционирование нервной системы. Происходит запуск активаторов ингибиторных ГАМК, особых систем, ответственных за высвобождение дофамина (медиатора ЦНС). Развивается седативный эффект, который сопровождается снижением мышечного рефлекса и возникновением опьянения. Частое употребление алкоголя провоцирует адаптацию ГАМК и, как следствие, тяжелую зависимость к токсичному соединению.
Прием этанола повышает серотонинергическую передачу, что снижает степень эйфории. Это становится причиной частого употребления алкоголя в увеличенных дозах. Интоксикация этанолом приводит к уменьшению объема головного мозга.
Патологоанатомы описывают мозг умершего алкоголика как участок земли, который подвергся длительной бомбардировке. Его поверхность покрыта углублениями и вздувшимися кровеносными сосудами серого цвета с темными вкраплениями. Все извилины полностью сглаживаются, диагностируется обширная отечность всех отделов.
Злоупотребление этиловым спиртом провоцирует повреждение и нарушение целостности капилляров головного мозга. Характерной особенностью повреждения коры является образование множества кист около 1,5 мм в диаметре. Патологические новообразования располагаются на месте кровоизлияния и некроза деформированных клеток.
Врачи отмечают, что алкоголь оказывает значительное влияние на головной мозг, вызывая как краткосрочные, так и долгосрочные последствия. При употреблении спиртного происходит нарушение передачи нервных импульсов, что может привести к ухудшению координации, памяти и способности к обучению. Врачи подчеркивают, что регулярное употребление алкоголя может привести к серьезным повреждениям нейронов и даже к развитию алкогольной энцефалопатии.
Кроме того, алкоголь может спровоцировать психические расстройства, такие как депрессия и тревожность. Врачи предупреждают, что сочетание алкоголя с другими веществами, например, наркотиками, усиливает токсическое воздействие на мозг, что может привести к необратимым последствиям. Важно помнить, что здоровье мозга напрямую зависит от образа жизни и привычек, и разумное отношение к алкоголю может существенно снизить риск отравления и его последствий.
https://youtube.com/watch?v=vzpZdPmuZ38
Влияние алкоголя на психическое состояние человека
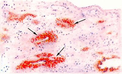
Этиловый спирт быстро абсорбируется внутрь кровяного русла и через минуту оказывается в головном мозге, запуская разрушительный для центральной нервной системы механизм. Способность алкоголя растворять многие соединения провоцирует разрушение липидных клеток – основы мозговых тканей. Эритроциты человека обладают однополярными зарядами, что позволяет им передвигаться по сосудам, не соприкасаясь друг с другом. Этиловый спирт повреждает наружные стенки красных кровяных телец, и они начинают склеиваться. Так образуется множество тромбов, которые продолжают укрупняться с образованием больших конгломератов. Они закупоривают крупные и мелкие сосуды, становятся причиной обезвоживания тканей и их отечности.

Интоксикация алкогольными напитками нарушает работу вестибулярного аппарата. Ответственная за нормальную координацию движений затылочная часть испытывает воздействие яда и не способна выполнять свои функции. Поэтому для пьяных людей характерна шаткость походки и раскачивание из стороны в сторону. Повышается вероятность падения, получения ушибов или тяжелых травм.
Интоксикация мозга алкоголем наносит вред не только физическому состоянию здоровья. Для психики регулярное отравление также не проходит даром:
- Исчезают моральные принципы. Расслабляющие свойства этилового спирта способствуют раскрепощению, человек утрачивает чувство стыда, порядочность.
- Снижаются умственные способности. Большая концентрация алкоголя в тканях головного мозга снижает интеллектуальные личностные особенности уже через несколько месяцев злоупотребления. Утрачивается способность логического мышления, то, что человек поглупел, хорошо заметно.
- Ухудшается память. Алкоголь воздействует на участок головного мозга, отвечающий за внимание и запоминание. В состоянии похмелья человек абсолютно не помнит, что с ним произошло накануне.
- Глубокие обмороки. Значительная концентрация этанола внутри кровяного русла отключает головной мозг. Отравление спиртом приводит к гибели человека, если он засыпает в неподходящем месте или в холодное время года. Как правило, такое состояние характерно для редко употребляющих алкогольные напитки людей.
- Появляется неконтролируемая агрессия по отношению к окружающим. Подавляющее количество зафиксированных правоохранительными органами преступлений были совершены гражданами в нетрезвом состоянии.
Кровяные сгустки закупоривают капилляры и артерии, которые находятся в головном мозге. Молекулярный кислород перестает поступать к клеткам, в результате чего происходит гибель огромного количества нейронов. Также алкоголь провоцирует артериальную гипертензию (повышение давления). Под совместным действием этих негативных факторов разрываются закупоренные капилляры. Кровоизлияние в головной мозг – основная причина инсульта.
Изменения в головном мозге после употребления алкоголя
Если человек принимает спиртосодержащие напитки редко и в умеренном количестве, то опасных последствий для организма не возникает. Хроническое отравление этанолом провоцирует стойкое привыкание, когда развившееся похмелье заканчивается приемом очередной дозы водки или вина.
Происходит постоянная гибель нейронов, тканям головного мозга не хватает времени даже для частичного восстановления
.
Острое отравление большим количеством этанола нередко заканчивается смертью человека. Исследования головного мозга после вскрытия человека выявили, что повреждение нейронов возникли на ядерном и протоплазменном уровнях. Такое состояние характерно при интоксикации сильными ядами растительного или животного происхождения.
Тяжелые осложнения алкогольного отравления базируются на нарушении функциональной активности сосудистой системы. Патологически изменяются все отделы головного мозга:
- повреждаются мозговые центры, регулирующие тонус сосудов;
- нарушается работа желез внутренней и внешней секреции;
- снижается деятельность вегетативной нервной системы с расстройством гомеостаза и функциональными нарушениями;
- повышается проницаемость сосудистых стенок, происходит отечность тканей;
- появляется множество точечных кровоизлияний;
- сглаживаются извилины на обоих полушариях;
- образуются патологические полости на тех участках, где произошел некроз тканей.
Человек под воздействием алкоголя не чувствует боли от разрыва сосудов, она компенсируется и нейтрализуется этиловым спиртом. В основном повреждается кора головного мозга, те зоны, которые отвечают высшую нервную деятельность.
Алкоголь оказывает значительное влияние на головной мозг, и мнения людей по этому поводу часто расходятся. Некоторые считают, что умеренное употребление спиртного может быть безвредным, даже расслабляющим. Однако многие эксперты подчеркивают, что даже небольшие дозы алкоголя могут вызывать изменения в работе мозга. При регулярном злоупотреблении возникают серьезные последствия: ухудшается память, внимание и когнитивные функции. Алкоголь вызывает отравление, которое приводит к нарушению нейротрансмиттеров, что может спровоцировать депрессию и тревожные расстройства. Важно помнить, что последствия могут быть не только краткосрочными, но и долгосрочными, влияя на качество жизни и здоровье в целом. Поэтому осознанный подход к употреблению алкоголя крайне важен.
https://youtube.com/watch?v=J1sJS9FKwE4
Патологические последствия отравления этиловым спиртом
Для головного мозга человека алкоголь является высокотоксичным соединением, способным вызвать смертельное отравление
. Этиловый спирт разрушает красные кровяные тельца, которые доставляют к тканям биологически активные вещества. Острый дефицит витаминов и микроэлементов провоцирует многочисленные осложнения и патологии:
- Эпилептические припадки. Абстинентный синдром относится к состояниям, предрасполагающим развитие судорог. Вероятность повреждения кровеносных сосудов головного мозга при эпилепсии повышается в зависимости от длительности хронического отравления.
- Энцефалопатия. Нейроны всех анатомических структур необратимо повреждаются. Последняя стадия алкоголизма всегда протекает на фоне данной патологии, проявляясь в эмоциональной нестабильности, немотивированной агрессии, полной или частичной деградации личности.
- Болезнь Корсакова. Как правило, эта патология диагностируется у лиц, которые много лет злоупотребляют алкоголем. Помимо практически полного разрушения психики (слабоумие, частичная амнезия), у человека нарушается координация движений, он неспособен долго сохранять вертикальное положение из-за утраты мышечного рефлекса и деформации кровеносных сосудов.
Нейроны способны восстанавливаться после отравления этанолом только у молодых людей. После 30 лет клетки головного мозга навсегда утрачивают свою функциональную активность.
У злоупотребляющего алкоголем человека необратимо утрачиваются умственные способности. Восстановить память, вернуть возможность логического мышления и принятия целесообразных решений не представляется возможным. Алкоголик может не узнавать родственников и друзей, утрачивает профессиональные и бытовые навыки, которые приобретались им на протяжении всей жизни.
Основные симптомы алкогольной интоксикации головного мозга
Для окружающих людей крайне опасна утрата контроля над своими действиями человеком в состоянии опьянения. Отравление большой дозой алкоголя приводит к расстройству работы центральной нервной системы, что провоцирует бессонницу и изменение чередования фаз сна. Зависимые от этилового спирта граждане часто находятся в плохом настроении, они недовольны и раздражены.
У алкоголиков могут возникать слуховые и зрительные галлюцинации. Посторонние думают, что человек общается сам с собой, угрожает кому-то невидимому. В таком состоянии люди крайне опасны – могут причинить вред окружающим.
Как еще проявляются необратимые изменения психики у алкоголиков:
- Отравление этиловым спиртом провоцирует белую горячку, которая развивается на фоне повышения температуры тела и лихорадочного состояния. У алкоголика появляются видения, кошмары.
- Немотивированная ревность – низкая самооценка, усугубленная значительным повреждением участков головного мозга, приводит к вспышкам агрессии по отношению ко второй половине.
- Отсутствие алкогольных напитков может привести к развитию параноидального состояния. Патология характеризуется раздвоением личности по причине нервного истощения и отсутствия сна.
Даже после длительного воздержания от приема этилового спирта патологические изменения в головном мозге сохраняются. Если злоупотребление алкоголем продолжается, то в негативный процесс включаются спинной и продолговатый мозг, практически вся центральная нервная система. Человек впадает в глубокую кому, которая заканчивается летальным исходом.
Лечение отравления начинается с полного устранения алкогольных напитков из жизни человека. Пострадавшему проводится дезинтоксикационная терапия при помощи форсированного диуреза, растворов солей и глюкозы. Прием нейропротекторов останавливает разрушение клеток головного мозга, восстанавливает частично поврежденные нейроны.
https://youtube.com/watch?v=37oNBLxZtMI
Вопрос-ответ
Каковы последствия алкоголя на мозг?
Алкоголь влияет на химию мозга, повышая риск развития депрессии, панических расстройств и импульсивного поведения. Похмелье. Если у вас похмелье, вы можете чувствовать себя плохо, испытывать тревогу и нервозность. Если это происходит постоянно, это может негативно сказаться на вашем психическом здоровье.
Что происходит в коре головного мозга пьющего человека?
Кора головного мозга получает органические повреждения. Возникает угнетение подкорковых структур (ствола, базальных ядер, мозжечка). При длительном употреблении спиртного, если зависимость уже сформирована, объём головного мозга уменьшается, возникают нарушения его когнитивных функций.
Какие последствия алкогольного отравления?
Алкогольное опьянение увеличивает риск обострения ряда хронических заболеваний и возникновения острых состояний, которые нередко представляют опасность для жизни больного. К числу таких состояний относятся синдром Меллори-Вейса, острый панкреатит, гипертонический криз, инсульт, аритмия, ИБС, инфаркт миокарда и т. Д.
Что такое алкогольное поражение головного мозга?
Алкогольная энцефалопатия – заболевание, сопровождающееся разрушением клеток головного мозга под воздействием алкоголя. Заболевание, как правило, возникает незадолго до перехода или после перехода II стадии алкоголизма в III.
Советы
СОВЕТ №1
Изучите влияние алкоголя на мозг. Понимание того, как алкоголь воздействует на нейронные связи и когнитивные функции, поможет вам осознанно подходить к употреблению спиртных напитков и избегать избыточного потребления.
СОВЕТ №2
Установите лимиты на употребление алкоголя. Определите для себя безопасные границы, чтобы минимизировать риск отравления и негативных последствий для здоровья. Это может быть, например, количество стандартных порций в неделю.
СОВЕТ №3
Обратите внимание на признаки отравления. Знание симптомов, таких как головокружение, потеря координации и спутанность сознания, поможет вам вовремя обратиться за помощью или предотвратить серьезные последствия.
СОВЕТ №4
Поддерживайте здоровый образ жизни. Регулярные физические нагрузки, сбалансированное питание и достаточное количество сна помогут вашему мозгу лучше справляться с воздействием алкоголя и снизят риск долгосрочных последствий.




