Из статьи вы узнаете, как быстро вылечить трихомоноз у мужчин, чем опасно это заболевание, как передается и проявляется.
Краткая характеристика
Перечислим основные особенности урогенитального трихомониаза:
- Ни одна другая инфекция, передающаяся половым путем, не имеет такого высокого риска передачи возбудителя:
- шанс заразиться от больной женщины у здорового мужчины 72 %;
- получить трихомонад от мужчины у здоровой женщины 90-100 %.
- У мужчин бытовое заражение вагинальными трихомонадами невозможно. У женщин это возможно лишь в теории. Эти жгутиковые быстро гибнут вне слизистых урогенитального тракта. Тем не менее они могут находиться 24 часа в активном состоянии в сперме, выделениях, на влажном белье. Однако маловероятно, что женщина сядет гениталиями, например, на загрязненный кем-то унитаз, или вытрет их грязным чужим полотенцем.
- Трихомониазная моноинфекция встречается лишь в 10 % случаев. Вагинальные трихомонады, вызывая воспалительный процесс и нарушая эпителий слизистых мочеполовой системы, открывают ворота для гонореи, хламидиоза, ВПЧ- (вирус папилломы человека) ВИЧ-инфицирования, увеличивая риск заражения в 2-5 раз.
- Вагинальные трихомонады ведут себя как хищники, поглощая эритроциты и клетки эпителия. Они умеют прятать в себе гонококки и хламидии, тем самым превращая человека в бессимптомного носителя и распространителя возбудителей гонореи и хламидиоза, которых кстати не видно в бакпосевах. Так что после лечения от трихомонад очень часто приходится пить таблетки от трихомониаза и гонореи.
Урогенитальный трихомониаз (код в МКБ 10 A59.0) это уникальное малое венерическое заболевание. В отличие от многих других болезней, передающихся половым путем, оно может пройти самостоятельно.
У женщин для самоизлечения потребуется от 12 недель до 5 лет, а у мужчин трихомонады самоликвидируются через 4 месяца. Но расслабляться не стоит.
Чтобы не пить препараты от трихомониаза необходимо почти невозможное на сегодняшний день сочетание факторов: здоровая мочеполовая система, нормальное состояние иммунитета, отсутствие других половых инфекций, 100 % невозможность повторного заражения вагинальными жгутиковыми паразитами.
К сведению. В том, что 10 % мужчин бесплодны, а 20 % имеют хронический простатит, виновны именно вагинальные трихомонады.
Парам, которые хотят завести ребенка, следует помнить, что вагинальные трихомонады могут препятствовать осуществлению этого желания. Эти паразиты делают семенную жидкость слишком густой, и значимо снижают жизнеспособность, а главное, подвижность сперматозоидов.
А вот повторные эпизоды трихомониаза у женщин, повышают риск трубного бесплодия в 6 раз, и в 2 раза увеличивают шансы на внематочную беременность уже при первичном заражении.
Врачи подчеркивают, что для эффективного лечения трихомониаза у мужчин важно обратиться к специалисту как можно скорее. Основным методом терапии является применение антибиотиков, таких как метронидазол или тинидазол, которые назначаются в зависимости от индивидуальных особенностей пациента. Важно завершить полный курс лечения, даже если симптомы исчезли. Специалисты также рекомендуют избегать половых контактов до полного выздоровления и пройти обследование партнера, чтобы предотвратить повторное заражение. Кроме того, поддержание здорового образа жизни и укрепление иммунной системы могут способствовать более быстрому выздоровлению. Врачебные рекомендации подчеркивают, что самолечение может привести к осложнениям, поэтому консультация с медицинским работником является обязательной.
https://youtube.com/watch?v=YAxSRrFOY9o
Что такое трихомониаз у мужчин
Трихомониаз это венерическое заболевание, вызванное простейшим одноклеточным паразитирующим организмом под названием вагинальная трихомонада (есть еще кишечная и ротовая). Это довольно коварный враг, сфера его активности не ограничивается половыми органами. Трихомонада способна проникать в кровь и заглатывать в себя эритроцитов (красные кровяные тельца). Кроме того, из мочеполового тракта она переносит в себе других возбудителей ЗППП, чаще всего это хламидии. Последние в теле трихомонады не погибают, а становятся паразитами и требуют пищи. В результате чего хозяин вынужден более агрессивно питаться эритроцитами и микробами.
То же самое происходит при заглатывании трихомонадой вирусов герпеса, кори, свинки. Чтобы накормить еще и их, паразит усиленно поедает миелиновую оболочку, которая окружает и соединяет между собой нервные стволы. Таким образом из-за простейшего одноклеточного организма масса людей страдает серьезными заболеваниями, например, рассеянный склероз, становясь инвалидами.
В лабораторных условиях было обнаружено, что трихомонада способна заглатывать даже сперматозоидов (до 5 штук за раз), расплавляя своими ферментами их головки. Через 3-4 часа пища переваривается, и хищник снова ищет жертву.
Трихомонада носит патогенов не только в себе, но и на своей поверхности, к которой они прилипают благодаря выделяемому липкому веществу фибронектину. Хищник создает себе своеобразный панцирь, защищающий его от человеческого иммунитета, и разносит по крови микоплазму, уреплазму и других возбудителей ЗППП. На поверхности трихомонады постоянно находится более 300 типов белков-антигенов, которые продуцируются благодаря 60 000 генов в ее коде. Из-за этого коммерческие серологические тесты часто оказываются нечувствительными и показывают ложноотрицательный результат.
В неблагоприятных условиях трихомонада гибнет или трансформируется в цисту (покрывается временной оболочкой) или амебовидную форму. В таком виде патоген похож на нормальные клетки, например, лимфоидные, поэтому при диагностике незаметен. Цистоподобные формы трихомонады могут проникать вглубь полового члена, образовывать колонии в сосудах и нарушать их проходимость.
https://youtube.com/watch?v=I4P2t0HPwy0%3Ffeature%3Doembed
Пути передачи: при половом акте, при рождении в процессе прохождения по родовым путям, в утробе матери. Во время секса с зараженной женщиной трихомонады переходят к мужчине в 70% случаев. Даже презерватив не является надежной защитой в 10% случаев заражение происходит.
Трихомонада самая передающаяся половая инфекция. При попадании на слизистые полового органа паразит закрепляется на клетках и провоцирует воспаление. Трихомонада выделяет фермент гиалуронидазу, который разрыхляет ткани, в результате чего в них легко проникают токсичные продукты жизнедеятельности паразита и другие патогены.
Вероятность заражения бытовым путем теоретически существует (менее 1%) через полотенце, сидение унитаза, белье, содержащие выделения зараженного. Однако вне организма трихомонады гибнут очень быстро. В мыльном растворе они погибают моментально. В биологических жидкостях могут просуществовать сутки, на мокром белье 2-3 часа.
Инкубационный период: в среднем длится от 4 дней до месяца, реже затягивается на более длительный срок.
Формы трихомониаза:
- Свежий острый (выраженные симптомы), подострый (смазанные симптомы), торпидный (вялотекущий).
- Хронический периодически рецидивирующий.
- Носительство. Некоторые мужчины являются лишь носителями трихомонад, но внутри их организма паразиты не размножаются и не распространяются.
По месту нахождения очага выделяют трихомоноз урогенитальный, неуточненный и других локализаций. При урогенитальном трихомонозе инфекция не выходит за пределы полости крайней плоти, уретры, простаты, яичек.
Диагностика
Диагностикой и лечением трихомоноза у мужчин занимается уролог и андролог. Если нет острого воспаления, то обнаружить трихомонаду непросто по причине наличия вышеупомянутых защитных барьеров. Для исследования берут мазок из уретры. До процедуры нельзя мочиться 2-3 часа. Для анализа на антитела берут кровь из вены.
Методы лабораторной диагностики трихомоноза отличаются по степени чувствительности (процент ложноотрицательных результатов) и специфичности (процент ложноположительных результатов). Чем меньше ложноотрицательных, тем чувствительнее метод. Чем меньше ложноположительных, тем специфичнее. Ниже приведены основные методы диагностики трихомоноза и степень их точности.
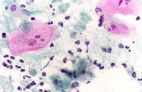
При микроскопии свежего мазка можно обнаружить трихомонады, много измененных лимфоцитов, а также кокобациллы.
По итогам цитологического исследования мазка, например, по Папаниколау, врач может написать, что найдены атипические клетки эпителия. Это повод для дальнейшей диагностики, чтобы исключить трихомонадную инфекцию.
Золотым стандартом обнаружения трихомонад является бакпосев соскоба уретры, спермы или сока простаты. Серологические тесты служат дополнением к более точным диагностическим методам, но не заменяют их.
Проблема диагностирования трихомоноза в том, что в большинстве клиник нет четкого регламента. Анализ проводят сразу по нескольким методикам либо делают только серологические тесты. Результаты противоречат друг другу, врачи путаются в диагнозе, методах лечения.
Последовательность рациональной диагностики трихомоноза:
- Сначала производят внешний осмотр и берут мазок из уретры. Свежий материал должен быть немедленно изучен под микроскопом (максимум через 10 минут).
- При отсутствии трихомонад проводят один из ампфликационных тестов или применяют метод ускоренного определения антигена. Это недешево, но результат будет готов за считанные часы.
- Если трихомонады не обнаружены, то делают бакпосев.
Врачу не следует перестраховываться и назначать сразу целый ряд исследований.
Мужчины, столкнувшиеся с трихомониазом, часто ищут быстрые и эффективные способы лечения. Многие делятся опытом, что ключевым моментом является своевременное обращение к врачу. Специалисты рекомендуют не заниматься самолечением, так как это может усугубить ситуацию. В большинстве случаев назначаются антибиотики, такие как метронидазол или тинидазол, которые показывают высокую эффективность. Некоторые мужчины отмечают, что соблюдение рекомендаций врача и завершение курса лечения значительно ускоряет выздоровление. Также важным аспектом является информирование сексуальных партнеров, чтобы избежать повторного заражения. В целом, открытое обсуждение проблемы и следование медицинским предписаниям помогают справиться с заболеванием быстро и без осложнений.
Лечение резистентного (устойчивого, запущенного) трихомоноза
Метронидазол помогает не всем. Трихомонады пропадают на какое-то время, затем рецидивируют, и повторные курсы не меняют ситуацию. В таких случаях нужно выяснить следующее:
- Проходила ли лечение партнерша.
- Было ли половое воздержание в период лечения.
- Являются ли рецидивы результатом устойчивости штамма или повторных заражений.
Устойчивые штаммы трихомонад встречаются нечасто (у 5% людей). В таких случаях назначают нитроимидазол 2 поколения (Тинидазол) однократно в количестве 2 г. В ряде случаев дозировку повышают и проводят курсовое лечение на протяжении 5-14 дней.
При длительном рецидивирующем трихомонозе внутримышечно вводят 3 инъекции вакцины Солкотриховак с промежутком в 2 недели. Затем укол повторяют через год (0,5 мл).
Контрольные анализы: для проверки эффективности лечения через 2 недели берут мазок из уретры для анализа методом ПЦР. Рекомендуется повторять исследования ежемесячно на протяжении 3-6 месяцев. В течение данного периода не рекомендуется заниматься незащищенным сексом.
На поверхностной мембране вагинальной трихомонады находится около 300 разных, вырабатываемых ею протеинов, которые помогают ей стать практически невидимой для некоторых лабораторных анализаторов. Такая ее защита называется антигенная мимикрия, и именно она делает практически невозможным обнаружение этих паразитов с помощью серологических, особенно коммерческих, тестов.
Составить представление о том, как выглядят и ведут себя живые трихомонады, можно просмотрев это короткое видео.
https://youtube.com/watch?v=Ma83wXbTXF0%3Ffeature%3Doembed
Прежде чем лечить трихомониаз у мужчин, неплохо было бы подтвердить наличие возбудителей. Ответственный врач постарается сэкономить нервы, время и бюджет пациента, и из многочисленных тестов выберет несколько оптимальных.
В первую очередь выделения и соскоб из уретры проверяют тестом Нативный (свежий) мазок. Это старый, дешевый и самый быстрый (занимает всего несколько минут) способ обнаружения жгутиковых вагинальных паразитов.
Если исследование свежего мазка дало отрицательный результат, то тогда предлагается прибегнуть к дорогой диагностике: ПЦР, VPIII, NAAT, ТМА. Но тут нужно слушать врача, быть может в местной лаборатории качественно делают Культивирование на бульоне, а цена этого бакпосевного исследования все-таки дешевле, чем у выше перечисленных новейших амплификационных тестов.
Средства лечения
Трихомониаз у мужчин, который до сих пор лечится даже молодыми врачами по советским схемам: с длительным применением нескольких препаратов трихопола (от разных производителей) в очень высоких дозах + противогрибковыми препаратами + иммуностимуляторами + витаминами + промыванием уретры раствором трихопола, не выдерживает никакой критики. Такое лечение обычно прерывается на 3-4 день, доставляя при этом значимый дискомфорт больному.
Таблетки от трихомониаза для мужчин и женщин с действующим веществом метронидазол отлично справляются с убийством вагинальных трихомонад самостоятельно.
Схема лечения трихомониаза у мужчин очень проста. Ее может запомнить каждый.
Для гибели трихомонад нужно и достаточно перорально принять однократно 2 г метронидазола. Полное излечение наблюдается у 90-95 пациентов из 100.
На заметку. После приема ударной дозы таблеток с метронидазолом следует быть готовым к сухости во рту и окрашиванию мочи в цвет мясных помоев. Также необходимо воздерживаться от алкогольных напитков в течение 48 часов, так как это чревато развитием тахикардии, тошноты и рвоты.
А какие таблетки пьют при трихомониазе те 5-10 мужчин, которым не помог метронидазол?
Если действительно выявлена нечувствительность трихомонад к этому действующему веществу, а не произошло повторное заражение, то мужчине (и его кругу сексуальных контактов) предлагается пролечиться ударной дозой нитроимидазола II поколения однократным приемом 2 г тинидазола.
Кстати, препараты для лечения трихомониаза в сочетании с другими половыми инфекциями, также содержат тинидазол. Это Ципролет-А, Ципротин, Цифран-СТ, Зоксан-ТЗ, Золоксацин.
https://youtube.com/watch?v=bv7kkqfNHt0%3Ffeature%3Doembed
В заключительном видео в этой статье врач уролог и дерматовенеролог рассказывает о симптомах мужского трихомониаза и методиках его диагностики.
Препараты для лечения
После обследования пациента специалист назначает одно из средств, уничтожающих инфекцию:
- Орнидазол. Выпускаются в форме таблеток. Принимать следует по одной в сутки на протяжении шести дней. Стоит медикамент не более 200 рублей.
- Ниморазол. Действие препарата основано на разрушении структуры ДНК микроорганизма. Во время курса терапии этим препаратом нельзя употреблять алкоголь, это может вызвать побочные эффекты в виде рвоты, головокружений и кишечных расстройств. Стоимость от 230 до 350 рублей.
Однако самым эффективным препаратом признается Метронидазол. Его используют уже более 50 лет, причем если болезнь не успела перейти в хроническую форму и не вызвала осложнений, достаточно однократного приема. Дозировка при этом небольшая всего 2 грамма. Причина такой эффективности высокая концентрация активных веществ. Существуют побочные эффекты, самый неприятный из которых выражается в виде рвоты и сильной тошноты. Цена препарата не превышает 60 рублей.
Помимо средств, уничтожающих инфекцию, следует применять медикаменты, которые восстанавливают силы организмы, а также восстанавливают функциональность некоторых систем и органов:
- Гепатопротекторы. Антимикробные средства, пусть и безопасные, практически всегда вызывают проблемы с печенью. Для облегчения ее состояния следует принимать Силибин и Артишок.
- Иммуномодуляторы. Лечение трихомониаза наносит удар по иммунитету. Это чревато развитием дополнительных болезней, среди которых иногда оказывается даже ВИЧ. Проблема легко снимается приемом Интробиона или Лавомакса.
Не забывайте о том, что активные вещества подобных препаратов нередко становятся причиной дисбактериоза, что приводит к кишечным расстройствам. Помогает в устранении этого последствия Линекс и Хилак.
Если попутно с лечением трихомониаза пациент борется с другой болезнью, то об этом следует сообщить врачу. Дело в том, что некоторые из рассмотренных выше препаратов плохо сочетаются с медикаментами других групп.
Особенности лечения трихомониаза при ВИЧ
При трихомониазе очень часто передаются и другие ИППП.
Поэтому, если не удается выяснить, кто является источником инфекции, пациента обследуют на сифилис и ВИЧ.
Лечение трихомониаза при ВИЧ-инфицировании проводится по той же схеме обычными препаратами, как и при его отсутствии.
Если патология перешла на стадию СПИДа, то это значит, что у больного отсутствует иммунная защита, поэтому дозу препарата значительно повышают.
Это все способствует повышению риска кандидоза.
Чтобы приостановить развитие грибковой микрофлоры, применяют препараты с противогрибковой активностью.
Можно ли вылечить трихомониаз самостоятельно
Часто пациенты, обнаружив у себя признаки инфекции, стараясь избежать огласки, начинают проводить лечение трихомониаза своими силами в домашних условиях.
Чаще это делают женщины, потому что у мужчин, как правило, симптоматика проявляется в очень редких случаях.
Почему надо обязательно сходить к врачу, а не назначать себе лечение самостоятельно?
Если пользоваться народными рецептами, то они не будут действовать на возбудителя.
Некоторые лекарственные травы (календула, ромашка, шалфей) могут оказывать антисептический эффект на местном уровне.
Применение настоев и отваров внутрь может стать источником витаминов, что благоприятно скажется на иммунной защите.
Но уничтожить возбудителя в организме никакие народные средства не смогут.
Бесконтрольное использование средств, которые якобы уничтожают патогенов, может оказывать негативное действие.
Вызвать аллергическую реакцию или ожог слизистой, что еще больше спровоцирует развитие воспалительного процесса.
Даже при улучшении самочувствия нет гарантии, что патогенная флора уничтожена.
Трихомониаз зачастую носит волнообразный характер: симптомы проявления болезни сменяются периодами затишья.
Лечение патологии возможно только с применением проверенных препаратов, противомикробная эффективность которых доказана.
Пренебрежение посещением врача может вызвать опасные для здоровья последствия:
- присоединение другой патогенной микрофлоры
- негативное влияние на плод и развитие беременности у женщин
- невозможность зачатия ребенка (бесплодие)
- воспаление внутренних органов
- инфицирование полового партнера и, возможно, разглашение информации о заболевании среди других партнеров
Для лечения трихомониазаобращайтесь к автору этой статьи венерологу в Москве с многолетним опытом работы.
Препараты для женщин
Лекарственные средства для лечения трихомониаза у женщин применяются по тем же схемам, что и для терапии мужчин. В большинстве случаев врачи-венерологи назначают метронидазол и его аналоги. При наличии у пациентки высокой чувствительности к 5-нитроимидазолу назначаются медикаменты на основе клиндамицина. Помимо таблетированной формы лекарства врач может прописать крем с этим веществом. Женщина должна наносить его на слизистые оболочки влагалища специальным аппликатором, который прилагается к препарату.
Курс терапии определяется венерологом и зависит от выраженности воспалительного процесса.
При возникновении рецидива заболевания лечение проводят повторно.
Свечи
Лекарственная терапия урогенитального трихомониаза у женщин дополняется использованием вагинальных свечей, содержащих антимикробные вещества. Наиболее эффективными на сегодняшний день являются:
- Таблетки и суппозитории Орнидазол. Активный компонент препарата оказывает разрушительное воздействие на ДНК патогенных бактерий, в результате чего происходит полная остановка их размножения. Свечи можно использовать не только при трихомонадной инфекции. Они эффективны при уреаплазме и гарднереллезе, бактериальных вагинитах. Суппозитории вводятся на ночь по одной в сутки. Орнидазол может вызывать аллергические реакции в виде местных отеков, высыпаний на коже, головокружения, мигрени, тошноты. Препарат не назначается при проведении курса терапии медикаментами, оказывающими влияние на свертываемость крови.
- Свечи Гиналгин. Основным компонентом препарата является метронидазол, оказывающий выраженное противогрибковое, антибактериальное и противовоспалительные действия. Лимонная кислота, входящая в состав вагинальных суппозиториев, обеспечивает создание благоприятной среды для активизации палочек Дедерлейна, необходимых для поддержания здоровой флоры влагалища. Гиналгин также содержит компонент хлорхинальдол, оказывающий антисептический эффект. Свечи не назначаются при нарушении функции кроветворения, болезнях центральной нервной системы, недостаточной работе почек и печени. Гиналгин может вызывать жжение во влагалище, нарушение цикла менструации, кровотечение, диарею, тошноту, головокружение.
- Суппозитории и мазь Макмирор. В основе препарата вещества нифурател и нистатин. Они не оказывают токсическое воздействие на организм и в большинстве случаев хорошо переносятся. Активные компоненты не вызывают привыкания у патогенных бактерий, что позволяет применять лекарственное средство повторно. Макмирор оказывает не только антисептическое, но и противомикробное воздействие. Препарат эффективен при выявлении амебы, уреаплазмы. Свечи вводятся раз в сутки по одной в течение 8 дней. Аллергические реакции возникают крайне редко. При появлении зуда и высыпаний на слизистых оболочках и коже макмирор не используют.
При беременности
Беременным женщинам лечение сильнодействующими антибактериальными препаратами противопоказано, поскольку они могут оказывать негативное влияние на плод.
Если урогенитальный трихомониаз выявлен в первом триместре, пациенткам проводится ежедневная санация мочевого канала лекарственным средством на основе калия. Также назначаются вагинальные суппозитории:
- клотримазол;
- тержинан;
- бетадин.
С 12 недели беременным женщинам прописываются препараты для местного применения, содержащие 5-нитроимидазол. Это может быть гель, бальзам, свечи, мази. Наиболее эффективными считаются вагинальные таблетки метронидазол, суппозитории орнидазол, атрикан, тинидазол. Дозировка препарата подбирается максимально низкая. Для предотвращения рецидива терапия антибактериальными средствами назначается партнеру. По окончании курса осуществляется контрольное исследование на наличие трихомонады.
Во втором триместре может быть назначен комбинированный медикамент для местного использования клион д. Он эффективен не только при трихомониазе, но и при грибковой форме инфекции. Основу препарата составляют метронидазол и миконазол. Таблетку вводят глубоко во влагалище раз в сутки в течение 10 дней. Клион д может вызывать боли в животе, аллергические высыпания на коже, головокружение, рвоту. При возникновении у женщины подобных симптомов терапию комбинированным медикаментом прекращают.
Все препараты в виде вагинальных таблеток и свечей необходимо вводить после тщательного проведения гигиенических процедур. После приобретения суппозитории важно хранить в холодном месте. По истечению срока годности медикаменты не используются.
Уколы от трихомониаза
При остром течении инфекционного заболевания возможно введение препарата внутримышечно. Такой метод позволяет быстро купировать симптомы трихомониаза и нормализовать состояние пациента. Для этих целей используется лекарство цефтриаксон. Инъекция может ставиться внутривенно: струйным или капельным способом. Антибактериальный препарат помогает полностью устранить воспалительный процесс в тканях предстательной железы, убрать болевой синдром, улучшить мочеиспускание, которое нередко бывает нарушено при простатите.
Внутривенные инъекции с метрогилом назначаются при трихомониазе и смешанных инфекциях. Препарат помогает уничтожить грамположительные и грамотрицательные анаэробы. Метрогил вводится капельным путем не более 1 г в начале лечения. В дальнейшем дозировка удваивается. При нормальной переносимости организмом переходят на струнный метод. Курс терапии занимает 7 дней. Дозировка метрогила не должна превышать более 4 г в сутки. При наличии у пациента почечной или печеночной недостаточности препарат вводят в объеме не более 1 г в день. Метрогил может вызывать потерю аппетита, расстройство пищеварения, цефалгию, спутанность сознания, энурез, полиурию, высыпания на коже. Развитие подобных признаков непереносимости требует немедленного обращения к врачу и применения сорбентов, очистительных клизм, промываний желудка.
При лечении трихомониаза и наличии у пациенток осложнений ставится укол солкотриховка. Препарат относится к иммунотерапевтическим и способствует колонизации лактобацилл во влагалище. Стабилизация микрофлоры приводит к созданию неподходящих условий для размножения урогенитальной трихомонады. Солкотриховак может вызывать местные реакции в виде сыпи, эритемы, отека и боли в месте введения вакцины. Крайне редко возможна кратковременная гипертермия, сопровождающаяся ознобом, сильной утомляемостью, головными болями, потерей работоспособности.
Инъекции противопоказаны при острых инфекционных заболеваниях, туберкулезе в активной стадии, нарушениях кроветворения, недостаточности сердца, почек, иммунодефицитных состояниях.
Беременным и кормящим женщинам вакцина не ставится.
Профилактика
Главный способ предотвратить трихомониаз воздержание от случайных половых связей с непроверенными партнерами. Если же в силу обстоятельств такой контакт неизбежен, то обязательно нужно пользоваться презервативами. Но что делать, если произошел незащищенный случайный секс:
- Пенис нужно тщательно вымыть антибактериальным мылом под проточной водой.
- Незамедлительно нужно пройти обследование в клинике.
- Если неутешительный диагноз поставлен, следует срочно начинать лечение.
Не забывайте о том, что в редчайших случаях трихомониаз может передаваться бытовым путем, например, при использовании чужого полотенца или постельного белья. Хорошее средство защиты от болезни соблюдение элементарных правил личной гигиены.
Трихомониаз встречает у мужчин относительно редко, но уж если заражение произошло, то выявить недуг довольно сложно симптомы практически не проявляется. Гораздо проще предотвратить развитие патологии, чем лечить ее. Достаточно соблюдать элементарные меры предосторожности, и опасная болезнь обойдет вас стороной. Однако если вас все-таки настиг этот недуг, то вы можете посмотреть видеоролик, где рассказывают о различных вариантов лечения.
https://youtube.com/watch?v=92-iI5rsVPg%3Ffeature%3Doembed
Стоимость лекарственных средств против трихомониаза
Средняя цена медикаментозных препаратов, направленных на лечение трихомониаза, представлена в таблице.
| Наименование лекарства | Стоимость, $ |
| тинидазол | 0,4 |
| метрогил | 0,4 |
| орнидазол | 1,5 |
| атрикан 250 | 2,2 |
| трихопол | 1,3 |
| клиндамицин | 6,3 |
| клион д | 6,1 |
| солкотриховак | 6,9 |
| цефтриаксон | 12,6 |
| клотримазол | 1,2 |
| тержинан | 5,4 |
| бетадин | 2,9 |
| макмирор | 12,9 |
| гиналгин | 4,4 |
| метронидазол | 0,3 |
Антибактериальные препараты, направленные на уничтожение урогенитальной трихомонады, назначаются после проведения лабораторных исследований и выявления симптомов заболевания. Любые попытки самостоятельного лечения инфекции могут привести к снижению чувствительности активных веществ медикаментов к патогенным микроорганизмам. Терапия и дозировки препаратов подбираются врачом индивидуально, в зависимости от формы трихомониаза и имеющихся патологий. Курс антибактериального лечения назначается половому партнеру пациента. Перед применением препарата важно ознакомиться с инструкцией!
https://youtube.com/watch?v=zKOFjXcW5qw%3Ffeature%3Doembed
Вопрос-ответ
Как долго лечится трихомониаз у мужчин?
Курс лечения может длиться от 3 до 12 дней. В течение этого периода заболевшему следует воздержаться от половых контактов. В состав комплексной терапии могут входить иммуномодуляторы.
Что назначают мужчинам при трихомониазе?
У мужчин трихомониаз может протекать без симптомов. Лечение трихомониаза заключается в приеме антибиотиков — метронидазола (Флагил), тинидазола (Тиндамакс) или секнидазола (Солосек). Для предотвращения повторного заражения лечение должно быть проведено одновременно у обоих партнеров.
Что убивает трихомонаду?
Обычно для лечения трихомониаза используется метронидазол или тинидазол.
Какие свечи убивают трихомониаз?
Это свечи с АДВ (активным действующим веществом): метранидазолом, орнидазолом, тинидазолом. Одновременно с такими свечами необходимы препараты нитрофуранового ряда. Выбор свечей зависит от вероятных противопоказаний, вида диагностированной трихомонады, интенсивности инфицирования.
Советы
СОВЕТ №1
Обратитесь к врачу для точной диагностики и назначения лечения. Самолечение может привести к осложнениям и ухудшению состояния, поэтому важно получить профессиональную помощь.
СОВЕТ №2
Следуйте предписаниям врача и завершите курс лечения полностью. Даже если симптомы исчезнут, это не означает, что инфекция полностью вылечена. Пропуск доз или преждевременное прекращение лечения могут привести к рецидиву.
СОВЕТ №3
Избегайте половых контактов до полного выздоровления. Это поможет предотвратить передачу инфекции партнеру и снизит риск повторного заражения.
СОВЕТ №4
Поддерживайте здоровый образ жизни, включая правильное питание и физическую активность. Это поможет укрепить иммунную систему и ускорить процесс выздоровления.






