В 1836 году французский анатом Альфред Донне обнаружил микроорганизм у женщин, который впоследствии назвал trichomonas vaginalis. Долгое время эту бактерию, которая находилась во влагалище, считали своеобразным санитаром, поедающим бактерии и разрушающим вредоносные клетки.
Только в 1916 году ученые доказали, что trichomonas vaginalis является патогенным микроорганизмом, который вредит здоровью женщины. А в 50-е годы ХХ столетия советские исследователи обнаружили данную бактерию и у мужчин.
Что такое трихомониаз (трихомоноз)
Урогенитальный трихомониаз (Trichomonas vaginalis infection) это инфекция, которая развивается в мочеполовой системе человека, вызвана она одноименной бактерией. Болезнь передается половым путем. По статистике, здоровые женщины подвержены данной инфекции в развитых странах в 2-10% случаев, а в развивающихся государствах этот показатель составляет 15-40%. Трихомониаз диагностируется и у мужчин, но в 70-80% случаев болезнь протекает бессимптомно
В современной медицине принято считать несколько разновидностей трихомонозной инфекции:
- урогенитальный трихомониаз, сюда относятся простатит и вагинальная лейкоррея А59.0;
- трихомониаз, локализующийся в других частях тела А59.8;
- неуточненный трихомониаз А59.9;
- трихомонадный простатит А51.0.
В России существуют немного другие мерки данного заболевания:
- Трихомониаз свежий, он протекает в острой, подострой, торпидной формах. Может длиться до 2 месяцев.
- Трихомониаз хронического течения. Как правило, бывает торпидного характера, давность болезни определяется свыше 2 месяцев.
- Трихомонадоносительство. В этом случае симптомы заболевания отсутствуют, характеризуется латентным течением.
Врачи отмечают, что инфекция, вызванная Trichomonas vaginalis, может проявляться различными симптомами, включая зуд, жжение, выделения с неприятным запахом и дискомфорт при половом акте. У женщин часто наблюдаются обильные пенистые выделения, а у мужчин инфекция может протекать бессимптомно, что затрудняет диагностику. Важно, чтобы пациенты не игнорировали симптомы и обращались за медицинской помощью.
Лечение обычно включает применение антибиотиков, таких как метронидазол или тинидазол, которые эффективно борются с инфекцией. Врачи подчеркивают, что важно пройти полный курс лечения и избегать половых контактов до полного выздоровления, чтобы предотвратить повторное заражение. Также рекомендуется обследовать и лечить сексуальных партнеров, чтобы снизить риск рецидива. Регулярные медицинские осмотры и соблюдение правил личной гигиены могут помочь в профилактике этой инфекции.
https://youtube.com/watch?v=YAxSRrFOY9o
Вагинальный трихомониаз: причины
Существует два пути заражения трихомонадой:
- Основной путь инфицирования незащищенный половой контакт. В 80% случаев заражение происходит даже после одного полового контакта с инфицированным партнером.
- Trichomonas vaginalis передается с вероятностью в 100% от зараженной матери плоду (внутриутробно либо через родовые пути).
Некоторые специалисты указывают, что данная инфекция может передаваться контактно-бытовым путем, но это утверждение вызывает многочисленные споры, так как бактерия Trichomonas неустойчива во внешней среде. Тем не менее, совсем исключать такой путь заражения не стоит.
Важно! Передача влагалищной трихомонады осуществляется только от человека к человеку, поскольку она является антропогенной.
Трихомониаз влагалища: симптомы
Проникнув в организм человека, Trichomonas находится в скрытой (латентной) форме 1-4 недели. Этого периода вполне достаточно для активного размножения вредоносных бактерий. Достигнув определенного числа популяции, Trichomonas vaginalis начинают вызывать развитие воспалительных процессов. У 50% людей, зараженных этой инфекцией, симптоматика проявляется очень слабо. Это обусловлено сильным иммунитетом, особенностями организма либо применением антибактериальных препаратов. Возбудитель трихомонады распространяется по мочевыводящим путям, поражая область вагины и шейки матки.
Заболевание проявляется следующими симптомами:
- Покраснение половых органов.
- Выделения из влагалища.
- Появляется специфический запах даже при соблюдении гигиены.
- Отек слизистых влагалища и тканей половых губ.
- Возникает ложное желание опорожнения мочевого пузыря.
- В период физической нагрузки (занятия спортом, быстрая ходьба и т.д.) появляется сильный зуд.
Активное размножение паразитов нередко приводит к переполнению сосудов кровью, что может стать причиной кровотечения даже при малейшем касании.
Трихомониаз, вызванный паразитом Trichomonas vaginalis, часто остается незамеченным, так как многие женщины не испытывают симптомов. Однако, когда проявляются признаки, это может быть зуд, жжение, неприятные выделения и дискомфорт во время полового акта. Люди отмечают, что важно не игнорировать эти симптомы и обращаться к врачу для диагностики. Лечение обычно включает прием антибиотиков, таких как метронидазол или тинидазол, которые эффективно справляются с инфекцией. Многие подчеркивают, что важно пройти курс лечения не только для себя, но и для партнера, чтобы избежать повторного заражения. Профилактика также играет ключевую роль: использование презервативов и регулярные медицинские осмотры могут помочь снизить риск заражения.
https://youtube.com/watch?v=uzPhUUY0DPE
Характеристика trichomonas vaginalis
Trichomonas vaginalis самая крупная бактерия из всех разновидностей трихомонад. Форма ее весьма изменчива. Размер достигает 40 мкм. Это одноклеточный микроорганизм. Из-за наличия нескольких форм существования не всегда удается обнаружить данные бактерии в мазке.
Если рассматривать микроб под микроскопом, то внешне его тело напоминает овально-грушевидную форму. Но под влиянием различных факторов его очертания могут изменяться. Наличие жгутиков позволяет бактерии быстро передвигаться. Тrichomonas vaginalis не имеет пол и пожирает все вокруг, в том числе и другие бактерии, находящиеся поблизости.
Трихомонада вызывает несколько видов заболеваний. Также они имеют свойства скрывать внутри себя других возбудителей болезней, передающихся половым путем.
Наряду с трихомоназом могут развиваться и другие опасные половые инфекции, такие как:
- хламидиоз;
- кандидоз;
- гонорея;
- микоплазма и др.
Болезнь не щадит ни женщин, ни мужчин и даже детей. При благоприятных условиях это простейшее существо способно быстро размножаться. Часто болезнь активно развивается в период менструации и беременности.
Тrichomonas vaginalis находится во влагалище женщины, так как это наиболее комфортная среда обитания для него. В период размножения паразит выделяет конечные продукты обмена. В результате чего развиваются различные эрозии, гнойные образования, язвы, так как наблюдается деструкция и разрушение клеток.
Бактерия легко переносит низкие температуры. Даже при 0 C трихомонад способен в течение недели вызывать заболевание. Если образуется неблагоприятная среда, то бактерия теряет свои жгутики и покрывается защитной оболочкой. В таком состоянии одноклеточное бесполое существо может находиться длительное время, дожидаясь, пока ослабнет иммунная система человека.
Попадая в среду вне человеческого организма, микроорганизм быстро теряет жизнеспособность. Гибель trichomonas vaginalis наступает под воздействием внешней среды и температуры выше +40 C. Бактерия гибнет при высушивании, так как ее организм нуждается в постоянной влаге.
Основные пути передачи инфекции
Было уже сказано, что основной путь заражения трихомонады влагалища это половой. Но стоит рассмотреть и другие пути передачи инфекции:
- Половой путь заражения предусматривает все его виды генитальный, оральный, анальный и даже пальцевой контакт с гениталиями партнера. Данный путь заражения происходит в 80% случаев.
- Передача болезни от больной матери к плоду. Происходит это во время прохождения ребенка по инфицированным родовым путям женщины.
- Путем контактно-бытового инфицирования. При использовании одного полотенца, во время похода в туалет, если на крышку унитаза попала инфицированная жидкость, при использовании вещей больного человека. Но подобным способом люди заражаются крайне редко, так как организм не устойчив во внешней среде.
Клинические проявления
Находясь в организме, вагинальная трихомонада долгое время может не проявлять себя, лишь изредка наступает обострение болезни. Симптомы трихомониаза у женщин проявляются различными нарушениями, мужчины же в большинстве своем являются носителями болезни, даже не подозревая об этом.
Инкубационный период длится в среднем от 5 до 15 суток. Проникая в организм человека, бактерия фиксируется на слизистых оболочках, приводя к воспалительному процессу. Болезнь может подразделяться на несколько периодов: острый, подострый, торпидный, хроническое течение.
Существует понятие, как трихомонадоносительство, которое бывает преимущественно у мужчин. Острая же форма заболевания встречается у женщин и чаще всего в послеменструальный период. Подострая форма характеризуется слабовыраженными признаками болезни и скудными выделениями из влагалища. Симптомы отсутствуют и при торпидной форме трихомониаза. Выявляется влагалищная трихомонада после кольпоскопии, когда у женщины выявляется воспалительный процесс. Хроническое течение недуга сопровождается и другими половыми инфекциями.
Нередко признаки инфекции становятся еле заметными в менструальный период и во время беременности. Это связано с тем, что в это время кислая влагалищная среда становится щелочной, она, в свою очередь, не является благоприятным местом для размножения микроорганизмов этой группы.
Если произошло обострение инфекции, то пациенты жалуются на боль, жжение и дискомфорт в половых органах во время близости. Такие симптомы наблюдаются в течение месяца. В это же время из половых органов может выделяться гной, а само влагалище покрываться сыпью, наподобие аллергической реакции. Кроме того, присутствуют все признаки воспаления, которое достигает даже шейки матки.
У мужчин поражаются мочеиспускательный канал и предстательная железа, реже придатки яичек. Если болезнь перешла в хроническую стадию, то нередко появляются симптомы простатита.
Симптомы
Трихомониаз передается половым путем и является частой причиной вагинита у женщин, в то время как у мужчин инфекция проявляется симптомами уретрита. Для заболевания характерны пенистые, зеленоватые выделения из влагалища с затхлым неприятным запахом.
Осложнения
Некоторые из осложнений вызываемые Trichomonas vaginalis у женщин включают: преждевременные роды,
- низкий вес при рождении и повышенную смертность,
- предрасположенность к ВИЧ-инфекции,
- СПИДу и раку шейки матки.
T. vaginalis паразитирует в мочевыводящих путях, фаллопиевых трубах и тазу и может вызвать пневмонию, бронхит и поражения полости рта. Презервативы эффективно снижают риск заражения, но не полностью предотвращают передачу инфекции.
Трихомонадная вагинальная инфекция у мужчин вызывает бессимптомный уретрит и простатит. Есть предположение, что это увеличивает риск возникновения рака простаты; однако, доказательств недостаточно.
Откуда берётся трихомонада
В конце пятидесятых годов прошлого столетия состоялось несколько международных конференций, обсуждавших, откуда трихомонада приходит в половые пути. Решили, что этот одноклеточный организм можно получить не только при половом контакте, но и с банной скамейки или тазика, и даже воды бассейнов и просто воды из крана, не говоря уж о колодцах. Банные принадлежности обвиняли по причине того, что у мужчин трихомониаз практически не выявлялся вследствие отсутствия клинических симптомов. Если женщина жалуется на воспаление, а у мужчины всё нормально, то видимо, женщина подцепила заразу где-то ещё.
Где приличная и верная супругу женщина может инфицироваться половой инфекцией? Конечно же, в общественной бане, где она совершенно беззащитна. А в то время персональные ванные комнаты были большой редкостью, граждане на промывку ходили в бани. Ещё одну пятилетку человечество убеждали, что принесённая в семью трихомонада, отнюдь не следствие неверности одного из супругов, а свидетельство несоблюдение женщиной личной гигиены. Одно хорошо, это заблуждение помогало сохранить семью, ведь инфицирование случилось неполовым путём.
Но в середине 60-х годов из советской Эстонии пришло научное доказательство крайне плохой выживаемости трихомонады вне организма человека, посему заражение никаким иным способом, кроме полового, просто нереально. Трихомонада не любит солнечного света и горячей воды, и сразу же погибает от любого антисептика. Действительно, трихомонада настолько нежна, настолько требовательна к внешней среде, что даже в собранном с целью исследования секрете половых путей частенько погибает до того, как её донесут до микроскопа. С того времени заболевание, вызываемое Trichomonas vaginalis, признали венерическим.
Основной путь передачи трихомонады у взрослых, конечно, половой, но оральный секс не способствует инфицированию, во всяком случае, не смогли доказать оной возможности передачи. Больная трихомониазом роженица может инфицировать своего ребёнка, чаще это происходит с девочками. Такой путь передачи инфекции называется вертикальным. И сегодня у 217% новорожденных находят трихомонадные вагиниты или, по-старому, кольпиты, доставшиеся от мамы. Вполне возможно, ведь анализы у беременных берут за несколько недель до родов.
В группе риска по трихомониазу находятся имеющие несколько половых партнёров граждане, работники нелегальной секс-индустрии, наркозависимые и ВИЧ-инфицированные, социально неблагополучные, в общем, товарищи. Правда, до сих пор граждане активно используют идею насчёт заражения трихомониазом в бассейне, главное, чтобы лечились, а уж как объяснять партнёру появление Trichomonas vaginalis, пусть решают сами.
Симптомы трихомониаза
Трихомониаз часто может протекать совершенно бессимптомно, особенно характерно это для мужчин. Для жизни Trichomonas vaginalis выбирает плоский эпителий полового тракта и мочевыводящих путей уретру, в 90% имеется сочетанное поражение уретры и гениталий, и только пять из сотни имеют изолированное поражение уретры.
Инфекция проявляется не сразу после заражения, а в среднем через две недели, хотя известны случаи совсем короткого, буквально 2 дня, и достаточно продолжительного инкубационного периода. Заболевание у женщин проявляется, как правило, остро с появления обильных мутных и пенистых выделений с неприятным запахом, что сопровождается зудом во влагалище или уретре. Острый период длиться неделю-две, после этого отмечаются не столь обильные выделения прежнего характера. Мужчины жалуются на зуд и жжение в мочеиспускательном канале.
При отсутствии лечения в процесс могут вовлекаться слизистые наружных половых органов, где возникают зудящие красные пятна, местами с отсутствием поверхностного слоя эпителия эрозии. Половой акт может сопровождаться болью, возможны боли в уретре при мочеиспускании. Гинекологи видят отёк и покраснение слизистой, а на шейке матки кровоизлияния, а сама слизистая шейки очень похожа на зрелую клубничку. Но такая клиническая картина возникает только у части инфицированных, другие же мирно сосуществуют с трихомонадой, что называется носительством.
Мирное ли это носительство
Почему у кого-то развивается бурная симптоматика поражения половых путей трихомонадой, а кто-то даже не подозревает о пребывании простейшего, сказать определённо нельзя. Скорее всего, это обусловлено и штаммом инфузории и особенностями хозяина. Но у мужчин такое положение клинических дел отмечается на порядок чаще, чем у женщин.
Предполагается, что иммунный ответ на внедрение трихомонады может быть очень вялым, потому что она по генам чем-то похожа на красные кровяные тельца эритроциты. А возможно, наоборот, местный иммунитет такой силы, что окончательно убить Trichomonas vaginalis не способен, но и спуску не даёт, не дозволяя ей активно проявляться.
Тем не менее, отсутствие клинических симптомов не делает носителя безвредным для полового партнёра, он такой же источник инфекции, как и осознающий себя больным половой инфекцией человек. Трихомонадоноситель опасен потому, что не ощущая венерической болезни, не считает нужным ограничиваться в половом поведении. Именно трихомонадоносителям обязаны мы довольно значимым распространением заболевания.
Носительство трихомонад позволяет значительно более лёгкому инфицированию другими половыми инфекциями и ВИЧ, поскольку защитные свойства слизистой при трихомониазе ниже, в слизистой половых органов возникают повреждения, через которые легко проникают другие возбудители. Есть подозрение, что хоть и трихомонада сама редко поражает канал шейки матки, но повышает вероятность развития не совсем доброкачественных изменений слизистой шейки цервикальной неоплазии.
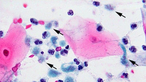
Диагностика и анализы
У женщин диагноз выставляется на основании имеющихся симптомов и обнаружении трихомонад в мазке. Симптомы болезни не специфичны, поэтому поставить точный диагноз только на их основании невозможно. Материал для анализа у женщин берётся из влагалища, цервикального канала, уретры, прямой кишки.
Пользуются следующими методами:
Для микроскопического метода требуется нанесение полученного материала на предметное стекло. В последующем проводят его изучение под микроскопом. В течение часа после взятия материала можно исследовать нативный мазок, иначе называемый влажным (не подвергающийся окраске).
В нём обнаруживаются подвижные формы трихомонад. Они хорошо выявляются при острой форме заболевания. Если же мазок взят позже или болезнь протекает скрыто, то вероятность обнаружения подвижных микроорганизмов достаточно низкая.
Мазки, подвергающиеся окрашиванию, более информативны, потому что позволяют выявить клетки не только по их подвижности, но и по определённой форме и размерам.
Культуральный метод предполагает помещение полученного материала на специальную питательную среду. Он позволяет выявить наличие трихомонад, когда симптомы заболевания слабо выражены или оно протекает атипично.
Способ высокочувствителен, но требует длительного периода времени проведения. Используется, как в качестве диагностики болезни, так и для контроля за результатами проводимого лечения.
Молекулярно-генетический метод основывается на обнаружении участков РНК и ДНК возбудителя (реакции типа ПЦР, NASBA и другие). Однако, к примеру, ПЦР менее чувствителен в сравнении с культуральным методом. По этой причине рекомендуется проводить эти две методики вместе, что значительно повышает точность исследования.
Серологическое исследование выступает лишь дополнением к остальным методикам. Оно представляет собой исследование крови на предмет наличия антител к трихомонаде.
Полученный результат следует оценивать лишь в комплексе с другими методиками это связано с тем, что антитела в крови могут сохраняться длительный период времени после перенесённой инфекции (где-то до года). Главный недостаток этого исследования заключается в высокой вероятности ложноположительных и ложноотрицательных результатов.
В мазках могут обнаруживаться не только трихомонады, но и другие косвенные признаки, свидетельствующие о воспалении:
- большое скопление лейкоцитов;
- повышенное количество слизи;
- присутствие гарднерелл, дрожжевых клеток;
- кокковая флора.
Быстрее всего выполняется микроскопия неокрашенного мазка. Получить результат в этом случае можно в течение 10 мин. Больше всего по времени занимает культуральный метод. Для его выполнения требуется больше недели.
Применяемые методики для выявления трихомонад наглядно представлены следующим образом:
| Микроскопический | Культуральный | Молекулярно-генетический | Серологический | |
| Материал | Соскоб | Соскоб | Соскоб | Кровь из вены |
| Сущность | Исследование полученного материала, нанесённого на предметное стекло, под микроскопом | Посев взятого материала на питательные среды с последующим отслеживание роста на нём болезнетворных микроорганизмов | Определение участков ДНК и РНК возбудителя | Выявление антител к трихомонаде |
| Длительность проведения | Неокрашенные мазки около 10 мин. | Больше недели | 1-2 рабочих дня | 1-2 рабочих дня |
| Чувствительность | В острой стадии заболевания достигает 70%, в хронической и скрытой 30-70% | 95% | От 55 до 95% | Высока вероятность ложноположительных и ложноотрицательных результатов |
При комплексном подходе, выполнении всех рекомендаций по подготовке к исследованиям, а также при правильном заборе материала диагноз выставляется наиболее точно.
Течение болезни и причины
Болезнь может протекать остро, подостро, хронически или бессимптомно.
Острой считается стадия, следующая непосредственно за заражением. Воспалительный процесс протекает достаточно интенсивно с ярко выраженными проявлениями. В мазках присутствует много трихомонад, лейкоцитов, но мало эпителиальных клеток, отсутствуют молочнокислые палочки.
При подостром течении симптоматика стихает, становится незначительной, снижается количество выделений.
Заболевание приобретает хроническое течение при отсутствии адекватной терапии через 2 мес. после заражения. Для хронической формы часто характерно волнообразное течение: симптомы то стихают, то вновь усиливаются. Женщины отмечают появление белей и неприятных ощущений перед или сразу после менструальных кровотечений.
При хроническом трихомониазе в мазках количество трихомонад может то повышаться, то снижаться, эпителиальные клетки присутствуют в большом количестве, а лейкоциты наоборот, молочнокислые палочки не обнаруживаются.
Трихомонады в мазке у женщин обнаруживаются в небольшом количестве, а эпителиальные клетки и молочнокислые палочки не выявляются вовсе, в случаях бессимптомного течения болезни.
У беременных, возможные осложнения
Трихомониаз не приводит к развитию пороков у плода, однако это заболевание крайне нежелательно во время беременности. Агрессивная среда, формирующаяся во влагалище, может негативно влиять на нижние стенки околоплодного пузыря. Это зачастую приводит к излитию околоплодных вод, вызывая преждевременные роды или выкидыш.
У женщин, больных трихомониазом, дети рождаются с низким весом. Также высока вероятность передачи инфекции ребёнку во время прохождения его по родовым путям.
При получении положительного результата анализа необходимо убедиться в его достоверности. Метронидазол, используемый для лечения трихомониаза, не рекомендован для приёма в 1 триместре. Он может быть опасен для ребёнка и должен назначаться исключительно врачом акушером-гинекологом с учетом всех особенностей течения беременности.
Лечение
В лечении трихомониаза используется метронидазол. Он признан одним из самых эффективных в отношении этого заболевания. Действует препарат не только на простейшие микроорганизмы, но и на анаэробную микрофлору. Также он способствует выработке интерферона. Для достижения необходимой концентрации метронидазола в крови более приемлем его приём внутрь (перорально).
Кроме метронидазола в лечении заболевания пользуются также другими производными 5-нитроимидазола:
- орнидазолом;
- тенонитрозолом;
- тинидазолом;
- ниморазолом.
Производные нитроимидазола достаточно эффективны в лечении трихомониаза в острой стадии. Однако, они не способствуют нормализации внутренней среды влагалища.
Для этой цели применяется вакцинация СолкоТриховаком. Он содействует стабилизации pH влагалища, колонизации лактобактерий, повышению иммунитета. Такие условия становятся некомфортными для размножения трихоманад, что снижает вероятность рецидива болезни.
При этом следует отметить, что клиническими наблюдениями достоверно установлено, что наиболее эффективным препаратом является мертронидазол, результативность лечения с использованием орнидазола самая низкая.
За полвека использования указанной группы препаратов наблюдается увеличение количества штаммов возбудителя с резистентностью к лекарствам. В связи с этим, процент рецидива заболевания составляет около 44-47%.
Схемы лечения определяются только лечащим врачом, самостоятельное использование медикаментов для лечения недопустимо. Тем более, что даже производитель в инструкциях указывает, что дозировка и схема применения препаратов назначаются врачом в зависимости от клиники, состояния и возраста пациента, результатов лабораторных исследований.
Общепринятыми являются следующие:
| Назначается мг/раз в сутки/ кол-во дней | |||
| Препарат | Типовая | Альтернативная | Осложненная и рецидивирующая формы |
| Метронидазол | 500/2/7 | 2000/1/1 | 500/3/7 или 2000/1/5 |
| Орнидазол | 500/2/5 | 1500/1/1 | 500/2/10 |
| Тинидазол | 500/2/5 | 2000/1/1 | 2000/1/3 |
| Лечение беременных не ранее II триместра | |||
| Метронидазол | 2000/1/1 | ||
| Лечение детей | |||
| Метронидазол | 10 мг на кг веса/3/5 | ||
| Орнидазол | 25 мг на кг веса/1/5 | ||
Повышение успешности лечения при совместном использовании с пероральным приемом местных форм лекарств этой же группы, а также увеличении дозировки является заблуждением. Альтернативный вариант лечения в последние десятилетия вышли на первый план, поскольку клинический опыт специализированных клиник показывает эффективность схемы и ее вполне щадящий режим лечения.
Кроме того, по мнению специалистов, рецидивы заболевания следует лечить с применением типовой дозировки. Но перед повторным курсом следует пролечить больного эритромицином или амоксициллином для снижения количества стрептококков, снижающих эффективность лечения за счет захвата нитрогруппы.
До начала курса терапии следует провести обследование на предмет иммунодефицита и при наличии такового, назначить иммуномодуляторы в дополнение к основной схеме лечения.
Заболевание считается излеченным, если:
- Трихомонады не выявляются в мазках, взятых из уретры, влагалища, цервикального канала, прямой кишки.
- Получены благоприятные результаты в течение последующих 2-3 менструальных циклов.
- Отсутствуют клинические проявления болезни.
Для успешного лечения важно одновременное прохождение его всеми половыми партнёрами.
Народные средства
Народные средства в данной ситуации бессильны и могут использоваться лишь в качестве дополнения к основному лечению. Многие травы обладают противовоспалительным и иммуномодулирующим действием, поэтому способствуют скорейшему выздоровлению.
Могут использоваться для приготовления отваров следующие травы:
Зверобой
Одно из самых известных лекарственных растений. Однако, по причине огромного количества знахарей и целителей, за последние годы утрачены верные рецепты народных средств на его базе. Чаще всего путаются виды средств и дозировка. В дополнение к медикаментозной терапии при трихомониазе следует использовать отвар зверобоя. Готовится очень просто.
В литровый термос закладывается 15 г сушеного сырья (не более 3-х ст. л. или 10 фильтр-пакетов). После этого туда вливается крутой кипяток и термос герметизируется пробкой на 15 мин. Затем, полученный отвар следует охладить и процедить через мелкое сито или марлю. Использовать следует для спринцевания и аппликаций.
Кроме того, возможен прием его внутрь по трети стакана 3 раза в день. Перед употреблением для любой цели отвар желательно слегка подогреть. Ежедневно готовить новую порцию средства. Более 2 недель применять отвар не следует. Перерыв в применении должен быть не менее 2 месяцев.
Ромашка
Противовоспалительные и спазмолитические свойства ромашки используются очень широко. Поэтому в данном случае ее применение находится в приоритете. Готовится и используется отвар из этого растения аналогично зверобою. Однако, внутрь принимать отвар ромашки не следует, поскольку на мочеполовую сферу он воздействовать не может.
Два указанных растения могут использоваться без дополнительных консультаций с врачом, поскольку реальных противопоказаний не имеют. Многие источники рекомендуют еще около десятка народных рецептов.
Однако, делается это без учета противопоказаний и побочных эффектов. Например, ряд изданий рекомендует использовать чистотел, который в данном случае не несет какого-либо эффекта. Но вместе с тем, растение крайне ядовито даже при наружном применении. Поэтому все народные средства для использования в гинекологии и дерматовенерологической практике должны назначаться только лечащим врачом.
Трихомониаз является широко распространённым венерическим заболеванием. Симптоматика его может быть, как ярко выраженной, так и вообще не проявляться. Диагноз у женщин выставляется на основе клинической картины и выявления трихомонад в мазке. Самолечение заболевания категорически запрещено, поскольку в 90% случаев ведет к переходу патологии в хроническую или осложненную формы.
Оформление статьи: Владимир Великий
Контроль за лечением и профилактика
Как узнать, что человек излечился от Trichomonas vaginalis? Конечно, для мониторинга необходимо использовать современные методы ПЦР или ИФА. Такие исследования можно проводить после курса лечения в течение 3-6 месяцев один раз в месяц.
В медицинских кругах есть мнение, что без соответствующей терапии период заражения длится около 5 лет. По прошествии этого срока, трихомониаз может исчезнуть самостоятельно. Такое мнение не имеет на данный момент полноценного подтверждения. И если самоизлечение все-таки возможно, то в течение пяти лет организм будет испытывать на себе негативное воздействие возбудителя и приобретет множество осложнений. Поэтому нет смысла отказываться от своевременного лечения от этого заболевания.
Не вылеченный трихомониаз может стать причиной таких заболеваний как: простатит, эпидидимит, орхит, цервицит, эндометрит, сальпингит, цистит, пиелонефрит, бесплодие (женское и мужское).
В основе предупреждения трихомониаза лежит отказ от беспорядочных половых связей. Также необходимо соблюдать элементарные правила интимной гигиены при сексуальных контактах.
Следует понимать, что только защищенный секс и периодические профилактические осмотры у врача-гинеколога или уролога помогут избежать проблем со здоровьем и женщинам и мужчинам.
https://youtube.com/watch?v=92-iI5rsVPg%3Ffeature%3Doembed
- https://WikiParazit.ru/drugie-parazity/kak-proyavlyaetsya-i-lechitsya-trichomonas-vaginalis.html
- https://myvenerolog.com/spisok-boleznej/drugie-zppp/trihomoniaz-vaginalnyj-opasnost-bolezni-i-lechenie.html
- https://NoParasites.ru/protozojnye-organizmy/trichomonas-vaginalis.html
- https://profmedlab.ru/patsientam/trihomoniaz/
- https://healthperfect.ru/trihomonady-v-mazke-u-zhenschin.html
- https://venerbol.ru/trihomoniaz/vlagalishchnaya-trihomonada.html
[свернуть]
Вопрос-ответ
Как лечится трихомонада?
Женщины с трихомониазом должны принимать метронидазол 500 мг перорально 2 раза в день в течение 7 дней. Мужчины должны получить метронидазол 2 г перорально однократно. Альтернативным вариантом лечения для женщин и мужчин является прием тинидазола 2 г перорально однократно.
Как понять, что у тебя трихомонада?
Пенистые выделения желто-зеленого цвета, воспаление слизистой оболочки гениталий, дерматит на внутренних поверхностях бедер, многочисленные очаги эрозии на стенках влагалища, болевой синдром при мочеиспускании, выраженная боль при сексуальных контактах.
Сколько дней лечится трихомониаз?
Курс лечения может длиться от 3 до 12 дней. В течение этого периода заболевшему следует воздержаться от половых контактов. В состав комплексной терапии могут входить иммуномодуляторы.
Можно ли вылечить трихомониаз у женщин?
Трихомониаз – распространенная среди женщин репродуктивного возраста инфекция, передаваемая половым путем (ИППП), вызываемая простейшим одноклеточным паразитом Trichomonas vaginalis. Трихомониаз поддается терапии и может быть полностью излечен.
Советы
СОВЕТ №1
Регулярно проходите медицинские обследования. Это поможет выявить инфекцию на ранней стадии и начать лечение, прежде чем она станет более серьезной.
СОВЕТ №2
Обратите внимание на симптомы. Если вы заметили необычные выделения, зуд или дискомфорт в области влагалища, не откладывайте визит к врачу.
СОВЕТ №3
Избегайте незащищенных половых контактов. Использование презервативов может снизить риск передачи инфекции и защитить ваше здоровье.
СОВЕТ №4
Следуйте указаниям врача по лечению. При назначении медикаментов важно завершить курс лечения полностью, даже если симптомы исчезли, чтобы предотвратить рецидив инфекции.








