Свинец – это тяжелый металл, он имеет свойство накапливаться в организме. Даже небольшая доза, но систематически поступающая в организм, приводит к концентрации вещества. Свинец в больших дозах ядовит для человека.
Основные источники отравления
Внутрь организма металл попадает через дыхательные пути и органы пищеварения, откуда попадает в кровь.
Он накапливается в почках, костях и селезенке
. Чтобы получить отравление, достаточно дозы 1 мг свинца на 1 л воды. В больших густонаселенных городах норма вещества превышена в 25 раз.
Свинец содержится в воде. При недостаточной фильтрации на старых очистительных сооружениях вода со свинцом подается в жилые дома, где ежедневно используется для приготовления пищи. При кипячении вредность вещества не уменьшается.
Отравление в быту может произойти у людей, живущих в старых домах, построенных до 1960 года. В те времена свинец тотально использовался при строительстве. Поэтому существует риск отравления металлом. Источниками могут быть:
- любые эмалированные изделия;
- обои в старых домах;
- коммуникации – трубы и провода;
- стены покрашены краской, содержащей свинец;
- старые игрушки, покрытые краской.
Другие источники загрязнения металлом:
- овощи, выращенные возле автомобильных магистралей;
- инсектициды;
- удобрения из костной муки;
Пары свинца попадают в организм при вдыхании:
- выхлопных газов;
- паров автомобильных аккумуляторов;
- выбросов авиационных двигателей;
- сигаретного дыма.
Врачи отмечают, что отравление свинцом является серьезной проблемой, которая может привести к множеству долгосрочных последствий для здоровья. Особенно уязвимы дети, у которых даже небольшие дозы свинца могут вызвать задержку в развитии, нарушения внимания и проблемы с обучением. У взрослых симптомы могут включать головные боли, боли в животе и нарушения сна. Лечение отравления свинцом обычно включает в себя хелатную терапию, которая помогает вывести токсин из организма. Однако важно не только лечение, но и профилактика, включая контроль за источниками свинца в окружающей среде, такими как старые краски и загрязненная вода. Врачи подчеркивают необходимость регулярных обследований для выявления отравления на ранних стадиях, что значительно улучшает прогноз.
https://youtube.com/watch?v=L0lR8rva8Xo
Симптомы свинцового отравления у взрослых
Свинец опасен для жизни человека. Металл длительное время бессимптомно накапливается в организме. Хроническое отравление при длительном поступлении небольших доз яда остается незамеченным. Первые клинические симптомы неспецифичны – слабость, утомляемость, снижение работоспособности, потеря аппетита остаются без внимания как пострадавших, так и врачей.
Общие симптомы:
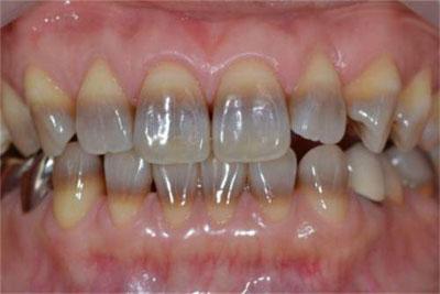
- кожа бледно-землистого цвета;
- лилово-серая кайма между деснами и зубами;
- повышенная секреция желудочного сока;
- упорные запоры;
- боли в животе схваткообразного характера;
- токсическое поражение клеток печени.
Чем опасен свинец для организма человека? Вещество поражает несколько систем:

- Центральная нервная система – раздражительность, бессонница, повышенная возбудимость, нарушения мозговой деятельности. При остром отравлении потеря сознания. Наблюдаются неврологические нарушения и психические расстройства. В тяжелых случаях развивается энцефалопатия (органическое поражение мозга в результате гибели мозговых клеток).
- Мочевыводящая система – нарушается работа почек, жидкость не выводится из организма в полном объеме. У человека развивается гипертония. Повреждение канальцев и клубочков. Развивается прогрессирующая хроническая почечная недостаточность.
- Периферическая нервная система – паралич кисти или стопы.
- Костная система – при длительном воздействии свинец накапливается в костях и приводит к остеомаляции (размягчение костей).
У женщин хроническое отравление свинцом приводит к нарушению репродуктивной функции. Острое отравление беременных приводит к преждевременным родам или гибели плода.
Как проявляется отравление свинцом у детей
Металл особо вреден для детского организма. Дети, страдающие хронической свинцовой интоксикацией, имеют разные признаки отравления. Это зависит от возраста ребенка.
Новорожденные сильно отстают в физическом развитии.
У маленьких детей в возрасте до 5 лет значительно снижается уровень интеллектуального развития. Это связано с тем, что свинец поражает мозг ребенка. Малыши престают развиваться и становятся олигофренами.
Олегофрения, или слабоумие, – это патология головного мозга, которая может быть врожденная или приобретенная. Характеризуется стойким и малообратимым недоразвитием интеллектуальной и психической деятельности.
Дети после 6-7 лет перестают нормально развиваться. И хроническое отравление у них проявляется в виде полинейропатии.
Полинейропатия – это поражение периферических нервов с нарушением чувствительности в руках и ногах. Постепенно развивается общее ослабление организма.
Важным симптомом отравления у детей любого возраста является анемия. Свинец разрушает эритроциты, которые переносят кислород. Как следствие, организм ребенка испытывает хроническое кислородное голодание. И это одна из причин формирования умственной отсталости.
Отравление свинцом — серьезная проблема, о которой говорят как медики, так и пациенты. Многие отмечают, что симптомы могут быть неочевидными: головные боли, усталость, проблемы с памятью и концентрацией. Важно помнить, что свинец накапливается в организме, и его последствия могут проявляться спустя годы. Лечение включает в себя детоксикацию, которая может быть проведена с помощью препаратов, связывающих свинец и способствующих его выведению. Врачи подчеркивают важность ранней диагностики, так как запущенные случаи могут привести к необратимым последствиям, включая нарушения в работе нервной системы. Обсуждая эту тему, люди также акцентируют внимание на необходимости профилактики, особенно в зонах с высоким уровнем загрязнения.
https://youtube.com/watch?v=qGsShkjxRyM
Лечение свинцового отравления
Для того чтобы определить наличие свинца в организме, необходимо сдать анализ крови.
Не смотря на то, что это химическое вещество является тяжелым металлом, оно легко выводится из организма. Для того назначают препараты – хелаты. Это комплексные соединения, которые притягивают и концентрируют вокруг себя молекулы свинца. Затем выводятся из организма с мочой и калом.
Основные лечебные программы в условиях токсикологического отделения при остром отравлении:
- Глубокая общая очистка организма.
- Очистка печени.
- Лимфодренаж, очистка лимфы и межклеточного пространства.
- Регуляция почек.
- Очистка крови и плазма.
- Детоксикация химического вещества.
- Стабилизация иммунной системы.
- Симптоматическое лечение.
Профилактика отравления
Как проверить водопроводную воду на наличие свинца в домашних условиях:
1-й способ. В продаже существуют специальные тест-полоски, с помощью которых можно определить содержание металла. Для этого полоску необходимо опустить в воду. Если она окрасится в желтый цвет — в воде есть свинец.
2-й способ. В каждой аптеке продаются таблетки калия йодид. Несколько таблеток нужно бросить в проверяемую воду. Если в ней имеется металл, то таблетки тоже пожелтеют.
Для очистки воды можно использовать различные системы фильтрации. Модульные сменные фильтры могут избирательно фильтровать любые ингредиенты воды.
Защита при интоксикации свинцом:
- витамины В, С, Д;
- магний и кальций;
- цинк;
- различные сорта капусты.
Меры предосторожности:
- нельзя сажать плодовые деревья вдоль дорог;
- курение, не только активное, но и пассивное, алкоголь – источник попадания в организм свинца;
- продукты в жестяной таре нельзя хранить более 5 лет.
Минимальное содержание свинца в организме человека является нормой. Металл принимает участие в клеточных обменных процессах. Избыток этого химического вещества приводит к тяжелым нарушениям работы внутренних органов у взрослых и к отставанию в развитии у детей. Чтобы предупредить развитие свинцовой интоксикации, необходимо раз в год проводить исследование крови.
https://youtube.com/watch?v=BxVSZ1Z9Ro0
Вопрос-ответ
Можно ли вылечить отравление свинцом?
При легком отравлении свинцом пострадавшему дают суксимер перорально. Более тяжелые отравления свинцом лечат в больнице инъекциями хелатирующих препаратов, таких как димеркапрол, суксимер и кальция эдетат двунатриевая соль.
Какой препарат выводит свинец из организма?
Обладая уникальными сорбционными характеристиками, ферроцин избирательно удаляет из различных сред тяжелые токсичные металлы (кадмий, свинец, ртуть, таллий и др. ) и опасные радионуклиды.
Какие болезни вызывают свинец?
Свинец вызывает долгосрочные нарушения у взрослых, включая повышенный риск высокого артериального давления, сердечно-сосудистых заболеваний и поражения почек. Экспозиция беременных к свинцу может негативно сказываться на развитии плода и приводить к преждевременным родам.
Как можно нейтрализовать свинец в организме?
Фильтрация активированным углем Фильтрация обратного осмоса Дистилляция Фильтрация Ионообменная фильтрация3 дня назад
Советы
СОВЕТ №1
Регулярно проверяйте уровень свинца в крови, особенно если вы живете в старом доме или работаете в условиях, связанных с риском отравления свинцом. Это поможет выявить проблему на ранней стадии и предотвратить серьезные последствия для здоровья.
СОВЕТ №2
Избегайте использования старых красок и сантехнических труб, содержащих свинец. Если вы делаете ремонт в старом здании, обязательно проводите анализ материалов и используйте безопасные альтернативы.
СОВЕТ №3
Обратите внимание на симптомы отравления свинцом, такие как головные боли, усталость, боли в животе и изменения в поведении. При их появлении немедленно обратитесь к врачу для диагностики и лечения.
СОВЕТ №4
Поддерживайте здоровый образ жизни, включая сбалансированное питание, богатое кальцием и железом, что может помочь снизить абсорбцию свинца в организме. Это особенно важно для детей и беременных женщин.





