В погоне за привлекательным внешним видом и стройным телом женщины порой забывают о цене, которую приходится платить за быстрое похудение. Кто-то истязает себя постоянными голодовками, а кто-то подсаживается на слабительные чаи или на достаточно вредные препараты. Но самым варварским способом, который помогает достичь быстрого результата ценой здоровья, можно считать искусственную рвоту. К сожалению, мало кто задумывается о его вреде. Если ни тренировки, ни диеты не помогают, то прежде чем обращаться к такому способу ради похудения, стоит знать, что будет, если часто вызывать рвоту после еды.
Избавиться от лишних килограммов – это цель номер один в жизни большинства женщин. Хоть это и странно, но спорт и правильное питание помогают в этом деле не всегда. Причиной полноты могут быть гормональные сбои, хоть об этом можно долго не догадываться. Да и не все могут себе позволить полноценный сбалансированный рацион, так как это прилично бьет по карману.
Как результат отчаяния и бесчисленных попыток сбросить вес в голове зарождается мысль: что если питаться, как и раньше, только после каждого приема пищи освобождать желудок? Тогда и аппетит разыграться не сможет, и лишние калории не поступят в организм, а то, насколько это вредно для здоровья, никого не заботит.
Чем грозит вызывание рвоты после еды
Как правило, прийти к тому, чтобы вызывать рвоту после еды, может только разочаровавшийся человек с навязчивой идеей похудеть. Эффективность этого способа на высоте, и избавится от веса получается очень быстро. Можно употреблять в пищу что угодно: мучное, сладкое и жирное – все равно эта пища не успеет усвоиться, если сразу после ее приема все возвращается механическим путем. Кроме того, организм отдает вместе с неусвоенным и накопленное, поэтому похудение и наступает так скоро. Так что, вызывая рвоту, женщина быстро теряет в весе. Но чем это грозит в будущем?
Вот какие могут быть последствия вызывания рвоты после еды:
- Как только наступает привыкание к постоянной рвоте, сфинктер, не позволяющий попадать съеденному обратно в пищевод, ослабевает. Как следствие этого, рвотные массы начинают выделяться неконтролируемо. Сразу после приема пищи, выдрессированный неделями издевательств желудок будет освобождаться от нее путем бессознательной рвоты. Дальше женщину ожидает анорексия и дистрофия. Истощение – это не совсем то, чего хочет женщина, пытаясь сбросить вес. Однако рвота приводит ее именно к такому состоянию. Органы и системы перестают нормально функционировать, а когда вес опускается ниже отметки в сорок килограмм, прекращается менструация.
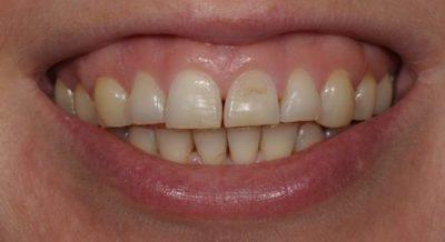
- В первую очередь этот способ наносит существенный вред зубной эмали. Под воздействием агрессивной соляной кислоты, постоянно выплескивающейся в ротовую полость с рвотными массами, зубы разрушаются практически молниеносно.
- Если вызывать рвоту после еды, есть риск заболеть такой опасной болезнью, как булимия. Это нервно-психическое расстройство, которое выражается в постоянном переедании, зацикленности на подсчете калорий и на показателях массы тела. Аппетит при этом растет неконтролируемо. Человек не считает себя больным и продолжает переедать, а после вызывать рвоту. Доводы родных и близких для него – пустой звук. В итоге организм полностью истощается, так как практически не получает должного питания, и больного ожидает госпитализация и острая сердечная недостаточность.
- Вялость, упадок сил, быстрая утомляемость – вот, что ожидает представительницу слабого пола, которая регулярно вызывает рвоту после еды, мечтая похудеть. Причины таких состояний очевидны. Женщина не получает никаких полезных веществ, так как до кишечника еда попросту не доходит. А здоровье ЖКТ – это залог крепкого иммунитета и источник жизненных сил. Последствия таких истязаний будут напоминать о себе всю оставшуюся жизнь, даже после полного выздоровления.
- Искусственная рвота приводит к дисфункции печени и почек. Желудок растягивается и уже не может переваривать пищу, а попросту избавляется от нее сразу же. При этом все органы, которые участвуют в процессе пищеварения, остаются незадействованными, и постепенно метаболизм и вовсе сходит на нет.
- Многие могли замечать, как от резкого похудения ухудшается внешний вид, даже если оно вызвано не этим методом, а, к примеру, перенесенным стрессом. Эластичность кожи ухудшается с возрастом, а после подобных экзекуций женщина вся покрывается морщинами. Лицо тускнеет, у него появляется сероватый цвет. Ногти и волосы начинают расслаиваться и ломаться, что говорит о нарушении баланса минеральных веществ.
- Желание расправиться с килограммами посредством рвоты приводит к одержимости. Больной уже не понимает, что является красивым, а что отпугивает. Навязчивая идея напрочь убивает понятие эстетичности. Остается лишь одно – непреодолимое стремление сбрасывать все больше и больше.
Вот что происходит с организмом и психикой женщины, если она все же решила вызывать рвоту после еды ради похудения.
Врачи единодушны в своем мнении о последствиях вызывания рвоты после еды с целью похудения. Это опасная практика, которая может привести к серьезным проблемам со здоровьем. Во-первых, регулярное провоцирование рвоты нарушает работу пищеварительной системы, что может вызвать гастрит, язвы и другие заболевания желудка. Во-вторых, такой подход к контролю веса может привести к развитию расстройств пищевого поведения, таких как булимия, что требует длительного и сложного лечения. Кроме того, рвота способствует потере необходимых организму питательных веществ, что может вызвать авитаминоз и ослабление иммунной системы. Врачи настоятельно рекомендуют искать более здоровые и безопасные методы похудения, основанные на правильном питании и физической активности.
https://youtube.com/watch?v=Gs8mA4AJL0A
Рвота сразу после еды при дискомфорте в ЖКТ
Те, кто все же осмелился стать на этот путь похудения, часто интересуются: через сколько после еды можно вызывать рвоту? Усвоение пищи начинается уже в ротовой полости, поэтому, если уж опустошать желудок, то надо дать организму вытянуть из нее хоть немного питательных веществ, чтобы не отощать на глазах. Так или иначе, если рвота после еды вошла в привычку, без помощи квалифицированных психолога и гастроэнтеролога не обойтись.
Бывают случаи, когда после еды донимает тошнота. Если это не отравление, чаще всего такой симптом преследует тех, у кого имеются проблемы с пищеварительной системой и беременных женщин. Разовая рвота не грозит организму какими-то страшными последствиями. Наоборот, если человек чувствует, что ему полегчает после того, как пища выйдет, а дискомфорт отступит, лучше опустошить желудок.
Удивительно, но беременная женщина после рвоты чувствует себя как ни в чем не бывало. Это происходит, потому что дискомфорт несвязан с какими-либо патогенными процессами в ЖКТ. Поэтому, если после еды появляется дискомфорт, лучше вырвать сразу.
Многие люди, стремящиеся к быстрой потере веса, прибегают к крайним мерам, таким как вызов рвоты после еды. Однако мнения о таких методах крайне негативные. Специалисты в области медицины и психологии предупреждают о серьезных последствиях для здоровья. Частое вызывание рвоты может привести к обезвоживанию, нарушению электролитного баланса и проблемам с пищеварением. Кроме того, это может вызвать развитие расстройств пищевого поведения, таких как булимия, что требует длительного лечения и психологической поддержки. Люди, которые пробовали этот метод, часто сообщают о чувстве вины и стыда, что усугубляет их эмоциональное состояние. Важно помнить, что здоровое похудение возможно только через сбалансированное питание и физическую активность, а не через опасные и разрушительные практики.
Что происходит в организме
Какие процессы происходят в организме, если вызывать рвоту после каждого приема пищи? Когда еда уже поступила в желудок, запускается процесс выработки ферментов, необходимых для ее переваривания. Если же сразу опустошить желудок происходит следующее:
- соляная кислота, способствующая переработке пищи в желудке, выплескивается в пищевод, что приводит к ожогу слизистых. При постоянном ее воздействии, на стенках гортани и пищевода может образоваться раковая опухоль, не говоря уже о том, что придется попрощаться с красивыми зубами, как уже говорилось ранее;
- пища уже покинула организм, а ферменты и желудочный сок, которые помогают ее перевариванию, продолжают выделяться. Желудок и верхние отделы кишечника при этом подвергаются регулярной обработке кислотами, которые предназначены для усвоения продуктов питания. Это приводит к образованию эрозий и язв, а также злокачественных новообразований;
- поджелудочная железа, не имея сырья для обработки, начинает выплескивать излишки инсулина и гормональный баланс нарушается.
Стремясь разделаться с лишним весом, главное не запутаться и не учинить расправу над собственным здоровьем. Ни один диетолог или гастроэнтеролог не посоветует такой способ борьбы с лишним весом, как вызывание рвоты после еды. Коррекция рациона и режима дня, а также физические нагрузки способны творить чудеса. К тому же это здоровые методы похудения, которые сохранят здоровье и привлекательность на долгие годы.
https://youtube.com/watch?v=xq_kaTOC9-c
Вопрос-ответ
Чем опасна рвота после еды?
В большинстве случаев тошнота и рвота не представляют опасности для организма. Однако продолжительная рвота, чаще в сочетании с поносом, может привести к серьезному обезвоживанию и, как следствие, к нарушению работы сердечно-сосудистой системы, головного мозга, почек и других органов.
https://youtube.com/watch?v=bvIcckboJqQ
Сколько калорий усваивается после рвоты?
ФАКТ: Исследования показали, что рвота не может избавиться от всех потребленных калорий, даже если она вызвана сразу после еды. Рвота может удалить только около половины съеденных калорий – это означает, что, реалистично, от половины до двух третей съеденного усваивается организмом .
Что будет с организмом после рвоты?
В рвотных массах помимо остатков пищи, желудочного сока и слизи может присутствовать желчь, кровь, гной. Многократная, периодически повторяющаяся и неукротимая рвота изнуряет и обезвоживает организм, приводит к нарушению минерального обмена и кислотно-щелочного равновесия.
Чем опасна булимия?
Осложнения булимии Постепенно у больного развиваются обезвоживание, почечная недостаточность и водно-электролитный дисбаланс. Другим последствием булимии является разрыв внутренних органов – на фоне переедания могут разорваться пищевод или желудок.
Советы
СОВЕТ №1
Избегайте вызывания рвоты как способа контроля веса. Это может привести к серьезным проблемам со здоровьем, таким как анорексия или булимия. Вместо этого сосредоточьтесь на здоровом питании и физической активности.
СОВЕТ №2
Обратитесь за поддержкой к специалистам, если у вас возникают мысли о вызывании рвоты или других опасных методах похудения. Психологи и диетологи могут помочь разработать безопасные и эффективные стратегии для достижения ваших целей.
СОВЕТ №3
Слушайте свое тело и научитесь распознавать сигналы голода и насыщения. Это поможет вам избежать переедания и улучшить ваше общее самочувствие, не прибегая к крайним мерам.
СОВЕТ №4
Ищите альтернативные способы управления весом, такие как ведение дневника питания, занятия спортом или медитация. Эти методы могут помочь вам достичь желаемых результатов без вреда для здоровья.




