Киста Бейкера – это доброкачественное новообразование, которое локализуется под коленной ямкой и выглядит как капсула, наполненная жидкостью. Ее также именуют «подколенной» или «коленной» кистой. Патология была названа в честь врача, который ее открыл, еще в девятнадцатом веке.
Размеры опухоли в поперечнике составляют от нескольких миллиметров до нескольких сантиметров (в среднем три сантиметра). В исключительных случаях она развивается в двух коленных суставах. Чаще всего заболевание диагностируется у малышей от четырех до семи лет и у взрослых людей от тридцати пяти до семидесяти лет.
Причины и симптомы заболевания
Киста Бейкера у детей появляется вследствие различных неблагоприятных факторов. Причины этого явления окончательно не установлены. В большинстве случаев врачи не могут объяснить родителям, почему у их ребенка возникло новообразование в коленном суставе.
Считается, что недуг развивается под воздействием следующих факторов:
- повреждения коленного сустава, спровоцировавшего сильный отек тканей колена;
- разрыва мениска;
- инфекционного поражения коленного сустава;
- ревматоидного артрита.
Киста Бейкера у маленького ребенка в течение длительного времени может протекать без выраженной клинической картины. Родители, не владеющие специальными знаниями, не способны заметить, что у их малыша возникло неприятное заболевание.
Однако специалисты могут перечислить отклонения, косвенно указывающие на новообразование:
- изменение состояния тканей в ямке, находящейся под коленом (например, повышение их плотности, образование небольшой выпуклости);
- острый болевой синдром в месте локализации доброкачественной опухоли;
- недостаточная подвижность коленного сустава;
- иногда – трудности с разгибанием ноги;
- ощущение боли тянущего характера при выпрямлении нижней конечности.
Врачи отмечают, что киста Бейкера у детей часто проявляется в виде отека в области коленного сустава, который может сопровождаться болевыми ощущениями и ограничением подвижности. Основные симптомы включают припухлость, особенно при активных движениях, а также дискомфорт при сгибании и разгибании ноги. Важно, чтобы родители не игнорировали эти признаки и своевременно обращались за медицинской помощью.
Лечение кисты Бейкера, по мнению специалистов, зависит от причины её возникновения. В большинстве случаев рекомендуется консервативный подход, включающий физиотерапию и противовоспалительные препараты. Врач может также предложить специальные упражнения для укрепления мышц вокруг коленного сустава. В редких случаях, когда киста вызывает значительный дискомфорт или не поддается консервативному лечению, может потребоваться хирургическое вмешательство. Важно, чтобы лечение проводилось под контролем квалифицированного специалиста, чтобы избежать возможных осложнений.

Диагностика и профилактика кисты Бейкера
С целью выявления опухоли врач выполняет следующие действия:
- проводит осмотр пациента и собирает анамнез заболевания;
- направляет больного на рентген, чтобы исключить артрит;
- проводит исследование пораженного места с помощью трансиллюминации (этот метод предполагает использование источника искусственного света и позволяет определить размеры новообразования);
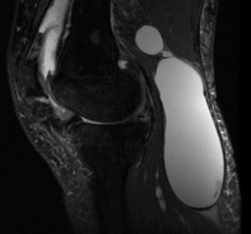
- назначает малышу МРТ, а также УЗИ.
Многие пациенты, страдающие от указанного заболевания, не наблюдаются у специалиста, поскольку в большинстве случаев оно протекает без каких-либо признаков. Однако постепенно возникают следующие осложнения:
- по мере роста опухоли – болевой синдром в месте его локализации, а также ограничение подвижности пораженного сустава;
- в случае диссекции (смещения новообразования ближе к икроножной мышце) – усиление клинической картины патологии;
- при разрыве кисты и нарушении целостности ее стенок, проникновение жидкости в ткани подколенных мышц, и, как следствие, отекание пораженной нижней конечности.
Лечение заболевания
Если ребенок сообщил о том, что его беспокоит боль в области колена, то родители должны обеспечить пораженному участку неподвижность, приложить к больному месту холодный компресс и как можно скорее вызвать врача на дом или отправиться с малышом в стационар.
Терапия опухоли заключается в первую очередь в устранении заболевания, спровоцировавшего ее развитие. В течение всего периода недуга маленькому пациенту необходимо обязательно заниматься лечебной физкультурой, чтобы сустав не потерял свою подвижность.
Иногда применяются гормональные уколы. Чтобы полностью убрать из кистозной полости жидкость, используется метод дренирования, при котором осуществляется прокол пораженной области специальной иглой, через которую ликвидируется содержимое новообразования.
Важно обеспечить пораженной конечности покой, а также на время отказаться от занятий физкультурой. Необходимо проводить процедуры, рекомендованные специалистом. Местно можно использовать нестероидные противовоспалительные средства (Индометацин, Ибупрофен, Диклофенак).
Физиотерапевтическое лечение заключается в применении магнитов, парафина (озокерита) и других методов. Оно дает неплохие результаты и считается достаточно безопасным для ребенка. Важным условием эффективности проводимой терапии является ее регулярность.
В некоторых случаях пациенту может потребоваться операция. Это необходимо, чтобы удалить не только содержимое опухоли, но и ее стенки. Однако торопиться с применением этого метода не стоит, поскольку неоправданная спешка может привести к повторному образованию кисты.
Для лечения новообразования можно делать компрессы из золотого уса, лопуха и чистотела, а также принимать специально приготовленные настои и отвары внутрь. Народные средства помогут справиться с маленькой опухолью. Если она довольно большая и болезненная, то без хирургического вмешательства не обойтись.
Киста Бейкера, или поплитеальная киста, у детей часто вызывает беспокойство у родителей. Многие замечают, что у ребенка появилась припухлость за коленом, что может сопровождаться болевыми ощущениями или ограничением подвижности. Важно понимать, что киста может быть следствием травмы, воспаления или заболеваний суставов, таких как артрит. Родители делятся опытом, что при первых симптомах стоит обратиться к врачу для диагностики. Лечение может варьироваться от наблюдения за состоянием до физиотерапии и, в редких случаях, хирургического вмешательства. Многие отмечают, что своевременное обращение к специалисту помогает избежать осложнений и способствует быстрому выздоровлению.

Народные средства против кисты Бейкера
- Компресс с настойкой золотого уса. Чтобы приготовить это средство, необходимо заполнить растением 1/3 части литровой банки, а оставшееся пространство – залить водой. После чего емкость нужно накрыть крышкой и настаивать в затемненном месте в течение трех недель. Кашицу, изготовленную по данному рецепту, следует прикладывать к пораженному участку на ночь, зафиксировав бинтом.
- Аппликации из листьев малины и бузины. Для приготовления состава необходимо смешать растительные компоненты, взятые в равных количествах, залить их 100 мл кипятка, а затем оставить настаиваться на тридцать минут. Клеенчатую ткань с небольшим количеством кашицы нужно приложить к пораженной области примерно на два часа. Процедуру следует выполнять до тех пор, пока киста не исчезнет.
- Травяной настой. Чтобы его сделать, необходимо смешать березовые почки, листья крапивы, мяты, подорожника, горца, взятые в одинаковых пропорциях, а затем 20 г. готового сбора заварить 300 мл кипятка и оставить настаиваться в течение часа. Рекомендуется принимать по 100 мл средства трижды в день. Это поможет быстрее справиться с патологией.
Профилактика заболевания
К коленному суставу нужно относиться осторожно, поскольку это довольно уязвимая часть тела, на состоянии которой могут сказаться как чрезмерные физические нагрузки, так и различные травмы. Чтобы предупредить развитие кисты Бейкера, необходимо придерживаться следующих правил:
- перед тем как приступать к спортивной тренировке, готовить мышечный аппарат к упражнениям, то есть выполнять специальную разминку;
- во время активных занятий спортом находиться в удобной обуви, предназначенной для этих целей;
- разворот ноги совершать путем поворота стопы (в случаях, когда это действие осуществляется при помощи коленного сустава, можно нанести вред последнему);
- на завершающем этапе спортивного занятия выполнять упражнения, предназначенные для аккуратного растяжения мышц.
Киста Бейкера у малышей по своим проявлениям напоминает признаки некоторых других патологий, поэтому при обнаружении первых подозрительных симптомов необходимо как можно скорее показать ребенка врачу.

Вопрос-ответ
Как лечат кисту Бейкера у детей
Лечение кисты Бейкера. Нестероидные противовоспалительные препараты (НПВП) являются основным методом лечения симптоматических кист Бейкера. Для удаления жидкости и облегчения боли и отека может проводиться аспирация содержимого сустава. Для лечения воспаления иногда используют артроцентез и инъекции кортикостероидов.
Могут ли дети заболеть кистой Бейкера
Что вызывает подколенную кисту? У детей киста Бейкера обычно встречается в возрасте от 4 до 7 лет. Эти кисты могут образовываться в здоровых коленях и, как правило, не беспокоят ребенка и не ограничивают его активность.
Какие симптомы при кисте Бейкера?
Возникает специфический хруст или даже щелчки при любых движениях ногами. В районе подколенной артерии возникает отечное состояние. В подколенном пространстве возникают болевые ощущения. При интенсивном движении боль усиливается. Амплитуда движений становится более ограниченной.
Что нельзя делать при кисте Бейкера?
Если у пациента в анамнезе была киста, не стоит заниматься силовыми видами спорта. Бег замените на ходьбу, запишитесь на йогу, пилатес, стретчинг. Отлично укрепляет подколенные сухожилия ходьба назад. Избегайте длительных походов, при необходимости пользуйтесь тростью.
Советы
СОВЕТ №1
Регулярно наблюдайте за состоянием суставов вашего ребенка. Если вы заметили отек или болезненность в области колена, обратитесь к врачу для диагностики и своевременного лечения.
СОВЕТ №2
Обратите внимание на физическую активность вашего ребенка. Избегайте чрезмерных нагрузок на коленные суставы, особенно если у ребенка уже есть предрасположенность к проблемам с суставами.
СОВЕТ №3
При наличии кисты Бейкера следуйте рекомендациям врача по лечению. Это может включать физиотерапию, медикаментозное лечение или, в некоторых случаях, хирургическое вмешательство. Не пренебрегайте назначениями специалиста.
СОВЕТ №4
Обсуждайте с врачом возможные изменения в диете вашего ребенка, которые могут помочь снизить воспаление и улучшить общее состояние суставов. Употребление продуктов, богатых омега-3 жирными кислотами, может быть полезным.




