Трихомониаз это болезнь паразитарной этиологии, о котором знали еще с древней поры. Инфицируется заболевание посредством половых контактов и становится причиной воспалительного явления слизистой оболочки мочеполовой сферы у представителей обоих полов.
Первопричиной болезни является особенный вид микроорганизмов, которых в науке называют простейшими. В среде обитания человека, существует множество видов подобных простейших. Какие-то из них живут в водной среде, почве, другие в виде паразитов в теле человека и организмах животных.
Кто такие трихомонады
Простейшие одноклеточные живые организмы, различаются от остальных одноклеточных микроорганизмов способностью к перемещению, посредством жгутиков и автономной жизни вне зараженного организма.
По структуре простейшие описываются как обычные клетки, собрание которых организует целостный организм.
Еще особенностью является то, что простейшие, невзирая на несложность собственного организма, способны обеспечивать автономную жизнедеятельность как независимый и целостный организм.
Наименование трихомониаз, обусловлено микроорганизмами, которых называют трихомонадами. В живом организме они способны стать причиной для особенных патологических процессов в местных масштабах.
Трихомонады, разместившиеся в человеческом организме, подразделяются на три вида:
- Trcihomonas elongatа осуществляет свою жизнедеятельность во рту человека;
- Trichomonas hominis осуществляет свою жизнедеятельность в ЖКТ человека, используя в качестве пищи разные виды бактерий, и красные кровяные тельца(клетки крови);
- Trichomonas vaginalis осуществляют свою жизнедеятельность в нижней мочеполовой сфере:
- Мочеиспускательный канал;
- Женские половые органы;
- Мужские половые органы.
Трихомониаз, вызванный паразитом трихомонадой, является одной из наиболее распространенных инфекций, передающихся половым путем. Врачи подчеркивают, что распознать это заболевание можно по таким симптомам, как зуд, жжение, выделения из влагалища и болезненные ощущения при мочеиспускании. Однако у многих женщин инфекция может протекать бессимптомно, что делает регулярные обследования особенно важными.
Для диагностики трихомониаза врачи рекомендуют проводить анализы на наличие трихомонад, а также учитывать результаты других тестов на инфекции, передающиеся половым путем. Лечение обычно включает прием антибиотиков, таких как метронидазол или тинидазол, которые эффективно уничтожают паразитов. Важно, чтобы оба партнера прошли лечение, чтобы избежать повторного заражения. Врачи настоятельно советуют не заниматься самолечением и обращаться за медицинской помощью при первых признаках заболевания.
Описание трихомониаза
Возбудители инфекции трихомонады trichomonas vaginalis обладают специальными жгутиками, которые помогают им активно передвигаться, при размножении микроорганизмов происходит путем продольного деления.
Размер трихомонад может составлять от 12 до 18 мкм, при этом для жизнедеятельности им совсем не нужен кислород.
Половая система человека вовсе не единственно возможное место существования трихомонад они могут внедряться в кровеносную систему через лимфатические узлы.
Трихомониаз у мужчин инфицируют прежде всего уретру, простату, яички вместе с придатками, семенные пузырьки. Хотя обычно инфекция не вызывает у мужчин особого дискомфорта и появления каких-либо ярко выраженных симптомов.
У женщин прежде всего трихомониаз инфицирует влагалище (влагалищная трихомонада) и мочеиспускательный канал.
Трихомониаз у женщин у представительниц слабого пола выявляется чаще по одной простой причине женщины посещают медучреждения более часто в профилактических целях, что позволяет выявить заболевание еще на ранней стадии.
В основном женщины в возрасте от 18 до 40 лет более всего подвержены трихомонозу.
Возбудителей инфекции можно уничтожить при высушивании, а также при прогреве свыше 45 градусов, воздействии УФ-лучей.
Описание паразита
Трихомонады относятся к типу простейших и семейству жгутиковых. Эти одноклеточные организмы имеют тело грушевидной конфигурации с ядром и четырьмя свободными жгутиками, которые способствуют их активному передвижению. В отличие от иных одноклеточных организмов, трихомонады благополучно передвигаются и могут существовать вне организма носителя.
Трихомонада всеядна и беспола. Для её активного размножения достаточно попасть в оптимальные условия температура окружающей среды в 3537 C и отсутствие кислорода. Эти особенности простейших способствуют их благополучной жизнедеятельности в природе. В человеческом организме паразитируют лишь 3 вида этих простейших.
Трихомониаз — это инфекция, вызываемая простейшим организмом трихомонадами, и она может вызывать серьезные проблемы у женщин. Многие женщины отмечают, что симптомы заболевания могут быть неявными или вовсе отсутствовать на ранних стадиях. Однако, если инфекция проявляется, это может быть зуд, жжение, выделения с неприятным запахом и дискомфорт при мочеиспускании. Важно не игнорировать эти симптомы и обратиться к врачу для диагностики.
Для диагностики трихомониаза обычно проводят анализы на наличие трихомонад. Лечение включает назначение антибиотиков, таких как метронидазол или тинидазол, которые эффективно справляются с инфекцией. Также важно, чтобы партнеры проходили лечение одновременно, чтобы избежать повторного заражения. Регулярные медицинские осмотры и соблюдение правил личной гигиены помогут снизить риск возникновения трихомониаза и других инфекций.
Кишечная трихомонада (Trihomonas hominis)
Одноклеточное имеет грушевидное тело с 820 мкм в длину. В передней части располагаются 5 жгутиков. С одного бока тело трихомонады покрыто волнообразной перепонкой (ундулирующей мембраной), которая является своеобразным органоидом для перемещения паразита. Отличительная черта этого вида беспорядочность и активность в движении.
Местом паразитирования является толстый кишечник. При жидких испражнениях наличие микроорганизма можно обнаружит в стуле. Кишечная трихомонада не агрессивна, но, если у носителя ослабленный иммунитет, одноклеточные способны спровоцировать кишечные заболевания с серьёзным течением.
Ротовая трихомонада (Trihomonas tenax)
Места обитания десневые карманы. Строение и форма ротовой трихомонады схоже с кишечным одноклеточным. Отличие меньший размер тела и короче ундулирующая мембрана. Этот микроорганизм часто обнаруживается у пациентов стоматологических клиник с явными заболеваниями ротовой полости: при гингивите, пародонтозе и кариесе. У людей со здоровыми зубами и при полной адентии (отсутствие зубных единиц) наличие трихомонад встречается редко.
В сравнении с остальными видами трихомонад ротовая относится к наиболее слабым и менее угрожающим, но в человеческом организме встречается чаще остальных.
Влагалищная трихомонада (Trihomonas vaginalis)
Этот вид одноклеточных отличается большими размерами (до 30 мкм), агрессивностью и способность маскироваться. Попадая в организм человека, одноклеточное имитирует плоский слой эпителия, что помогает защититься от агрессивных воздействий иммунной системы.
Угроза инфицирования состоит и в том, что влагалищная трихомонада хорошо взаимодействует с иными инфекционными урогенитальными бактериями, которые проникают внутрь одноклеточного и таким образом получают защиту от воздействия иммунной системы и лекарственных препаратов, провоцируя различные патологические процессы (особенно в женском организме). Это могут быть микроорганизмы: хламидия, кандида, гонококки, цитомегаловирус и вирусы герпеса. Кроме защиты, бактерии получают и хорошие транспортные услуги. Подвижность трихомонады обеспечивает им быстрое передвижение по всем отделам мочеполовой системы.
Закрепляясь в клетках слизистой мочеполового тракта, трихомонады провоцируют воспалительный процесс. Продукты их жизнедеятельности начинают постепенно отравлять организм и заглушать защитные функции. Постепенно одноклеточные перемещаются в половые органы и кровяное русло. Хорошо маскируются под лимфоциты и тромбоциты, что делает затруднительным процедуру диагностики.
Все виды трихомонад имеют небелковую оболочку. Это даёт им возможность защититься от воздействия антибиотиков. Разрушить её можно только при помощи специальных противопротозойных препаратов.
Сведения о возбудителе
Влагалищная трихомонада имеет грушевидную форму. На переднем конце возбудителя находится несколько свободных жгутиков, с помощью которых она передвигается.
К особенностям заражения у женщин относится то, что трихомонада не размножается во влагалище при нормальном (4-5,5) и щелочном (>7) pH, который характерен для периода до и после менструаций. Также не подходящим для развития бактерий является влагалище девочек и пожилых женщин.
Благоприятные условия для трихомонады это безкислородная среда с pH 5,9-6,5 и температурой 35-37 градусов Цельсия.
Пути заражения у женщин
У женщин путь передачи всегда половой. Вероятность заражения при контакте с больным партнером очень высока.
Внеполовое заражение встречается крайне редко, потому как трихомонады существуют во внешней среде крайне непродолжительное время.
Описаны только единичные случаи у девочек (через грязное белье, предметы гигиены, медицинские инструменты).
Возможно также инфицирование ребенка от больной матери во время рождения (вертикальный путь).
Ректальные и орогенитальные способы к инфицированию не приводят, потому что влагалищные трихомонады не выживают в полости рта и прямой кишке.
Как проявляется болезнь
Инкубационный период при трихомониазе составляет 7-14 дней. У женщин преобладает трихомонадный кольпит (поражение слизистой оболочки влагалища).
Самые первые признаки поражения:
- зуд в области половых органов;
- жжение во влагалище;
- болевые ощущения внизу живота;
- резь при мочеиспускании.
Симптомы могут распространяться и на промежность, половые губы, прилегающие части бедра. В некоторых случаях зуд настолько сильный, что женщина не может нормально спать и работать. Потому присоединяется раздражительность, нервозность и другие депрессивные проявления.
Следующий диагностический признак выделения из влагалища. Они пенистые, серо-желтого цвета, имеют резкий неприятный запах.
Фото. Проявление симптомов трихомониаза у женщин:
Виды трихомонадного кольпита у женщин:
- простой стенки влагалища красные, отечные. Выделения молочного цвета, пенистые (потому что трихомонады выделяют углекислый газ), вязкие;
- гранулезный стенки покрыты зернистым налетом. Точки красного цвета, при надавливании их окраска бледнеет. Если болезнь существуют длительно, воспаленные точки могут превратиться в сосочки, из которых затем образуются остроконечные кондиломы;
- макулезный стенки влагалища и шейки матки покрываются пятнами. Они состоят из расширенных капилляров, которые легко рвутся при надавливании и кровоточат. При затяжном течении появляются кондиломы в виде язычков;
- хронический кольпит основной признак воспалительного процесса бели после месячных и разъедающие выделения из влагалища. Хронизация трихомониаза возможна при неправильном лечении острого процесса. Тогда повторная терапия может затянуться на целый год.
Трихомонадный уретрит у женщин встречается редко. Он не имеет каких-либо особенностей и протекает со стандартными симптомами (зуд, жжение при мочеиспускании). Интенсивность неприятных ощущений зависит от степени воспаления.
Виды
Трихомонады в мазке у женщин свидетельствуют о состоявшемся инфицировании. Трихомониаз относится к инфекционным болезням. Патогеном является влагалищная трихомонада, представляющая собой микроскопический организм, состоящий из одной клетки. Она активно перемещается и проникает в межклеточное пространство за счёт мембраны, сокращающейся волнообразно, а также специальных жгутиков.
Она представляет собой анаэробный микроорганизм (живущий без кислорода), что значительно ограничивает её распространение. Она крайне неустойчива во внешних условиях, поэтому вероятность передачи заболевания через предметы индивидуальной гигиены очень мала. Основным путем заражения считается половой контакт.
У женщин патоген обычно обнаруживается:
Длительность периода инкубации составляет от 1 до 10 дней. Первые симптомы появляются в промежутке от 4 до 28 дней от момента инфицирования. Иногда какие-либо проявления могут отсутствовать.
Острый
В остром периоде симптоматика наиболее выражена.
Болезнь проявляется:
Всё это зачастую сопровождается нестерпимым зудом, болью при мочеиспускании и неприятными ощущениями во время полового акта.
Бессимптомное носительство
В половине случаев симптомов трихомониаза у женщин может не быть либо они слабо выражены. Диагноз часто выставляется уже, когда имеются осложнения.
Трихомонады в мазке у женщин есть, но клинические проявления отсутствуют в случаях трихомонадоносительства. Такие случаи представляют серьёзную опасность в эпидемиологическом отношении, потому что являются не выявленными источниками распространения инфекции.
Хронический
Без должной, своевременной терапии заболевание приобретает хроническое течение. Симптомы в этом случае становятся менее выраженными. Хронический трихомониаз обычно представляет собой смешанный процесс.
Поэтому в анализах помимо трихомонад присутствуют:
- хламидии;
- грибы;
- гонококки;
- микоплазмы;
- гарднереллы;
- уреаплазмы.
Хроническим считается заболевание, если от момента инфицирования прошло более 2 месяцев.
Симптомы трихомониаза у женщин
Трихомонада у женщин может вызывать появление ярко выраженных симптомов (см фото выше), но в основном первые проявления наличия трихомонад могут появиться уже спустя 3 дня после инфицирования воздействие микроорганизма пагубно сказывается на состоянии шейки матки, влагалища и мочеиспускательного канала.
При заражении, трихомоноз у женщин проявляется следующими признаками:
- обильные выделения, которые имеют неприятный запах, зеленый или желтый цвет;
- во время секса могут появляться болезненные ощущения;
- при мочеиспускании может наблюдаться жжение и боль, могут появляться частые позывы к опорожнению мочевого пузыря;
- на вульве образуются отеки, появляется зуд и жжение внизу живота;
- у некоторых пациенток наблюдаются боли в разных частях живота;
- на поверхности кожи в промежности могут быть обнаружены небольшие язвы и ссадины, не исключено появление дерматита;
- при медосмотре гинеколог может обнаружить отечность слизистой влагалища, которая к тому же покрыта сильной пеной, а также небольшие кровоизлияния из капилляров.
При наступлении менструации первые признаки влагалищной трихомонады начинают усиливаться, и если в это время не провести необходимое лечение, то заболевание перетекает в хроническую форму зачастую это происходит спустя 7-8 недель после заражения.
Трихомониаз у женщин в запущенной форме также не имеет ярко выраженных симптомов, однако у некоторых женщин может наблюдаться дизурия (выделения мочи).
Симптомы у мужчин
Трихомониаз у мужчин может не иметь очевидных симптомов, однако в ряде случаев наблюдаются следующие признаки:
- при мочеиспускании появляется жжение и резь, иногда наблюдаются небольшие боли;
- появление частых позывов помочиться, что особенно заметно по утрам;
- нередко из мочеиспускательного канала выделяется небольшое количество слизи;
- зачастую после секса у мужчины появляется зуд и жжение;
- у некоторых мужчин может воспаляться серединный шов полового члена, а также появляться эрозия слизистой головки пениса (см. фото выше).
Даже при появлении симптомов, которые указывают на наличие инфекции, при трихомониазе у мужчин они крайне редко обращаются за помощью к врачам, что в некоторых случаях приводит к следующим осложнениям: сужение уретры, поражение почек и мочевого пузыря, появление простатита.
Мужской организм очень восприимчив к заражению патогенными микроорганизмами, однако симптомы заболевания практически не заметны.
Трихомониаз у беременных женщин
Многие специалисты не считают трихомониаз серьезной и опасной инфекцией, которая может негативно сказаться на состоянии плода, однако наличие трихомонад во время вынашивания ребенка является довольно нежелательным.
Трихомонады не способны попасть в плод через плаценту, однако в процессе родов плод может пройти рядом с зараженными родовыми путями, что увеличивает риск заражения ребенка трихомонадами.
Кроме этого, трихомониаз может привести к преждевременным родам, что также уменьшает возможность благополучного протекания беременности.
Врач может назначить лечение, но не ранее 2-го триместра беременности.
Пути заражения женщин влагалищной трихомонадой
Трихомоноз считается венерическим заболеванием. Обусловливается это тем, что заражение трихомонадой в основном осуществляется при половом контакте с инфицированным партнёром. Инфицирование происходит при любом виде полового контакта. Это может быть оральный, анальный или генитальный секс. Вероятность инфицирования паразитами не исключается и при контакте половых органов с пальцами инфицированного партнёра. Но самый большой процент заражения всё-таки припадает на секс классического вида.
Трихомонада у женщин проявляется более сильными симптомами. У инфицированного мужчины симптомы могут отсутствовать, поэтому сильный пол часто не подозревает о наличии проблемы и ведёт себя беспечно, увеличивая риск заражения для женщины.
Заразится женщина влагалищной трихомонадой может и в бытовых условиях.
- через ободок унитаза;
- общественные места в виде бассейнов и душей;
- использование общих полотенец, мочалок и средств гигиены;
- примерка чужой одежды (особенно нижнее бельё);
Риск заражения в быту в основном зависит от условий, в которые попадёт трихомонада. Дело в том, что одноклеточное попав в окружающую среду способно прожить сутки лишь при повышенной влажности и температуре не выше 40 C. Прямые солнечные лучи и сухость способны убить микроорганизм за 1020 мин., например, использование чужого влажного полотенца повышают риск инфицирования.
После попадания трихомонады в организм женщины, ей дополнительно требуются определённые условия, которые поспособствуют стремительному размножению.
Факторы, способствующие развитию трихомониаза
В здоровой микрофлоре влагалища присутствуют палочки Дедерлейна молочнокислые бактерии. Их жизнедеятельность способствует подкислению окружающей среды. Для здоровья женщины этот процесс приносит пользу. В такой подкисленной среде различные паразиты и болезнетворные бактерии неспособны размножаться и распространятся. Понижаться кислотность среды влагалища может в следующих случаях:
- пренебрежение стандартными правилами гигиены:
- частые беспорядочные половые связи женщины:
- период менструального цикла:
- период беременности.
Эти факторы способствуют снижению защитных сил и формируют благоприятные условия для развития патогенных агентов, к которым относится и влагалищная трихомонада.
После попадания на слизистую влагалища трихомонады начинают выделять вещества, позволяющие им прочно зафиксироваться на её стенках, а также ферменты, способствующие расщеплению клеток слизистой. Всё это провоцирует воспалительные процессы, которые сопровождаются соответствующими симптомами.
Симптомы вагинального трихомоноза у женщин
После попадания в организм трихомонады, у женщин симптомы могут проявиться спустя пару дней и даже месяцев. Всё будет зависеть от состояния иммунитета и наличия иных инфекционных заболеваний.
Проявляется трихомониаз в форме вульвовагинита, уретрита, цервицита и бартолинита. Симптоматика может быть слабовыраженная или иметь острый характер. При остром течении заболевания отмечаются следующие симптомы;
- зловонные выделения зелёного или жёлтого цвета с пенистой консистенцией;
- раздражение слизистой, сопровождаемое жжением или зудом;
- при повреждении слизистой образовываются язвочки и эрозии;
- дискомфорт при мочеиспускании;
- дискомфорт при половом акте;
- болевой синдром внизу живота.
Количество выделений и проявление иных характерных признаков будет зависеть от стадии воспалительного процесса. Например, при начальной стадии симптомы сильно выражены. Хроническая форма трихомониаза сопровождается смытой симптоматикой и незначительными выделениями. Обострение происходит за пару дней до начала менструального цикла, а после стихает.
Первая форма трихомониаза длится около 2-х месяцев. Затем симптоматика становится слабовыраженной, но это не говорит об излечении. Заболевание приобретает хроническую форму, которая без определённого лечения годами способна себя практически не проявлять.
Последствия при игнорировании проблемы
В случаях игнорирования проблемы с присутствием трихомонады в организме, последствия могут быть самыми разнообразными: истощение организма, бесплодие, рак и т. д. Обусловливается это тем, что при попадании трихомонады в организм она приносит с собой иные патогенные бактерии, которые могли находить у инфицированного человека. Поглощая их в себя и защищая, трихомонада благополучно транспортирует их в организм нового носителя. Даже если инфицированный человек предварительно проходил курс лечения от инфекции, погибли лишь бактерии, находящиеся в тканях. Поглощённые сохранили свою жизнедеятельность и перенеслись новому носителю.
Трихомонада это живой организм, который способен поглощать питательные вещества, лейкоциты и эритроциты, а это сильно подрывает иммунную систему человека. Кроме этого, продукты жизнедеятельности микроорганизмов провоцируют интоксикацию всего организма. В итоге у пациента при запущенных случаях наблюдается: истощение, кислородное голодание, малокровие, ослабевает зрение и разрушаются кроветворные ткани.
Для женщины вышеописанные осложнения дополняются новым списком:
- формируется эндометрит воспалительные заболевания матки;
- сальпингит воспаление в маточных трубах;
- воспаляются яичники, образовывая спайки;
- пиелонефрит;
- цистит;
- тяжёлая беременность с осложнениями и самопроизвольными выкидышами;
- послеродовые осложнения;
- вынашивание ребёнка может закончиться его неполноценностью в развитии;
- бесплодие.
Избежать таких последствий поможет своевременная диагностика и полный курс лечения.
Течение болезни и причины
Болезнь может протекать остро, подостро, хронически или бессимптомно.
Острой считается стадия, следующая непосредственно за заражением. Воспалительный процесс протекает достаточно интенсивно с ярко выраженными проявлениями. В мазках присутствует много трихомонад, лейкоцитов, но мало эпителиальных клеток, отсутствуют молочнокислые палочки.
При подостром течении симптоматика стихает, становится незначительной, снижается количество выделений.
Заболевание приобретает хроническое течение при отсутствии адекватной терапии через 2 мес. после заражения. Для хронической формы часто характерно волнообразное течение: симптомы то стихают, то вновь усиливаются. Женщины отмечают появление белей и неприятных ощущений перед или сразу после менструальных кровотечений.
При хроническом трихомониазе в мазках количество трихомонад может то повышаться, то снижаться, эпителиальные клетки присутствуют в большом количестве, а лейкоциты наоборот, молочнокислые палочки не обнаруживаются.
Трихомонады в мазке у женщин обнаруживаются в небольшом количестве, а эпителиальные клетки и молочнокислые палочки не выявляются вовсе, в случаях бессимптомного течения болезни.
У беременных, возможные осложнения
Трихомониаз не приводит к развитию пороков у плода, однако это заболевание крайне нежелательно во время беременности. Агрессивная среда, формирующаяся во влагалище, может негативно влиять на нижние стенки околоплодного пузыря. Это зачастую приводит к излитию околоплодных вод, вызывая преждевременные роды или выкидыш.
У женщин, больных трихомониазом, дети рождаются с низким весом. Также высока вероятность передачи инфекции ребёнку во время прохождения его по родовым путям.
При получении положительного результата анализа необходимо убедиться в его достоверности. Метронидазол, используемый для лечения трихомониаза, не рекомендован для приёма в 1 триместре. Он может быть опасен для ребёнка и должен назначаться исключительно врачом акушером-гинекологом с учетом всех особенностей течения беременности.
Болезнь трихомонада у мужчин
У пациентов мужского пола клиническое течение заболевания имеет свои особенности.
Симптомы, как правило, слабо выражены.
Часто выявляются бессимптомные формы.
Наличие клинических проявлений и их выраженность зависит от ряда факторов.
Оно определяется не только свойствами организма пациента, но также вирулентностью трихомонад.
На сегодняшний день известно 8 серотипов этих простейших и 120 их разновидностей.
Все обладают различными патогенными свойствами.
У мужчин инфекция чаще всего вызывает уретрит.
Реже трихомонада провоцирует:
- простатит до 40% от общего числа инфицированных;
- эпидидимит;
- орхит;
- везикулит (сочетается с простатитом).
Изначально поражается дистальный отдел уретры.
Дальше микроорганизм способен распространяться на другие отделы мочеполового тракта.
В острой форме протекает уретрит лишь у 30-40% мужчин.
У остальных симптомы слабо выражены или отсутствуют.
Инкубационный период длится 7-10 дней.
Он может сокращаться до 3 дней.
В некоторых случаях удлиняется до 1 месяца.
Затем появляются такие симптомы:
- зуд в уретре;
- выделения;
- покраснение меатуса.
Пальпаторно определяется инфильтрация уретры, утолщение её стенок.
При воспалении простаты симптомов обычно нет.
Возможны слабые боли в промежности, преждевременная эякуляция, ухудшение эрекции.
Болезнь трихомонада у женщин
У пациентов женского пола заболевание чаще проявляется выраженными симптомами.
Воспаляется чаще всего влагалище.
Возможно также распространение воспалительного процесса на:
- большие вестибулярные железы;
- цервикс;
- эндометрий;
- придатки матки.
Патология негативно сказывается на фертильности.
Воспаление влагалища проявляется выделениями.
Они при трихомонадной инфекции:
- обильные;
- жидкие;
- желтые;
- пенистые;
- неприятно пахнущие.
При осмотре могут выявляться петехии на фоне сильной гиперемии слизистой.
У женщин трихомонады часто выявляются на фоне бактериального вагиноза.
С одной стороны, это состояние увеличивает риск заражения, так как делает рН влагалища более приемлемым для существования трихомонад.
С другой сами простейшие вытесняют лактобациллярную флору.
Он меняют биоценоз влагалища, вызывая дополнительные симптомы.
Рядом с трихомонадами развивается анаэробная микрофлора.
Появляются обильные выделения и неприятный запах из влагалища.
Повышается восприимчивость к другим ЗППП, в том числе возрастает риск инфицирования ВИЧ.
Патогенетический механизм формирования дисбактериоза влагалища:
- Трихомонады проникают в половые пути женщины.
- Они колонизируют их.
- Снижается количество лакто- и бифидобактерий.
- Размножается условно-патогенная флора, которая не продуцируют молочную кислоту.
- Часть патогенных микроорганизмов сохраняется внутри трихомонад в результате реакции незавершенного фагоцитоза.
Как выглядит трихомонада
От чего бывает трихомониаз? Причины возникновения заключаются в источнике инфекции это хламидия трихомонада (Trichomonas vaginalis), которая относится к простейшим микроорганизмам.
Статья по теме: Кишечная лямблия у человека
На фото при огромном увеличении она выглядит как полупрозрачное одноклеточное овальной формы с несколькими жгутиками.
Эта жгутики, а также волнообразная мембрана облегчают ее передвижение по мочеполовой системе из половых органов вплоть до мочевого пузыря и почек.
Анаэробные условия не препятствуют ее существованию, однако, попадая за пределы мочеполовой системы, она быстро погибает.
Трихомонада способна паразитировать в организме носителя достаточно долгое время, не вступая при этом в конфликт с его иммунной системой, то есть наблюдается симбиоз.
Но при условии ослабления иммунитета она переходит в более активную форму, интенсивно размножается и может вызвать трихомониаз с его крайне неприятными проявлениями.
Среди нескольких существующих видов трихомонад возбудителем трихомониаза является влагалищная трихомонада, вызывающая воспалительные процессы в мочеполовой системе, преимущественно на слизистой оболочке влагалища.
Важно помнить, что в человеческом организме не вырабатывается иммунитет к этой инфекции, поэтому, даже полностью излечившись от трихомониаза, можно заразиться им повторно, а это чревато тяжелыми неизлечимыми осложнениями.
Изменение уровня рН во время менструации и после нее также способно спровоцировать развитие заболевания.
Основным условием для развития трихомониаза является уровень pH в содержимом влагалища от 5,5 до 6,6. При более низком или более высоком рН он не развивается.
Чем опасны трихомонады
В большинстве случаев мужчины и женщины с трихомонозом даже не подозревают о своем заражении. В первую очередь это связано с тем, что болезнь никак не проявляет себя и протекает бессимптомно.
В некоторых случаях у мужчин и женщин могут появляться следующие симптомы:
- Боль во время мочеиспускания и полового акта, при эрекции у мужчин;
- Выделения из половых органов в виде желтоватой мутной жидкости со специфическим запахом и пенной структурой;
- Тянущие боли в области низа живота.
Даже при отсутствии симптомов трихомоноз представляет опасное заболевание. Трихомонады обладают способностью притягивать болезнетворные бактерии и вирусы.
У многих людей с таким венерическим заболеванием постепенно развиваются бактериальные заражения половых органов и даже появляется вирус иммуннодефицита человека.
При отсутствии лечения возбудители трихомоноза начинают продвигаться вверх по мочевыделительным путям и половой системе.
У мужчин в первую очередь страдает предстательная железа и быстро развивается простатит. У женщин заболевание нарушает нормальное функционирование половой системы.
После заражения яичников и матки, их строение изменяется, нарушается гормональный баланс, менструация может изменяться или полностью отсутствовать. Постепенно трихомонады приводят к развитию как мужского, так и женского бесплодия.
Механизм развития заболевания
После заражения заболевание возникает не сразу. Инкубационный период, в зависимости от иммунитета, может составлять от 10 дней до 2 месяцев. В медицине также установлены случаи, когда симптомы трихомониаза проявились спустя 200 дней после проникновения бактерии в организм.
У мужчин очаг патологического процесса находится в уретре, так как там самая благоприятная среда для жизнедеятельности микроорганизмов. У женщин трихомонада поражает слизистую оболочку влагалища.
При отсутствии терапии, после того, как завершился инкубационный период, и появились симптомы, бактерии распространяются на органы мочеполовой системы. При этом они становятся причиной развития таких заболеваний как цистит, простатит.
Лечение заболевания затруднительно, так как на фоне трихомониаза могут возникнуть и другие инфекционные патологии. Именно поэтому следует при появлении признаков заражения обратиться незамедлительно к специалисту.
Формы инфекции
В медицине выделяют три формы трихомониаза в зависимости от симптомов, времени заражения и других особенностей течения заболевания:
Свежая форма заболевания устанавливается в случаях, когда симптомы продолжаются менее двух месяцев. В зависимости от того, насколько интенсивны клинические проявления, выделяют:
Хроническая форма устанавливается в тех случаях, когда первые признаки патологи появились более двух месяцев назад.
Встречается чаще всего у пациентов мужского пола. Характеризуется волнообразным течением, когда период ремиссии сменяется обострением. Это может происходить в результате злоупотребления спиртными напитками, после полового акта и при влиянии ряда факторов.
В некоторых случаях устанавливается носительство, когда признаки заболевания полностью отсутствуют, но при лабораторных исследованиях было выявлено наличие бактерии.
Трихомоносительство имеет главное отличие от хронической и свежей формы: она не проявляется в виде периодов ремиссии и обострения. Также отсутствуют острая и подострая стадии.
Носительство представляет опасность для пациента, так как при снижении иммунитета наблюдается возникновение осложнений, связанных с жизнедеятельностью трихомонады. Кроме этого, носитель может заражать полового партнера при незащищенном половом акте.
Основная причина развития трихомониаза сниженный иммунитет. Патогенные микроорганизмы после попадания на слизистые оболочки, не встречают препятствия, начинают размножаться и распространяться на органы мочеполовой системы. В результате развиваются различные осложнения, которые могут привести к бесплодию.
Трихомониаз возбудитель которого является трихомонада, может стать причиной развития опасных заболеваний и нарушений. Микроорганизм поражает чаще всего половые органы.
При появлении первых признаков заболевания необходимо начинать курс терапии. Это поможет исключить развитие тяжелых осложнений и заражения партнера.
Трихомониаз у женщин и проявления трихомонадного вагинита
Трихомониаз у женщин выражается ярче, чем у мужчин, у которых, чаще всего, течение болезни проходит бессимптомно.
Основными признаками наличия инфекции в женском организме являются:
- отечность половых органов, покраснение;
- появление небольших изъявлений, сопровождающихся кровотечением;
- выделения интенсивного характера, которые с течением времени, приобретают грязно-зеленоватые оттенки и неприятный запах.
Такие выделения это симптомы того, что трихомониаз у женщин прошел инкубационный период, и началось обильное воспаление. Выделения из влагалища обладают еще одним негативным фактором они способны разъедать слизистые оболочки половых органов, что приводит к образованию небольших язвочек, с болевыми ощущениями, сильным дискомфортом, жжением при мочеиспускании, зудом.
В некоторых случаях такие раздражения перекидываются на внутреннюю сторону бедра, также развиваются и кровотечения из влагалища. Отметим, что болезненные ощущения могут проявлять себя не только при мочеиспускании и половом акте, но и перекидываются на низ живота и спины. Трихомониаз именно у женщин и его симптомы помогают понять врачу, какая область поражена инфекцией. К примеру, если выделения идут из влагалища и сопровождаются болью в низу живота, при мочеиспускании и половом акте это говорит о заражении влагалища.
Но, если при аборте, родах, при менструации были повреждены эти естественные преграды, тогда инфицирование может затронуть и внутренние половые органы. Если таковой случай имеет место быть, это может привести к развитию одного из самых тяжелых заболеваний эндометрита, воспаления матки, которое дает предпосылки к развитию еще более сложных заболеваний женской половой системы.
Прежде чем назначать схему лечения, обязательно проводится анализ, подтверждающий наличие инфекции в организме.
Лечение инфекции у женщин назначает только врач и прописывает специальный антибиотик, свечи местного назначения. При терапии могут быть использованы разные формы лекарств, это может быть раствор для инъекций, таблетка.
Трихомонадный вагинит основные пути инфицирования:
- беспорядочная половая жизнь;
- слабый иммунитет;
- наличие постоянных стрессов и нервного напряжения, что ведет к ослаблению свойств естественной микрофлоры во влагалище;
- прохождение курса терапии с применением антибиотиков и гормонов, которые также способны изменять состояние микрофлоры и слизистых оболочек;
- природный гормональный сбой.
После того как инфекция попадает в организм, она заражает влагалище и далее железы. Симптомами заболевания являются:
- обильные, с неприятным запахом выделения из влагалища (иногда с гноем);
- зуд и сильное раздражение промежности;
- отечность влагалища;
- болезненные ощущения при половом акте;
- проблемы с мочеиспусканием.
Данные симптомы возникают после того, как трихомонадный вагинит уже переходит из инкубационного периода в острую, воспалительную фазу. Чаще всего, подобные симптомы возникают сразу после окончания менструального цикла.
Методы лечения трихомониаза
При диагностировании такого диагноза как трихомониаз не стоит практиковать самостоятельное лечение, опираясь на мнение друзей, Интернета и народную медицину. Это только усугубит течение болезни, запустит ее, давая перейти в хроническую форму течения. Сегодня же это заболевание прекрасно поддается лечению своевременное обращение к врачу, прохождение полного курса лечения позволит в будущем не иметь проем со здоровьем и далее вести активную, полноценную жизнь.
Применяют такие таблетки от трихомониаза у женщин:
- метронидазол;
- трихопол;
- тинидазол;
- орнидазол;
- флагил;
- ниморазол.
Еще применяют свечи при трихомониазе:
- осарцин;
- тержинан;
- клион;
- бетадин.
Свечи от трихомониаза для женщин считаются очень эффективными и без местного лечения этого недуга просто необходимо. Для достижения скорейшего лечебного эффекта, используют еще вагинальные гели.
Схема лечения трихомониаза у женщин может состоять из комбинирования нескольких противовоспалительных и антибактериальных препаратов, с добавлением препаратов для поднятия иммунитета и восстановления микрофлоры влагалища.
Для лечения врачи прибегают к назначению таких средств:
- антибактериальные таблетки, которые используют не менее 10 дней;
- суппозитории и гели для местного лечения;
- препараты и свечи, восстанавливающие микрофлору во влагалище;
- иммуномодулирующие добавки.
Схема лечения, как для начальной стадии, так и для хронической формы может совпадать, но в последнем случае придется пройти несколько курсов для полного избавления от недуга.
Лечение в домашних условиях проводят только для поддержания эффекта от лекарства, назначенного врачом. Зачастую используют различные рецепты, помогающие повысить иммунитет, снижающийся из-за трихомоноза. Такое дополнение будет всегда уместным и поможет быстрейшему выздоровлению.
Хорошо зарекомендовали себя ванночки и спринцевания из настоек шалфея и ромашки. Стоит помнить, что любое лечение трихомонады у женщин в домашних условиях должно быть согласованно с врачом.
Если учитывать все это, то можно выявить заболевание еще на ранних стадиях и быстро его вылечить, учитывая все назначения врача и добавляя народные методы.
Трихомониаз: лечение препаратами и народными средствами
Диагностировав заболевание трихомониаз, лечение проводится не только по отношению к самому инфицированному, но и его половому партнеру (партнерам), для предотвращения риска повторного заболевания.
Сегодня лечение заболевания трихомониаз можно проводить несколькими путями. Эта инфекция почти не поддается терапии обычными противомикробными препаратами, поэтому необходимо назначать специальные, противотрихомонадные средства, благодаря которым можно быстро и эффективно избавиться от заболевания. Отметим, что организм не вырабатывает стойкость к этому вредному организму. Поэтому возможно и повторное заражение. Схема лечения разрабатывается и назначается индивидуально, причем обоим половым партнерам сразу, что значительно снижает риск повторного инфицирования.
Терапия с применением лекарственных средств специального назначения проводится только по предписанию врача и под его присмотром, так как эта категория препаратов вызывает массу побочных эффектов, многие провоцируют индивидуальную непереносимость пациентами. Лечение у женщин трихомониаза может сопровождаться применением местных средств для обработки влагалища и шейки матки. В терапии мужчин эти лекарства не эффективны.
После того, как было проведено основное лечение медикаментами, через несколько недель проводится контрольное обследование, чтобы подтвердить результаты терапии. Желательно через несколько месяцев провести обследование вновь, чтобы избежать риска повторного инфицирования. Что касается народных методов лечения, то их применение проводится только под наблюдением и по рекомендации врача.
Причем, только после медикаментозного лечения, в качестве закрепляющих методов и мер профилактики. Использование только народных способов лечения не даст эффективных результатов, а самолечение, приведет к ухудшению состояния и перетеканию заболевания в хроническую форму, когда возможны осложнения и последствия в виде прочих воспалительных заболеваний.
Какое заболевание венерическое вызывает трихомонада
Трихомониаз так называется болезнь, которую провоцирует трихомонада.
В настоящее время это наиболее распространенное венерологическое заболевание на планете.
Ежегодно заражаются до 200 млн человек.
Считается, что 10% земного шара поражены этой инфекцией.
В некоторых африканских населенных пунктах выявляемость трихомониаза у женщин достигает 40%.
Различают трихомониаз свежий и хронический.
В свою очередь свежий может быть острым, подострым и торпидным, в зависимости от выраженности симптоматики.
При торпидном течении субъективных симптомов нет вообще.
Могут лишь выявляться объективные признаки заболевания при осмотре пациента.
Если болезнь протекает свыше 2 месяцев, она считается хронической.
Существует также понятие трихомонадоносительство.
О хронической формы оно отличается отсутствием обострений (симптомов нет вообще).
Трихомонада является одновременно и полостным, и тканевым паразитом.
Она может выявляться в просвете уретры или влагалища.
А также проникает глубоко в ткани за счет выделения ферментов, растворяющих слизистую оболочку.
Из-за этих факторов патогенности у женщин во влагалище и на шейке матки часто образуются мелкоточечные кровоизлияния.
Сочетание трихомонады с другими заболеваниями
Очень часто вместе с трихомонадами обнаруживаются другие инфекции.
Обычно это гонококки, хламидии, микоплазмы.
Они могут быть фагоцитированы (поглощены) трихомонадами.
Поэтому длительное время находятся в состоянии дремлющей инфекции.
С этим некоторые авторы связывают неудачи в лечении сопутствующих ЗППП.
Бактерии попросту прячутся внутри трихомонад от антибиотиков.
А после разрушения трихомонадных клеток выходят из них и продолжают размножаться в урогенитальном тракте.
Нередко трихомонады ассоциируются с ВИЧ-инфекцией.
В первую очередь из-за общности путей передачи.
Чаще всего вместе с трихомонадами выявляются:
- хламидии в 40% случаев;
- гонококки 20%;
- уреаплазмы 40%;
- микоплазмы 5%;
- гарднереллы 20%.
Экспериментально показано, что хламидии могут сохранять жизнеспособность внутри трихомонад до 2 суток.
Другие бактерии ещё дольше.
Фагоцитировать эти простейшие могут не только бактериальные клетки.
Внутри трихомонад также могут присутствовать кандиды, вирусы герпеса и иммунодефицита человека.
Пути заражения трихомонадой
Передается заболевание только половым путем.
В отличие от многих других инфекцией, ею не заражаются:
- при бытовом контакте;
- вертикальным путем (от матери к ребенку);
- при переливании крови;
- во время анального или орального секса.
Презерватив надежно защищает от этой инфекции.
Она может передаваться лишь при вагинальном интимном контакте.
Наибольшая заразность отмечается в период присутствия выделений и активного воспалительного процесса.
Женщины заражаются чаще мужчин при однократном половом акте.
Две трети носителей трихомонад это именно представители женского пола.
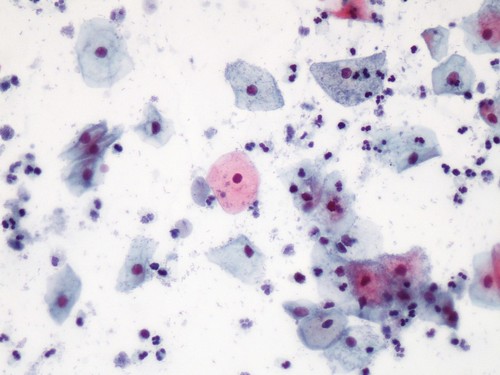
Методы диагностики трихомонады
Для установления диагноза требуется подтверждение наличия трихомонады в организме.
Оно проводится такими способами:
- микроскопия;
- ПЦР;
- культуральное исследование.
Значительно реже используется анализ крови на антитела.
Этот тест не может быть подтверждающим, потому что иногда дает ошибочные результаты.
Он скорее уточняющий, так как по содержанию различных иммуноглобулинов в крови можно судить о стадии воспалительного процесса и риске осложнений.
Микроскопическая диагностика почти невозможна у мужчин.
В основном таким способом выявляются трихомонады у женщин.
В качестве материала используется вагинальное отделяемое.
Исследуют нативный (неокрашенный) препарат.
В нем могут выявляться крупные подвижные клетки трихомонад.
Они имеют жгутики и совершают толчкообразные движения, расталкивая соседние клетки.
Только выявление живых трихомонадных клеток дает основания для установления диагноза.
Чаще всего для диагностики используется ПЦР.
Потому что микроскопический метод не обладает достаточной чувствительностью.
Он неэффективен в случае хронического течения заболевания, при малом количестве трихомонад во влагалище.
Методика ПЦР обладает значительно большей чувствительностью, приближающейся к 100%.
Трихомонады выявляются, даже если их количество минимальное.
В ходе ПЦР проводится обнаружение фрагмента ДНК простейших.
Участок генетического кода сравнивается с эталоном.
Ещё одним высокоточным методом является культуральное исследование.
Трихомонады культивируются на жидких или полужидких средах.
Методика обладает самой высокой специфичностью среди всех способов диагностики.
По чувствительности она несколько уступает ПЦР.
Посев дает возможность определить чувствительность трихомонад к антипротозойным лекарственным средствам.
Лечение
Лечение трихомониаза одна из серьезных задач, стоящих перед врачами. Этопоказываетбольшой уровень инфицирования данной болезнью.
Для эффективного лечениядолжны соблюдаться следующие правила:
- лечение обоих партнеров;
- на время лечения интимная связь запрещается;
- отказ от алкогольных напитков;
- лекарства используются только вместе с процедурами гигиены;
- лечение проводится при всех формах болезни.
Важно! Главным препаратом для лечения трихомониаза общего действия является метронидазол.
Метронидазол это антибиотик, который убивает простейших и действует на анаэробную флору. Еще препарат индуцирует выработку интерферона.
В наше время есть несколько схем, как принимать Метронидазол:
- по 0,5 г 3 раза в день, курс лечения 5 дней;
- курсовая доза 7,5 г;
- доза в 2 г применять однократно перорально.
Существуют другие производные от метронидазола нитроимидазол.
Схема лечения
Тинидазолом по 0,5 г через каждые четверть часа на протяжении 60 минут; курсовая доза 2 г или по 0,5 г 2 раза в день ежедневно в течение недели.
Тенонитразол капсулы по 0,25 г дважды в сутки в течение 4-х дней. Это средство является противотрихомоноцидным и антимикотическим, но лучше не использовать беременным и кормящим мамам.
Ниморазол назначают по 0,5 г 2 раза в день в течение 6 дней или однократно в дозе 2 г в день 4 таблетки.
В некоторых случаях показаны противовоспалительные свечи, иммуномодуляторы и другие медикаменты.
Лечение в домашних условиях
Перед тем, как лечить болезнь с помощью народной медицины, нужно обязательно проконсультироваться с лечащим врачом. Только он может одобрить такое лечение и посоветовать, чем лечить эффективнее. Также не нужно забывать, что самостоятельно назначать себе лекарство и ставить диагноз опасно для здоровья. Из-за неправильно подобранных народных средств болезнь может перейти в хроническую стадию и усугубиться.
Приведенные ниже народные средства нужно использовать как вспомогательную терапию. Основное лечение это медикаменты.
Для лечения в домашних условиях используют спринцевание, чтобы действовать непосредственно на место поражения и воспаления. Существует несколько рецептов для приготовления лекарства в домашних условиях:
- 2 ст. ложки сухой коры дуба, 2 ст. ложки ромашки, 2 ст. ложки крапивы и 2 ст. ложки календулы заливается 700 мл.кипятка. Оставить настаиваться 2 часа и использовать методом спринцевания в теплом виде.
- Смешивают сырье акации, сирени и чистотела по 30 г каждого, заливают 500 мл кипятка и настаивают не менее 24 часов. Готовым настоем делают спринцевания раз в день.
- 40 гр бессмертника и столько же акации смешивают и добавляют в кипящую воду и проваривают еще 3 минуты. Используют в теплом виде для спринцеваний. Рекомендуется использовать 1-2 раза в день.
Спринцевания делают не менее двух недель.
Важно! народные методы и спринцевание допустимы только в качестве вспомогательной терапии. Единственный эффективный способ, позволяющий как вылечить болезнь, так и предотвратить дальнейший рост бактерии антибактериальная терапия.
Осложнения трихомонады у женщин
Трихомонада способна вызвать воспалительные процессы органов малого таза.
Чаще всего они возникают в результате присоединения вторичной бактериальной микрофлоры.
Если же в эндометрии и придатках обнаруживается одна только трихомонада, симптомы её присутствия обычно слабые.
Они могут вовсе отсутствовать.
В иных случаях на фоне воспаления эндометрия и придатков матки женщины жалуются на:
- нарушение цикличности кровотечений;
- выделение крови из половых путей в межменструальный период;
- тянущие или приступообразные боли в животе.
Трихомонада может стать причиной снижения репродуктивной функции.
У женщин с бесплодием этот микроорганизм выявляется значительно чаще, чем у тех, кто не имеет проблем с фертильностью.
Механизмы формирования бесплодия различны.
В основном оно развивается в результате нарушения проходимости маточных труб или недостаточного созревания эндометрия.
Иногда формируются спайки в матке.
Это соединительнотканные перегородки, деформирующие её полость.
Под влиянием трихомонад возможны неблагоприятные исходы в случае наступления беременности.
Повышается риск самопроизвольного аборта.
Увеличивается вероятность разрыва плодного пузыря и преждевременных родов.
У инфицированных трихомонадами матерей чаще рождаются дети с недостаточным весом.
Лечение беременных может проводиться только со 2 триместра.
Потому что в 1 триместре нитроимидазолы могут навредить плоду.
Профилактика трихомонады
Для недопущения развития трихомониаза необходимо:
При регулярной и разнообразной половой жизни нужно раз в год приходить к врачу и сдавать анализы на ЗППП.
Это необходимо для своевременного выявления и лечения бессимптомных форм трихомониаза.
Проводится также экстренная профилактика.
После незащищенного полового акта с носителем инфекции можно принять 2 грамма метронидазола.
Применяются также капельницы Метрогил.
Они более эффективны в предотвращении инфекции, потому что быстрее доставляют действующее вещество в кровь и создают в ней более высокую концентрацию метронидазола.
Вопрос-ответ
Как понять, что у тебя трихомониаз у женщин?
Симптомы заболевания у женщин Зуд и жжение в области половых органов. Нетипичные выделения из влагалища (чаще всего имеют серо-желтый цвет, нередко – пенистые с неприятным запахом). Неприятные ощущения во время мочеиспускания. Боль и жжение при половом акте.
Чем лучше всего лечить трихомониаз?
Трихомониаз поддается терапии и может быть полностью излечен. Лучше всего для лечения данной инфекции подходят антибиотики метронидазол или тинидазол. Лекарственная устойчивость возбудителя инфекции встречается редко, однако в небольшом проценте случаев лечение оказывается неэффективным.
Как долго лечится трихомониаз у женщин?
Курс лечения может длиться от 3 до 12 дней. В течение этого периода заболевшему следует воздержаться от половых контактов.
Что убивает трихомонаду?
Обычно для лечения трихомониаза используется метронидазол или тинидазол.
Советы
СОВЕТ №1
Регулярно проходите гинекологические осмотры. Это поможет своевременно выявить возможные инфекции, включая трихомониаз, и начать лечение на ранней стадии.
СОВЕТ №2
Обратите внимание на симптомы. Если вы заметили необычные выделения, зуд или дискомфорт в области половых органов, не откладывайте визит к врачу для диагностики.
СОВЕТ №3
Избегайте незащищенных половых контактов. Использование презервативов снизит риск передачи трихомонады и других инфекций, передающихся половым путем.
СОВЕТ №4
Следуйте предписаниям врача при лечении. Полный курс антибиотиков необходим для полного излечения от трихомониаза, даже если симптомы исчезли раньше.






















