Общее описание и строение
Класс Жгутиконосцы (Flagellata) насчитывает около 60008000 представителей. Имеют постоянную форму тела. Обитают в морских и пресных водах. Паразитические жгутиковые обитают в различных органах человека.
Характерная особенность всех представителей наличие одного или более жгутиков, которые служат для передвижения. Расположены они преимущественно на переднем конце клетки и представляют собой нитевидные выросты эктоплазмы.
Внутри каждого жгутика проходят микрофибриллы из сократительных белков. Основание жгутика всегда связано с кинетосомой, выполняющей энергетическую функцию.
Тело жгутикового простейшего, помимо цитоплазматической мембраны, покрыто снаружи пелликулой специальной периферической пленкой (производной эктоплазмы). Она и обеспечивает постоянство формы клетки.
Ряд жгутиковых имеет опорную органеллу аксостиль, который в виде плотного тяжа проходит через всю клетку.
Жгутиковые гетеротрофы (питаются готовыми веществами). Некоторые способны также к автотрофному питанию. Для многих свободноживущих представителей характерно заглатывание комочков пищи (голозойное питание), которое происходит при помощи сокращений жгутика.
Размножение обычно бесполое, происходящее поперечным делением. Встречается и половой процесс в виде копуляции.

Средой обитания паразитических форм жгутиконосцев могут быть различные органы животных и человека: кишечный канал, кровяное русло, кожа, половые пути; среди них имеются весьма патогенные виды (трипаносомы, лейшмании, лямблии и др.), вызывающие тяжелые заболевания. Передача их к хозяину осуществляется трансмиссивно, т.е. через переносчиков.
Жгутиконосцы, относящиеся к группе простейших, представляют собой серьезную угрозу для здоровья человека и животных. Врачи отмечают, что некоторые виды, такие как Giardia intestinalis и Leishmania spp., могут вызывать тяжелые заболевания. Giardia, например, приводит к giardiasis, проявляющемуся диареей, болями в животе и другими gastrointestinal симптомами. Leishmania, в свою очередь, вызывает лейшманиоз, который может быть фатальным, если не начать своевременное лечение.
Специалисты подчеркивают, что жгутиконосцы часто передаются через загрязненную воду или укусы насекомых, что делает профилактику особенно важной. Врачи рекомендуют соблюдать меры гигиены и избегать контакта с потенциально зараженными источниками. Своевременная диагностика и лечение являются ключевыми факторами в борьбе с этими паразитами, поэтому обращение к специалисту при первых симптомах крайне важно.
https://youtube.com/watch?v=081oQxYTVrs
Паразиты жгутиконосцы человека и животных
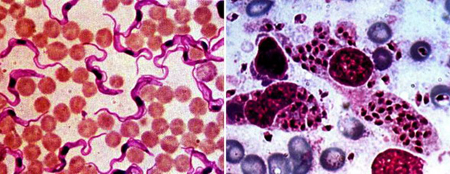
Трипаносомы
Трипаносома является бактерией рода трипосоматид, имеет длину 10-30 мкм. У трипаносомы длинное изогнутое тело с острыми краями. С одного конца тело бактерии уплощено, имеется один жгутик, идущий через всю клетку.
Для полноценного существования трипаносоме необходим основной и промежуточный хозяин. Основным хозяином является человек или млекопитающие, а переносчиками муха цеце или жигалка, триатомовые клопы, самки слепней рода Табанус.
При укусе бактерия попадает в пищеварительную систему насекомого, где происходит её размножение. Постепенно трипаносомы заражают слюнные железы своего промежуточного хозяина. При укусе человека или животного микробы проникают в кровь, которая и разносит их по системам органов хозяина. Возбудитель поражает головной и спинной мозг, а также лимфатическую и кровеносную системы.
Жгутиконосцы паразиты, такие как Leishmania и Trypanosoma, вызывают серьезные заболевания у человека и животных. Люди часто обсуждают их опасность, особенно в регионах с тропическим климатом, где эти организмы распространены. Например, Leishmania вызывает лептоспироз, который может привести к тяжелым кожным поражениям и даже смерти. Trypanosoma, в свою очередь, является возбудителем болезни сонной, что приводит к нарушению работы центральной нервной системы. Паразиты передаются через укусы насекомых, таких как москиты и мухи, что делает их особенно опасными в условиях, где санитарные условия оставляют желать лучшего. Многие эксперты подчеркивают важность профилактики и своевременного лечения, так как запущенные случаи могут иметь фатальные последствия. Общественное здравоохранение активно работает над повышением осведомленности о жгутиконосцах и методах защиты от них.
https://youtube.com/watch?v=VLVG5AaMTD0
Лямблии
Эти жгутиковые паразиты являются возбудителями лямблиоза у человека, а также у нескольких видов птиц и млекопитающих. Размер микроорганизма составляет 15-25 мкм, у бактерий четыре жгутика, два ядра, имеющие двойной набор хромосом.
При внешнем осмотре лябмлия как бы разделена на две половины, в передней части присутствует диск, способствующий фиксации на слизистой кишечника по принципу присасывательного действия. Процесс питания осуществляется посредством пиноцитоза процесс всасывания осуществляется всей поверхностью путём впячивания клеточной стенки.
По характеру обмена веществ лямблии являются анаэробами, то есть для их нормальной жизнедеятельности кислород не обязателен. Бактерии способны образовывать цисты, что позволяет им переносить неблагоприятные условия существования.
Основной путь передачи инфекции фекально-оральный. Циста лямблий попадает в желудок при употреблении заражённой воды или увлажнённых продуктов питания. Важно отметить, что в окружающей среде выживают только цисты, молодые паразиты, не покрытые защитной оболочкой погибают в течение нескольких минут. После попадания лямблий в желудок циста под действием желудочного сока разрушается, бактерия продвигается в тонкий кишечник, присасывается к кишечной ворсинке, где и паразитирует.
Размножаются лямблии путём продольного деления. При попадании дочерних лямблий в толстый кишечник из-за смены среды обитания бактерии превращаются в цисты.
Молодые паразиты, не покрытые защитной оболочкой в виде цисты называются трофозоидами. Трофозоиды фактически сразу погибают в окружающей среде. Цисты способны существовать в ожидании хозяина до 65 суток, а в летнюю влажную погоду до 90 суток. Очень часто заболевание встречается у туристов при использовании некипячёной воды. Важно отметить, что хлорирование не убивает цисты лямблий, а для развития лямблиоза достаточно попадания в желудок всего десяти представителей данного вида.
Лейшмании
Лейшмании существуют в двух различных формах: промастиготы и амастиготы. Промастиготы характеризуются высокой подвижностью, веретенообразной или удлинённой формой, с одним длинным жгутиком на передней поверхности тела. Амастиготы округлой формы, с коротким жгутиком, малоподвижны. Амастиготы располагаются внутри клеток в организме хозяина.
Для полноценного развития и размножения лейшмании необходим основной хозяин человек или млекопитающее и промежуточный самка москита.
Амастиготы, расположенные в макрофагах хозяина при укусе проникают в пищеварительный тракт москита, где перерождаются в промастиготы. При укусе здорового человека или животного лейшмании попадают в кровоток, поражают нейтрофилы, а затем при фагоцитозе отмерших нейтрофилов проникают в макрофаги, являющиеся основными клетками-хозяевами лейшманий. Внутри макрофагов они превращаются в амастиготы. Паразит вызывает кожную, кожно-слизистую или висцеральную формы лейшманиоза.
Трихомонады
Трихомонада у женщин и мужчин вызывает заболевание под названием трихомониаз. Его основные симптомы схожи с признаками таких мочеполовых инфекций, как цистит, кольпит, уретрит проктит и пр.
Вообще в человеческом теле могут существовать три разновидности трихомонад: ротовая, кишечная и вагинальная. Последняя из перечисленных видов является наиболее крупной, активной и патогенной. Ротовая и кишечная трихомонада не представляют опасности для здоровья человека.
Размер трихомонад варьируется в длину от 13 до 18 мкм. Незначительные размеры и высокая пластичность тела позволяет трихомонадам проникать даже в межклеточное пространство. Они крепятся к слизистой оболочке мочеполового тракта и провоцируют развитие воспалительного процесса. Человек страдает от общей интоксикации, ухудшается иммунитет больного.
Трихомонады способны существовать не только в половых органах человека, но и в кровеносных сосудах. Туда они проникают по лимфатическим путям. Трихомонады прекрасно адаптированы к жизни внутри человеческого тела.
Они способны маскироваться под тромбоциты и лимфоциты, могут переносить на себе других микробов, тем самым, не позволяя иммунной системе уничтожить собственные клетки.
Паразитические жгутиконосцы земноводных
Виды семейства опалинид
Жгутиконосцы обитают в заднем отделе кишечника земноводных. Особенно богато представлены разные виды семейства опалинид (Opalinidae). В заднем отделе кишечника лягушек в огромных количествах встречаются разные виды рода опалин (Opalina). Это очень крупные простейшие, достигающие 1 мм.
Основные этапы жизненного цикла хозяина (лягушки) и паразита (опалин) очень точно синхронизированы, что обеспечивает заражение. В лягушках, пойманных ранней весной в момент икрометания, встречаются очень мелкие особи опалин, образующиеся в результате многократных делений.
Это предцистные формы. Они инцистируются и выходят из лягушки, падая на дно водоема. Там они лежат до тех пор, пока не будут проглочены головастиками.
Половой процесс опалин совершается только на одном этапе цикла в головастиках, в теле лягушек он никогда не происходит, и размножаются они бесполым путем.
Виды рода опалин
Представители подтипа почти все являются паразитами кишечника рыб, земноводных, пресмыкающихся и мелких млекопитающих. В подтип входит 2 класса: Опалинаты Opalinatea и Протеромонады Proteromonadea.
Представители класса Opalinatea встречаются у хлоднокровных животных, в основном у амфибий (лягушек). Опалины гетеротрофные организмы. Питание происходит путем пиноцитоза диффузно. Выделительные органеллы отсутствуют.
Размножаются бесполым и половым путем. Бесполое размножение деление или почкование.
В течение года опалины, живущие в прямой кишке лягушки, размножаются бесполым путем.
Весной, после откладки лягушкой яиц, опалины делятся и образуют мелкие малоядерные особи. Эти особи образуют цисту и выходят из прямой кишки лягушки в воду, когда головастики уже вывелись из яиц. Цисты опалин съедаются головастиками, в кишечнике которых их оболочки растворяются.
Жгутиковые
Жгутиковые класс простейших животных типа саркомастигофоры, объединяющий 13 отрядов и более 7 тысяч видов. Характерной особенностью всех этих животных является наличие хлыстообразных органов движения жгутиков, выполняющих различные функции. Благодаря движению жгутиков, эти микроорганизмы способны не только передвигаться, но и создавать токи воды, которые приносят пищу. Все организмы подразделяются на две основные группы: фитожгутиковые (относятся к растениям) и зоожгутиковые (подобны животным). Схожесть двух групп микроорганизмов с растениями и животными определяется строением клеток и типом питания. Так, фитожгутиковые получают энергию, благодаря фотосинтезу, а зоожгутиковые через готовую пищу. В клетках растительных жгутиконосцев имеется хлорофилл для осуществления фотосинтеза. Некоторые, как например, эвглена зеленая на свету синтезируют питательные вещества самостоятельно в процессе фотосинтеза, а в темноте питаются как животные готовыми органическими веществами.
Тело покрыто тонкой внешней оболочкой пелликулой, иногда сплошным панцирем из хитина или оболочкой из клетчатковых пластин. У большинства видов особи имеют по одному ядру в клетке, но у некоторых может несколько десятков ядер. Приспособлением для регуляции осмотического давления являются сократительные вакуоли, которые также осуществляют выделительную функцию. У жгутиковых с хроматофорами имеется светочувствительный органоид, для них характерен положительный фототаксис.
Жгутиконосцы, обитающие в кишечнике термитов и тараканов
В задней кишке низших термитов обитают разнообразные простейшие, среди которых наибольшее значение имеют жгутиконосцы. Количество простейших в кишечнике рабочих особей и псевдоэргат низших термитов обычно очень велико и может составлять от 16 до 50% веса термита.
Они сосредоточены в толстой кишке и заполняют весь ее объем. При этом разные виды занимают определенные участки кишки. Жизненный цикл многих жгутиконосцев хорошо приспособлен к развитию термита с периодическими линьками, во время которых его кишечник полностью освобождается.
https://youtube.com/watch?v=Is78bkGal4M%3Ffeature%3Doembed
Характеристика класса
Одним из наиболее важных признаков, используемых в классификации простейших, служат органоиды движения. У жгутиковых это жгуты, или бичи тонкие цитоплазматические выросты. Они обычно находятся на переднем конце тела и отходят от особых базальных зерен (базального тела или кинетосомы). Количество жгутиков у разных видов колеблется от 1 до 8 и более. У некоторых жгутиковых (лейшмании, трипаносомы) у основания жгутика, кроме того, помещается особый органоид кинетопласт. По своей ультраструктуре он соответствует митохондрии, но отличается высоким содержанием ДНК. Считают, что в кинетопласте происходит генерация энергии для движения жгутика, который совершает вращательное движение и как бы ввинчивается в воду. У некоторых представителей класса жгутик проходит вдоль тела, соединяясь с ним тонким выростом цитоплазмы. Упомянутый вырост, или ундулируюшая мембрана, совершает волнообразные движения и служит дополнительным органоидом движения.
Тело жгутиковых имеет микроскопические размеры, покрыто пелликулой и имеет относительно постоянную форму (овальную, грушевидную или веретеновидную), характерную для каждого вида. Ядро клетки пузырьковидной формы, содержит одно или несколько ядрышек. Обычно жгутиковые имеют по одному ядру, но встречаются двухядерные формы. У многих видов имеются сократительные вакуоли, у паразитических форм она отсутствует.
По способу питания (ассимиляции) делятся на:
- гетеротрофных имеют пищеварительные вакуоли. Паразитические формы всасывают пишу всей поверхностью тела, в основном путем пиноцитоза.
- аутотрофных органоидами питания служат хлоропласты
- миксотрофных могут использовать для питания как неорганические, так и органические вещества, что позволяет относить их к переходным формам от растений к животным.
Размножение обычно бесполое, путем продольного деления на две части. У многих видов имеется и половой процесс, во время которого происходит слияние половых форм (копуляция).
Жгутиковые обитают в пресной и морской воде, реже во влажной почве и играют важную роль в жизни водоемов, в круговороте веществ в природе. Многие жгутиковые ведут паразитический образ жизни. Класс включает более 6000 видов.
Подкласс Растительные жгутиконосцы
Сюда относят одиночных и колониальных жгутиконосцев, содержащих хлоропласты и способных за счет реакций фотосинтеза самостоятельно обеспечивать себя органическими соединениями. При отсутствии света они способны поглощать экзогенную органику. Растительные жгутиконосцы обитают в соленой и пресной воде, в крупных водоемах входят в состав планктона.
Естественно, среди них отсутствуют паразитические формы. Интересной особенностью многих представителей этого подкласса (эвглены, динофлагелляты) является наличие светочувствительного глазка (стигмы), содержащего красный пигмент, иногда в него вдается своеобразная линза из крахмального зерна. У некоторых динофлагеллят эта структура может достигать значительных размеров до 25 мкм. Наиболее известным представителем растительных жгутиконосцев является эвглена ( 290), а также описанные выше колониальные формы.
Подкласс Животные жгутиконосцы
Этот подкласс объединяет исключительно гетеротрофных жгутиковых. Различные представители подкласса ведут одиночный или колониальный образ жизни. Многие животные жгутиконосцы являются паразитами, в том числе и человека, вызывая ряд тяжелых заболеваний. По этой причине данный подкласс с медицинской точки зрения вызывает особый интерес. Наибольшее количество паразитов человека входит в отряды кинетоплас- тидных и многожгутиковых.
Отряд Кинетопластидные отличает присутствие у его представителей особой органеллы, расположенной вблизи базального тельца жгутика кинетопласта. На самом деле он представляет собой крупную митохондрию с высоким содержанием ДНК.
Африканские трипаносомы являются возбудителями тяжелейшей сонной болезни. В зависимости от географического региона различают восточноафриканскую родезийскую и западноафриканскую гамбийскую трипаносомы. Переносчиком паразита являются кровососущие мухи цеце из рода глоссина, а природным резервуаром дикие копытные, в последнее время прежде всего человек, а также домашние животные.
Для паразита характерен сложный цикл развития. Первая стадия проходит в пищеварительной системе мухи цеце, а вторая в крупном позвоночном животном или человеке. Со слюной мухи- переносчика при укусе патогенный микроорганизм попадает в кровь и лимфу человека, после чего поражается мозг. Симптомы вначале проявляются в виде слабой лихорадки, но затем появляется мышечная слабость, утомляемость, сонливость. Развивается глубокое истощение организма, сонливость сменяют продолжительные периоды коматозного состояния, в течение которых тело больного нередко охватывают судороги. Западноафриканский вариант сонной болезни может развиваться годами (до 10 лет) и без лечения обычно приводит к летальному исходу, хотя известны отдельные случаи спонтанного выздоровления. Восточноафриканский трипаносомоз развивается гораздо быстрее и заканчивается смертью уже на шестом месяце заболевания.
В Южной и Северной Америке встречается американский трипаносомоз, называемый болезнью Чагаса. Возбудитель поражает сначала макрофаги, а затем поперечнополосатую мышечную ткань (в том числе и кардиомиоциты) или нейроглии мозга, где теряет жгутики и размножается. Описаны случаи обнаружения паразита в селезенке и печени человека.
Течение болезни сопровождается слабостью и высокой температурой, у детей она часто заканчивается смертью. Переносчиками являются триатомовые клопы, которых еще называют поцелуйными клопами за их склонность пить кровь, прокусывая кожу губ. В кишечнике клопа трипаносомы размножаются и становятся инвазионными (способными инфицировать человека). Испражняясь на коже, клопы оставляют в фекалиях многочисленных паразитов, которые через мелкие повреждения кожи проникают в кровь и разносятся по организму человека.
Кроме человека, некоторые трипаносомы могут вызывать заболевания у верблюдов и рогатого скота. Эти паразиты попадают в организм животных через мух-кровососов. А вот заражение лошадей трипаносомами происходит половым путем, вследствие чего заболевание получило название случной болезни.
Среди патогенных для человека кинетопластидных важная роль принадлежит лейшманиям, получившим родовое название в честь английского врача У. Лейшмана, который одним из первых описал этих паразитов.
Они имеют сложные циклы развития и переносятся кровососущими насекомыми (москитами). Лейшмании являются внутриклеточными паразитами, поражающими систему мононукле- арных фагоцитов. Внутри клеток (прежде всего, моноцитов крови и тканевых макрофагов) паразит находится в амастиготном состоянии (т.е. без жгутиков), но в организме москита или на питательной среде у него образуются жгутики. В зависимости от локализации, лейш- маниозы человека бывают двух типов дерматотропные (поражающие кожу) и висцеротропные (поражающие внутренние органы).
Отряд Многожгутиковые
Отряд Многожгутиковые составляют исключительно паразитические микроорганизмы, все они обладают несколькими жгутиками. Паразитами человека являются трихомонады и лямблии. Распространенный повсеместно влагалищный трихомоноз вызывает влагалищная трихомонада. Паразит вызывает воспаление женских и мужских половых органов. Также известна кишечная трихомона- да, которая обитает в толстой кишке и питается бактериями.
Поскольку патогенное воздействие этого простейшего на организм человека до сих пор не выявлено, нет оснований считать его паразитом. Зато совершенно очевидным паразитом является лямблия, возбудитель лямблиоза. Это простейшее получило название в честь профессора Харьковского университета Д. Ф. Лямбля, открывшего его в 1859 г.
Микроорганизм имеет выраженную двустороннюю симметрию, два ядра и восемь жгутиков. Наличие на брюшной стороне тела присоски позволяет лямблии прикрепляться к эпителиальной выстилке тонкой кишки.
Микроорганизм обычно заселяет верхние отделы тонкой кишки, прежде всего двенадцатиперстную кишку, и поглощает пищу из химуса. Интенсивное размножение паразита приводит к тому, что значительная часть поверхности слизистой оболочки оказывается покрытой слоем микроорганизмов, в результате чего нарушается всасывательная функция тонкой кишки. Заболевание чаще всего развивается у детей. Трофозоиды, оказавшиеся в толстой кишке, инцистируются и выводятся из организма с фекалиями.
Лейшмания
Лейшмания (Leishmania) встречается в тропиках. Вызывает группу болезней лейшманиозы, протекающие с поражением кожи и слизистых оболочек (кожный лейшманиоз или пендинская язва) или внутренних органов (висцеральный лейшманиоз или калаазар). Переносчиком лейшманиоза являются москиты, которые заражаются при сосании крови больного человека или животного. Возбудитель проникает в организм человека при укусе москита.
Кожный лейшманиоз (пендинская язва). Лейшмании проникают в кожу человека, в клетках которой размножаются; возникает воспалительный процесс с последующим омертвением ткани (некроз) и образованием язв. Различают два типа кожного лейшманиоза: городской и сельский.
При кожном лейшманиозе городского типа заражение происходит через больных людей и, вероятно, собак; возбудитель, попав в организм человека, в течение 2-8 месяцев (редко 3-5 лет) не вызывает видимых проявлений болезни (инкубационный период).
Затем на месте укуса москита (чаще всего на лице или на руках) появляется буроватый узелок (лейшманиома), постепенно увеличивающийся. Через 5-10 месяцев на месте узелка развивается язва круглой формы с плотными краями и гнойным отделением. Чаще возникает 1-3 язвы. Болезнь продолжается 1-2 года.
При кожном лейшманиозе сельского типа заражение происходит от большой и полуденной песчанок, тонкопалого суслика и др. Инкубационный период при кожном лейшманиозе сельского типа составляет от 1 недели до 2 месяцев. Болезнь начинается остро. На коже (лица, рук, часто ног) появляются лейшманиомы, напоминающие гнойник (фурункул). Язвы образуются в первые недели болезни: неправильной формы,
с плотными краями, дном желтого цвета и с гнойным отделением. Заживление начинается через 2-4 месяца с последующим рубцеванием. Продолжительность болезни составляет 3-6 месяцев.
Лечение лейшманиоза стационарное.
Профилактика заключается в уничтожении нор грызунов (при этом погибают и грызуны, и москиты, обитающие в этих норах), отлове бродячих собак, обследовании всего поголовья собак в очаге и ликвидации заболевших лейшманиозом животных, а также в уничтожении мест выплода москитов.
Лямблии
Лямблии (Giardia) вызывают заболевание под названием лямблиоз. Они паразитирует в тонкой кишке, иногда в желчном пузыре; существуют в двух формах: подвижной (вегетативной) и неподвижной (форма цисты). Подвижная форма лямблий имеет четыре пары жгутиков и присасывательный диск, с его помощью она прикрепляется к слизистой оболочки тонкой кишки. Заражение происходит при употреблении загрязненных цистами продуктов и воды, а также через руки и предметы обихода. Попав в желудочнокишечный тракт у лиц с пониженной кислотностью желудочного сока и даже у здорового человека, лямблии размножаются в тонкой кишке, иногда в большом количестве, вызывая раздражения слизистой оболочки. Появляются боли в верхней части живота или в области пупка, отмечаются вздутие живота, урчание, тошнота. Могут быть запоры, сменяющиеся поносами (с примесью слизи). Чаще всего болеют дети.
Лечение: рекомендуется диета.
Профилактика: Личная гигиена, защита продуктов питания от загрязнения, борьба с мухами.
Трихомонада Кишечная (Trichomonad intestinorum)
небольшой жгутиконосец (длина 515 мкм), обитающий в толстой кишке. Имеет 34 жгутика, одно ядро, ундулирующую мембрану и аксостиль. Питается бактериями кишечной флоры. Образование цист не установлено.
Заражение происходит через зараженную трихомонадами пищу и воду. При попадании в кишечник паразит быстро размножается и может вызывать поносы.
Кишечная трихомонада создает человеку множество связанных с деятельностью кишечника проблем, среди которых колит, энтероколит, холецистит. Кроме того, по мнению некоторых исследователей, признаками деятельности кишечной трихомонады могут быть отеки, эрозии, полипы, язвы; бледность кожи, анемия, слабость в мышцах. Встречается и в кишечнике здоровых людей, т. е. возможно носительство.
Диагностика: На основании обнаружения вегетативных форм в кале.
Профилактика:
1.Личная. Соблюдение правил личной гигиены, термическая обработка пищи и воды, тщательное мытье овощей и фруктов (особенно загрязненных землей).
2.Общественная. Санитарное обустройство мест общественного пользования, наблюдение за источниками общественного водоснабжения, санитарно-просветительская работа с населением.
- Внутриклеточные паразиты: виды, диагностика и лечение
- Лямблиоз (лямблии) у взрослых признаки, симптомы, лечение
- Лямблии у взрослых — симптомы, диагностика и лечение
Вопрос-ответ
Какие жгутиконосцы являются паразитическими?
Также встречаются жгутиконосцы, которые являются паразитами человека. Самые известные из них — трипаносомы. Они вызывают сонную болезнь. Переносчиком трипаносом является муха цеце.
Какие паразиты относятся к классу жгутиковых?
К жгутиконосцам-паразитам относятся лейшмании, трипаносомы, лямблии, трихомонады. Многие из них представляют опасность для человека и животных. Жгутиконосцы вызывают тяжелые заболевания, паразитируя в крови, внутренних органах, на кожных покровах. Эти жгутиковые паразиты вызывают заболевание лейшманиоз.
Какие жгутиковые вызывают у человека заболевания?
Трихомонады (класс жгутиковые) являются возбудителями заболеваний, называемых трихомониазами. В организме человека обитают кишечная и влагалищная (урогенитальная) трихо-монады. Урогенитальная трихомонада (Trichomonas vaginalis) – возбудитель урогенитального трихомониаза.
Какой возбудитель относится к жгутиконосцам?
К жгутиконосцам относятся лейшмании, трипаносомы, лямблии и трихомонады.
Советы
СОВЕТ №1
Изучите информацию о жгутиконосцах и их жизненном цикле. Понимание того, как они распространяются и какие условия способствуют их размножению, поможет вам избежать заражения и защитить себя и своих близких.
СОВЕТ №2
Регулярно проходите медицинские обследования, особенно если вы находитесь в регионах, где жгутиконосцы распространены. Раннее выявление инфекции может значительно снизить риск серьезных осложнений.
СОВЕТ №3
Соблюдайте правила личной гигиены, особенно при контакте с водой, которая может быть загрязнена. Избегайте купания в стоячих водоемах и всегда мойте руки перед едой.
СОВЕТ №4
Если вы заметили симптомы, такие как лихорадка, усталость или проблемы с пищеварением, не откладывайте визит к врачу. Чем раньше будет поставлен диагноз, тем эффективнее будет лечение.












